Trám răng hay hàn răng là một kỹ thuật nha khoa sử dụng vật liệu nhân tạo để bổ sung vào phần mô răng bị thiếu. Phương pháp này có thể mang lại hiệu quả cả về tính thẩm mỹ lẫn cải thiện chức năng nhai.
Trám răng bị sâu
Sâu răng là tình trạng xuất hiện các lỗ hổng ở răng. Nguyên nhân là do hoạt động của vi khuẩn tích tụ khi bạn ăn những thực phẩm có đường và không chăm sóc răng đúng cách.
Nếu không được điều trị, lỗ hổng do sâu răng gây ra sẽ lớn dần, dẫn đến đau răng nghiêm trọng, nhiễm trùng và gãy răng. Một số dấu hiệu của sâu răng bạn có thể nhận biết là:
- Răng đau bất chợt
- Răng hay nhạy cảm
- Xuất hiện lỗ hổng trên răng
- Bề mặt răng bị đổi màu nâu, đen hoặc trắng
- Răng đau sau khi ăn, uống đồ nóng, ngọt, lạnh…
- Khi xuất hiện triệu chứng sâu răng, chiếc răng bị sâu sẽ cần được trám để làm đầy lỗ hổng trên thân răng, loại bỏ các triệu chứng khó chịu và giúp phục hồi thẩm mỹ cho răng.
Xem thêm: Niềng răng phải nhổ răng không? Cần nhổ mấy chiếc răng?
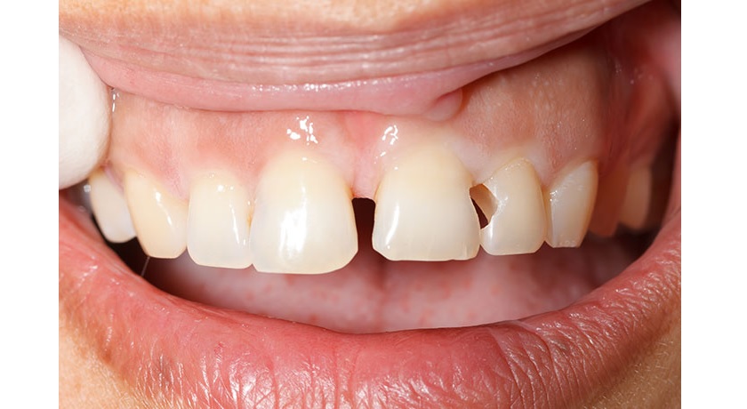
Răng bị mẻ

Răng bị mẻ
Răng có thể bị nứt, mẻ khi bạn cắn phải thức ăn hay vật dụng gì quá mạnh hoặc có tác động cơ học mạnh làm ảnh hưởng đến cấu trúc răng.
Nếu vết nứt được phát hiện sớm, nha sĩ sẽ thực hiện kỹ thuật trám tương tự như khi răng bạn bị sâu. Trước hết, bạn sẽ được vệ sinh răng để loại bỏ vi khuẩn, sau đó trám vật liệu vào chỗ răng bị mẻ.
Trám răng thay chỗ trám cũ
Phương pháp trám răng không phải là một kỹ thuật có tác dụng vĩnh viễn. Theo thời gian, chỗ trám sẽ dần bị mòn do hoạt động nhai và từ từ bong tróc, thậm chí rơi ra hoàn toàn. Do đó, các nha sĩ sẽ yêu cầu bạn phải trám lại răng.
Trám răng sâu bao nhiêu tiền?
Chi phí trám răng tương đối thấp, phù hợp với điều kiện kinh tế của phần đông khách hàng. Bảng giá dưới đây sẽ giúp bạn nắm bắt được mức giá cụ thể của các dịch vụ trám răng sâu, bọc sứ và nhổ răng hết bao nhiêu tiền:
Tiến sĩ. Bác sĩ Võ Văn Nhân, Giám đốc Trung tâm Nha khoa Nhân Tâm cho biết, mỗi cấp độ răng bị tổn thương sẽ có một mức giá khác nhau. Do đó, trám răng có giá bao nhiêu trước hết sẽ tùy thuộc vào tình trạng răng miệng của từng người. Ở những trường hợp trám răng mẻ, mỏng men răng, răng vỡ, răng sâu thì sẽ có chi phí khác với khi trám răng bị tổn thương nặng, đã ảnh hưởng đến tủy.
Cụ thể là trám răng sâu nhẹ, gãy vỡ ít sẽ có chi phí thấp hơn. Vì chỉ cần phục hồi lại hình dáng cho răng và không đòi hỏi quá nhiều về thời gian cũng như không yêu cầu kỹ thuật phức tạp.
Ngược lại, với những trường hợp răng bị sâu nặng, sâu răng tủy thì cần phải điều trị sâu răng, viêm tủy răng trước khi thực hiện hàn trám. Nếu không sẽ gây nên nhiều biến chứng nguy hiểm, ảnh hưởng trực tiếp tới sức khỏe răng miệng. Do vậy, giá tiền trám răng thẩm mỹ với trường hợp bệnh lý nặng sẽ đắt hơn do kèm cả chi phí điều trị tủy.

Quy trình trám răng tại Nha khoa Nhân Tâm
Giá trám răng phụ thuộc vào vật liệu trám
Hiện nay, ở hầu hết các nha khoa đều có 2 biện pháp hàn trám răng được áp dụng phổ biến, đó là trám răng trực tiếp và trám răng gián tiếp. Với mỗi một phương pháp thì giá trám răng cũng sẽ khác nhau.
Trám răng gián tiếp Inlay / Onlay
Phương pháp này thường có mức giá khá cao do mất nhiều thời gian thực hiện hơn so với cách trám thông thường. Bên cạnh đó, vì miếng trám được đúc bên ngoài theo dấu răng, sau đó mới gắn vào vị trí răng khuyết thiếu, hư vỡ. Trám răng Inlay/Onlay có độ bền cao, thường được làm từ sứ hoặc kim loại quý hiếm, có khả năng phục hình răng rất tốt.
Trám răng trực tiếp
Với phương pháp này, các bác sĩ sẽ sử dụng vật liệu Composite hoặc Amalgam để bù vào phần răng khiếm khuyết, thiếu hụt. Cách hàn trám này khá đơn giản, chỉ cần đưa chất liệu trám trực tiếp lên răng cần phục hồi và chỉnh sửa tạo dáng thẩm mỹ cho phù hợp là được.

Trám răng tại Nha khoa Nhân Tâm
Ngoài những yếu tố trên, trám răng bao nhiêu tiền còn phụ thuộc vào chính sách giá cả của mỗi trung tâm nha khoa. Điều này được quyết định bởi trang thiết bị, máy móc, cơ sở vật chất cũng như công nghệ và bác sĩ thực hiện.
Để biết chi tiết hơn, quý khách hàng hãy đến trực tiếp Nha khoa Nhân Tâm để thăm khám cụ thể về tình trạng răng. Từ đó, các bác sĩ sẽ tư vấn phương pháp, cách điều trị và thông báo trám răng giá bao nhiêu cho bạn.




