Vôi răng là môi trường lý tưởng để hơn 500 loại vi khuẩn trú ngụ, tấn công và làm suy giảm sức khỏe răng miệng, gây nên nhiều bệnh lý về răng như viêm nướu, sâu răng, viêm nha chu, áp-xe răng…
Vì vậy, thực hiện cạo vôi răng định kỳ là điều cần thiết để ngăn ngừa bệnh lý răng miệng, cho răng chắc, nướu khỏe. Đọc bài viết dưới đây để tìm hiểu cạo vôi răng nhiều có tốt không bạn nhé!
Vì sao nên cạo vôi răng?
Trước khi đi tìm lời giải đáp cho câu hỏi “cạo vôi răng nhiều có tốt không?” thì Nha khoa Nhân Tâm xin chia sẻ với bạn những lý do bạn nên cạo vôi răng.
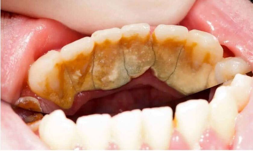
Hiểu một cách đơn giản thì vôi răng là những mảng bám thức ăn thừa tích tụ trên răng bị vôi hóa do các thành phần khoáng chất có trong nước bọt.
Vôi răng có màu vàng hoặc nâu, có độ cứng, dính chặt trên răng và trong đường viền nướu. Việc vệ sinh răng miệng hằng ngày không thể loại bỏ vôi răng.

Vôi răng là nguyên nhân hàng đầu dẫn đến những bệnh lý răng miệng
Vôi răng là nguyên nhân hàng đầu dẫn đến những bệnh lý răng miệng như sâu răng, viêm nướu, vàng răng, hôi miệng, viêm nha chu, mất răng…
Do đó, việc cạo vôi răng định kỳ được nha sĩ khuyến cáo nhằm giúp răng chắc, nướu khỏe, hơi thở thơm mát, răng trắng sáng, ngăn ngừa các bệnh lý răng miệng, từ đó nâng cao thẩm mỹ, tuổi thọ của răng.
Cạo vôi răng nhiều có tốt không?
Cạo vôi răng mang lại nhiều lợi ích thiết thực, vấn đề đặt ra là nên cạo vôi răng bao lâu một lần, cạo vôi răng nhiều có tốt không?
Theo lời khuyên của các chuyên gia, việc cạo vôi răng nên được thực hiện định kỳ 6 tháng/ lần. Đối với những bạn có vôi răng nhiều và cơ địa dễ bị bám vôi răng thì nên thực hiện 3-4 tháng/ lần.

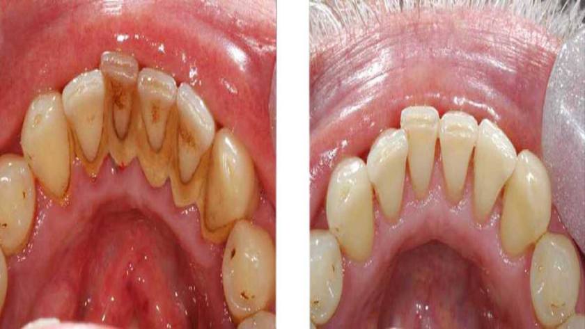
Trước và sau khi cạo vôi răng
Bên cạnh đó, bạn nên thực hiện cạo vôi răng tại địa chỉ nha khoa uy tín, lựa chọn công nghệ cạo vôi răng hiện đại, không nên dùng các dụng cụ cầm tay vì đây là kỹ thuật cũ, có thể gây ra tình trạng khó chịu, ê buốt răng, chảy máu răng, ảnh hưởng đến cấu trúc răng.
Cạo vôi răng nếu được thực hiện đúng cách sẽ không gây đau hay bất kỳ rủi ro nào, ngược lại sẽ bảo vệ tốt sức khỏe răng miệng của bạn, giúp bạn cải thiện chất lượng cuộc sống.
Phương pháp cạo vôi răng tốt nhất hiện nay
Cạo vôi răng nhiều có tốt không? Bạn nên thực hiện cạo vôi răng theo chỉ định của Bác sĩ. Hiện nay, cạo vôi răng bằng sóng siêu âm là công nghệ cạo vôi răng tiên tiến nhất, được những nha khoa uy tín như Nha khoa Nhân Tâm ứng dụng.
Máy cạo vôi răng siêu âm được khuyên dùng vì những lý do sau:
1. Hiệu quả cao
Công nghệ lấy vôi răng bằng sóng siêu âm cho phép loại bỏ hoàn toàn vôi răng vì tiêu diệt triệt để vi khuẩn gây hại nhờ đầu máy siêu âm siêu nhỏ, có thể linh hoạt di chuyển đến các vị trí của răng và bên trong viền nướu mà không gây ra bất kỳ tổn hại nào cho răng và cấu trúc xung quanh răng.

Cạo vôi răng bằng sóng siêu âm mang lại hiệu quả cao
Xem thêm: 6 lợi ích của cạo vôi răng mà bạn không nên bỏ lỡ
2. Không đau, không chảy máu
Bên cạnh thắc mắc cạo vôi răng nhiều có tốt không thì mọi người cũng lo lắng là cạo vôi răng sẽ bị đau.
Máy siêu âm sử dụng năng lượng siêu âm tạo lực rung tác động vào mảng bám và vôi răng, tách chúng ra khỏi răng và kẽ nướu, hoàn toàn không xâm lấn đến cấu trúc của răng và tổ chức xung quanh răng.
Nhờ đó vôi răng được xử lý nhanh gọn, nhẹ nhàng, không gây đau hay ê buốt răng, hạn chế tối đa tình trạng chảy máu răng khi cạo vôi răng, khắc phục những nhược điểm của phương pháp lấy vôi răng thủ công trước đây.
3. An toàn
Cạo vôi răng bằng sóng siêu âm không gây ra bất kỳ tổn thương nào cho răng, nướu, xương hàm.
Các thiết bị, dụng cụ và không gian tại Nha khoa Nhân Tâm đều được vô trùng theo tiêu chuẩn Châu u, kết hợp đội ngũ Bác sĩ nhiều năm kinh nghiệm, đảm bảo không gây ra bất kỳ sai sót nào khi thực hiện cạo vôi răng, đồng thời loại bỏ tình trạng lây nhiễm chéo thường thấy trong Y khoa.

Cạo vôi răng bằng sóng siêu âm tại Nha khoa Nhân Tâm
4. Hạn chế vôi răng bám trở lại
Các bước sóng siêu âm không chỉ nhanh chóng loại bỏ vôi răng mà còn tăng độ đàn hồi của nướu, phục hồi răng và nướu sau khi lấy vôi răng, nâng cao hiệu quả cạo vôi răng.
Sau khi cạo vôi răng, bạn sẽ được đánh bóng răng để giúp răng trở nên trắng, sáng và thẩm mỹ hơn, đồng thời hạn chế tình trạng vôi răng bám trở lại.
Như vậy, Nha khoa Nhân Tâm đã giải đáp chi tiết câu hỏi “Cạo vôi răng nhiều có tốt không?” của Quý khách. Chúc Quý khách luôn có hàm răng chắc khỏe và nụ cười tự tin. Nếu có bất kỳ vấn đề nào liên quan đến sức khỏe răng miệng, Quý khách có thể liên hệ Hotline 1900565678 để được tư vấn chi tiết nhất.





