Nếu để vôi răng quá lâu có thể gây ra nhiều bệnh lý về răng miệng. Hiện nay kỹ thuật cạo vôi răng rất đơn giản, giúp loại bỏ toàn bộ mảng bám một cách nhanh chóng. Cùng tìm hiểu cạo vôi răng là gì ở bên dưới nhé!
Khái niệm vôi răng là gì?
Vôi răng (còn gọi là cao răng) nói đến những mảng bám, vụn thức ăn còn dính trên thân răng và nướu răng. Sau một khoảng thời gian, các mảng bám dần bị vôi hóa và trở nên cứng hơn. Vôi răng không thể làm sạch bằng cách chải răng thông thường, cần phải có sự can thiệp của các thiết bị nha khoa chuyên dụng.
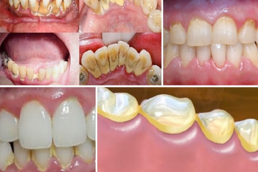
Vôi răng lâu ngày nếu không được làm sạch sẽ gây ra tình trạng viêm nướu. Đây là thời kỳ đầu của bệnh nha chu, viêm nướu nếu được điều trị kịp thời sẽ khỏi hoàn toàn. Nhưng nếu bạn để tình trạng này kéo dài sẽ khiến các mô bị phân hủy, mưng mủ, khiến răng lung lay và dẫn đến rụng răng.
Cạo vôi răng là một kỹ thuật để loại bỏ mảng bám, vôi răng ở trên nướu bằng cách sử dụng sóng siêu âm của thiết bị cạo vôi.

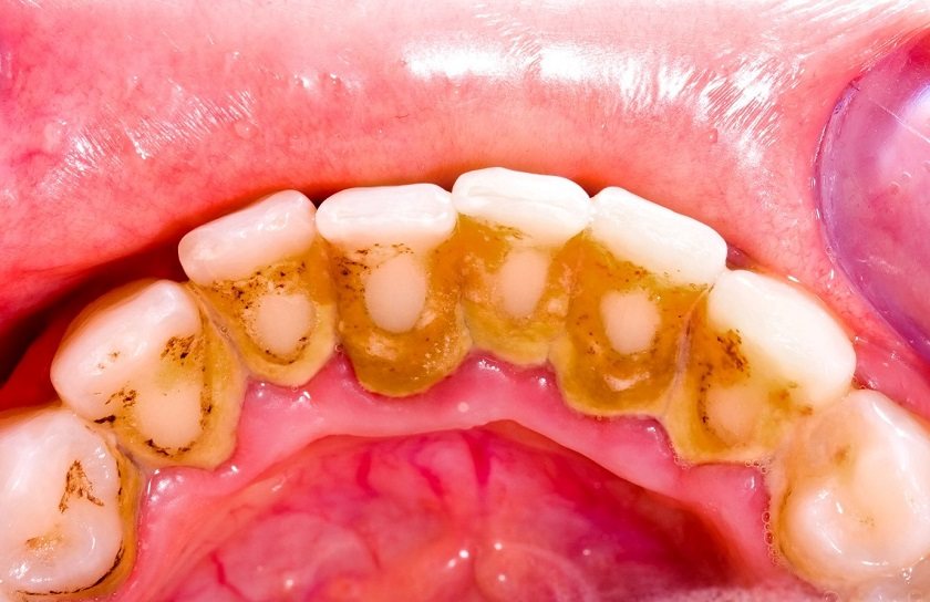
Vôi răng là những mảng bám nằm trên thân răng hoặc sâu bên dưới nướu
Vôi răng thường nằm ở vị trí nào?
Vôi răng sẽ nằm ở 2 vị trí là trên nướu và dưới nướu.
Vôi răng trên nướu: dễ dàng nhìn thấy bằng mắt thường khi bạn cười, có màu vàng nhạt hoặc nâu nhẹ cho đến đậm.
Vôi răng dưới nướu: sẽ được phát hiện khi bác sĩ thăm khám vùng khe nướu bằng các dụng cụ chuyên dụng. Vôi răng này nằm sâu bên dưới nướu, khó nhìn thấy được bằng mắt thường. Đó cũng là nguyên nhân gây ra các vấn đề về nướu và nha chu.
Vôi răng dễ dàng tìm thấy nhất ở mặt trong răng cửa hàm dưới và mặt ngoài răng hàm hàm trên, vì đây là những nơi có lỗ của hệ thống ống tuyến nước bọt.
Vôi răng gây ảnh hưởng như thế nào?
Nếu vôi răng không được bác sĩ lấy kịp thời, nó sẽ trở thành nơi lý tưởng để vi khuẩn sinh sôi. Vôi răng làm cản trở việc vệ sinh răng miệng khi dùng bàn chải hoặc chỉ nha khoa, có thể làm tăng thêm mảng bám và viêm nướu.
Nướu viêm: khiến bạn dễ bị chảy máu khi bạn đánh răng. Gây khó khăn trong việc ăn uống và mất thẩm mỹ khi giao tiếp.
Hôi miệng: một trong những hệ quả do vi khuẩn trên vôi răng gây ra. Vì nó đã phân hủy các mảnh vụn thức ăn còn sót lại trong khoang miệng nên gây ra tình trạng hôi miệng.
Nếu mức độ nặng, vôi răng tích tụ lâu năm và tồn đọng nhiều có thể gây ra các bệnh viêm nướu nặng. Cuối cùng là tiến triển đến viêm nha chu, tụt nướu, tiêu xương ổ xung quanh răng, làm răng lung lay số lượng lớn…

Vôi răng nếu không được làm sạch sẽ gây nên nhiều bệnh lý răng miệng
Quá trình cạo vôi răng tại nha khoa
Quy trình cạo vôi răng sẽ gồm có một số kĩ thuật chính như sau:
Cạo vôi răng
Đây là quá trình bác sĩ sẽ lấy đi các lớp vôi và mảng bám đang dính chặt trên răng bằng những dụng cụ chuyên dụng của nha khoa như tay rung siêu âm, bộ dụng cụ tay,…
Đánh bóng răng
Bước đánh bóng răng sẽ được thực hiện sau khi cạo vôi xong, cần phải làm bước này để bề mặt răng được sáng bóng, trơn láng và thẩm mỹ hơn. Nha khoa sẽ dùng những dụng cụ như chổi đánh bóng bằng máy, bột đánh bóng và máy thổi cát để làm sạch các vết dính trên răng.
Xử lý gốc răng / Làm sạch chân răng
Đối với các trường hợp vôi răng quá nhiều, đặc biệt là vôi răng dưới nướu hoặc viêm nha chu mãn tính. Thì việc cạo vôi răng sẽ không đủ để làm sạch xung quanh chân răng. Lúc này bác sĩ sẽ chỉ định điều trị xử lý gốc răng bằng các bộ dụng cụ chuyên biệt dành cho nha chu.
Nếu nhẹ thì bác sĩ sẽ cạo vôi và đánh bóng răng trong 1-2 lần hẹn. Còn nếu răng bạn có vôi răng nằm sâu dưới nướu, đặc biệt là viêm nha chu thì bác sĩ sẽ chỉ định các bước điều trị chuyên sâu hơn

Cạo vôi răng tại nha khoa
Bao lâu phải đi cạo vôi răng?
Cạo vôi răng và làm sạch răng được bác sĩ khuyến cáo nên làm 6 tháng/ lần. Nếu khách hàng có sẵn các vấn đề răng miệng thì phải cạo vôi răng khoảng 3-4 tháng/lần. Bạn nên lựa chọn nha khoa chuyên nghiệp để có hàm răng sạch đẹp, nha khoa Nhân Tâm sẽ đáp ứng được mọi nhu cầu của bạn.
Nếu bạn vệ sinh răng miệng đúng cách thì mỗi lần cạo vôi răng chỉ tốn khoảng 20-30 phút. Còn những người ít đi khám răng và cạo vôi răng thì thời gian làm sạch vôi có thể từ 40-60 phút, đôi khi phải chia làm 2 lần hẹn.
Vì vôi răng tích tụ nhiều sẽ làm việc cạo vôi trở nên khó khăn và không được dễ chịu. Thông thường trải nghiệm này sẽ đến từ những khách hàng ít cạo vôi răng định kỳ. Cạo vôi răng có ảnh hưởng, có đau hay không đều phụ thuộc vào kỹ thuật và thao tác của bác sĩ.
Qua bài viết trên bạn đã biết ý nghĩa cạo vôi răng là gì rồi đúng không? Các bạn nên lựa chọn địa chỉ nha khoa uy tín để thực hiện việc cạo vôi răng, tốt nhất là nên đi theo định kỳ. Nếu muốn cạo vôi răng thì hãy liên hệ với Nha khoa Nhân Tâm ngay, đảm bảo sẽ không khiến bạn thất vọng!



