Lấy cao răng là gì? Lấy cao răng là kỹ thuật loại bỏ hoàn toàn mảng bám, vôi răng trên thân răng và dưới nướu bằng cách sử dụng thiết bị cạo vôi răng siêu âm. Chi phí lấy cao răng có thể khác nhau giữa các khách hàng vì còn phụ thuộc vào mức độ cao răng nhiều hay ít cũng như trung tâm nha khoa thực hiện.
Lấy cao răng là gì?
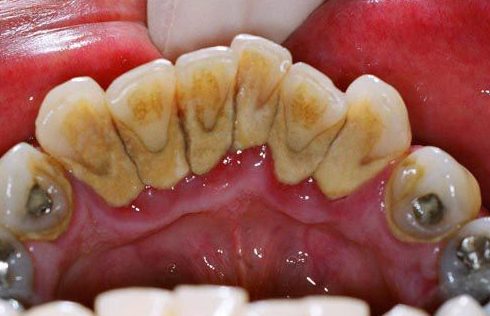
Mảng bám, vụn thức ăn thừa nếu không được vệ sinh sạch sẽ trong thời gian dài sẽ vôi hóa và hình thành nên cao răng bám ở kẽ răng, xung quanh cổ chân răng hoặc dưới nướu răng. Cao răng ban đầu thường có màu trắng đục, vàng nhạt, sau một thời gian có thể chuyển dần thành màu nâu đen, nhất là ở người thường xuyên hút thuốc hoặc sử dụng nhiều thực phẩm đậm màu. Những mảng bám, cao răng này cần được lấy đi để đảm bảo thẩm mỹ và tránh các bệnh lý nghiêm trọng.

Lấy cao răng là gì?
Lấy cao răng là gì? Lấy cao răng là quy trình loại bỏ các mảng bám, vôi răng trên thân răng, kẽ răng, dưới nướu bằng thiết bị siêu âm có độ rung phù hợp để chúng bong ra. Nếu không cạo vôi răng định kỳ, bạn có thể bị viêm nướu bởi vôi răng là nơi trú ngụ của vi khuẩn. Chúng có thể tạo mủ, hủy hoại các mô, làm răng lung lay và rụng răng nếu không chữa trị kịp thời.
Chi phí lấy cao răng hiện nay
Chi phí lấy cao răng có thể khác nhau giữa các khách hàng bởi chúng thường phụ thuộc vào các yếu tố như:
Lượng cao răng ít hay nhiều
Tùy theo mức độ vôi răng ít hay nhiều mà bác sĩ sẽ tư vấn chi phí cụ thể cho bạn sau khi thăm khám. Với các trường hợp ít cao răng, không có vấn đề về răng miệng thì chi phí tương đối rẻ.
Nhưng nếu lượng cao răng nhiều và đã gây ra các vấn đề khác như viêm nha chu, viêm nướu, sâu răng,… Thì cần điều trị cả các bệnh lý này sau khi cạo vôi răng nên mức giá cũng sẽ cao hơn.

Chi phí lấy cao răng sẽ cao hơn ở các trường hợp nhiều cao răng và có vấn đề về sức khỏe răng miệng
Trung tâm nha khoa lấy cao răng
Chi phí lấy cao răng tại mỗi nha khoa sẽ có sự chênh lệch nhất định. Với các trung tâm nha khoa uy tín, được đầu tư máy móc, trang thiết bị hiện đại và quy tụ các bác sĩ, kỹ thuật viên giỏi thì bảng giá sẽ cao hơn so với các cơ sở công nghệ lạc hậu, không được đầu tư nhiều.
Tại Nha khoa Nhân Tâm, bảng giá cạo vôi răng luôn được công khai, niêm yết rõ ràng và đảm bảo ở mức hợp lý tương xứng với chất lượng dịch vụ và phù hợp với điều kiện kinh tế của phần đông khách hàng.
Sau đây là bảng báo giá cạo vôi răng của Nha khoa Nhân Tâm mà bạn có thể tham khảo:
Quy trình cạo vôi răng đạt chuẩn tại Nha khoa Nhân Tâm
Tại Nha khoa Nhân Tâm, quy trình lấy cao răng không đau bằng thiết bị siêu âm hiện đại sẽ diễn ra như sau:
Khám tổng quát và tư vấn miễn phí
Trước khi điều trị, khách hàng sẽ được kiểm tra, khám răng tổng quát miễn phí. Trường hợp phát hiện bệnh lý răng miệng, bác sĩ sẽ tư vấn cho bạn về phương pháp chữa trị phù hợp và chi phí cụ thể.

Khám và tư vấn miễn phí trước khi lấy cao răng
Tiến hành lấy cao răng
Bác sĩ sẽ sử dụng thiết bị chuyên dụng để loại sạch mảng bám, cao răng đóng cứng tại kẽ răng, quanh cổ chân răng, bề mặt răng và phía dưới nướu.
Thời gian lấy cao răng sẽ dao động từ 15 đến 30 phút, tùy theo tình trạng cụ thể của từng người.
Đánh bóng răng
Khi đã cạo sạch vôi răng, bề mặt răng của bạn sẽ được đánh bóng bằng dụng cụ nha khoa chuyên dụng. Nhờ vậy, răng sẽ sáng bóng hơn nhiều, hạn chế sự tích tụ của mảng bám về sau.

Đánh bóng răng sau khi cạo vôi răng
Kiểm tra kết quả
Cuối cùng, bác sĩ sẽ kiểm tra lại xem vôi răng đã được loại bỏ hoàn toàn chưa, hướng dẫn khách hàng cách vệ sinh, làm sạch răng tại nhà để hạn chế vôi răng, các bệnh lý về răng miệng và hẹn lịch cạo vôi răng định kỳ nhằm giúp bạn duy trì sức khỏe răng miệng một cách tối ưu nhất.
Như vậy, các thông tin giải đáp lấy cao răng là gì, quy trình thực hiện và chi phí thực hiện bao nhiêu đã được nêu rõ trong bài viết trên đây, hy vọng sẽ giúp ích được cho bạn trong việc chăm sóc và bảo vệ sức khỏe răng miệng. Hãy đặt hẹn ngay với Nha khoa Nhân Tâm – địa chỉ nha khoa quận 10 uy tín nhất tại TPHCM để được trải nghiệm các dịch vụ chất lượng cao với chi phí tiết kiệm nhé.



