Lấy cao răng có tác dụng gì? Lấy cao răng sẽ giúp răng trắng sáng hơn, phòng tránh các bệnh lý về răng miệng, hạn chế hôi miệng, giữ hơi thở luôn thơm mát và bảo vệ sức khỏe răng miệng,…
Theo khuyến cáo từ các chuyên gia, thời gian giữa các lần lấy cao răng nên là 6 tháng. Đây là thời gian thích hợp để nướu và răng phục hồi từ lần lấy cao răng trước, cũng là thời điểm mảng bám hình thành chưa gây nên các vấn đề về răng miệng. Tuy nhiên, tùy vào cấu trúc răng, thói quen ăn uống, vệ sinh răng mà tốc độ hình thành cao răng sẽ khác nhau ở từng người. Một số khách hàng sẽ cần lấy cao răng thường xuyên hơn.
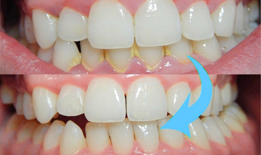
Lấy cao răng có tác dụng gì?
Tác dụng của lấy cao răng đối với sức khỏe răng miệng bao gồm:
Giúp răng trắng sáng hơn
Cao răng, mảng bám có màu vàng, nâu hoặc trắng ngà làm răng xỉn màu, ố vàng, mất đi tính thẩm mỹ. Loại bỏ cao răng là việc nên làm để giữ cho hàm răng sạch sẽ, trắng sáng dài lâu.

Lấy cao răng giúp răng trắng sáng và khỏe mạnh hơn
Phòng ngừa các bệnh lý về răng miệng
Khi cao răng bám ở kẽ răng hoặc chân răng, vi khuẩn gây hại sẽ có cơ hội sinh sôi, phát triển và tấn công răng, gây ra nhiều bệnh lý về răng miệng. Các bệnh lý điển hình thường xảy ra do có mảng bám, cao răng tích tụ là viêm nướu, viêm nha chu, mòn men răng, tụt lợi,…
Bảo vệ sức khỏe răng miệng và xương hàm
Không ít người nghĩ rằng, mảng bám trên răng không phải là vấn đề nghiêm trọng nhưng trên thực tế, sự tích tụ cao răng lại là điều kiện để vi khuẩn có hại sinh sôi và phá hủy các tổ chức nướu và răng. Hệ quả nghiêm trọng hơn là lung lay răng, mất răng, tiêu xương hàm,… Do đó, để răng và xương hàm được khỏe mạnh thì việc loại bỏ cao răng, mảng bám là vô cùng cần thiết.

Lấy cao răng định kỳ là biện pháp bảo vệ sức khỏe răng miệng và xương hàm
Giữ hơi thở thơm mát, phòng tránh hôi miệng
Vi khuẩn sinh sôi cùng sự phân hủy của thức ăn thừa ở kẽ răng là nguyên nhân chủ yếu gây nên tình trạng hôi miệng. Lấy cao răng đều đặn sẽ giúp bạn loại bỏ mùi hôi trong hơi thở, giúp bạn thêm phần tự tin mỗi khi giao tiếp.
Thời điểm thích hợp để lấy cao răng
Lấy cao răng đem lại rất nhiều lợi ích đối với sức khỏe răng miệng nhưng cũng không nên quá lạm dụng vì lực đẩy mạnh từ sóng âm có thể gây tổn thương nướu và răng. Nếu khoảng cách giữa các lần lấy cao răng quá ngắn thì răng sẽ không có thời gian nghỉ ngơi, khiến khách hàng phải đối mặt với tình trạng đau nhức răng, ê buốt, răng lung lay, nhạy cảm,…
Theo khuyến cáo từ các chuyên gia, thời gian giữa các lần lấy cao răng nên là 6 tháng. Đây là thời gian thích hợp để nướu và răng phục hồi từ lần lấy cao răng trước, cũng là thời điểm mảng bám hình thành chưa gây nên các vấn đề về răng miệng. Tại nha khoa, các bác sĩ sẽ thăm khám để biết bạn có cần lấy cao răng không và chữa trị các bệnh lý răng miệng khác nếu có.

Nên tới nha khoa để lấy cao răng 6 tháng/lần
Lấy cao răng 6 tháng/lần là thời gian khuyến cáo chung cho tất cả mọi người nhưng tùy vào cấu trúc răng, thói quen ăn uống, vệ sinh răng mà tốc độ hình thành cao răng sẽ khác nhau ở từng người. Một số khách hàng sẽ cần lấy cao răng thường xuyên hơn:
- Người thường xuyên sử dụng chất kích thích làm cao răng hình thành nhiều và nhanh hơn như: Uống nhiều cà phê, bia rượu, hút thuốc lá,…
- Người có cấu trúc men răng sần sùi, tạo điều kiện cho cao răng hình thành tại nướu răng, thân răng.
Khi lấy cao răng cho trẻ nhỏ, đặc biệt là những trẻ dưới 10 tuổi thì cần kiểm tra, thăm khám răng miệng kỹ lưỡng và thao tác thật nhẹ nhàng.
Như vậy, băn khoăn lấy cao răng có tác dụng gì cũng như thời điểm thích hợp để lấy cao răng đã được nêu rõ trong bài viết trên. Loại bỏ cao răng, mảng bám là việc làm cần thiết để giữ răng miệng sạch sẽ và ngăn chặn các bệnh lý liên quan tới nướu và răng. Nếu cần được tư vấn thêm, bạn hãy liên hệ với các bác sĩ tại Nha khoa Nhân Tâm – trung tâm nha khoa tốt nhất Sài Gòn qua đường dây nóng 1900 56 5678.



