Bạn đang muốn cạo vôi răng nhưng vẫn còn băn khoăn nhiều về chi phí cạo vôi răng bao nhiêu hiện nay. Trên thực tế bảng giá cạo vôi răng thường phụ thuộc khá nhiều vào tình trạng răng miệng, địa chỉ nha khoa thực hiện,… Nhìn chung, mức chi phí này sẽ không quá đắt đỏ, quan trọng nhất là bạn tìm được một địa chỉ uy tín để cạo vôi răng an toàn và uy tín.
Bảng giá cạo vôi răng mới nhất hiện nay
Rất khó để có thể đưa ra một con số cụ thể cho bảng giá cạo vôi răng. Bởi mức mức giá cạo vôi răng thường phụ thuộc vào nhiều yếu tố như:
Lượng vôi răng nhiều hay ít
Tùy vào mỗi tình trạng, mức độ vôi răng ít hay nhiều của mỗi khách hàng mà bác sĩ sẽ xác định được mức chi phí cạo vôi răng phù hợp. Với những người có vôi răng ít, không mắc phải các bệnh lý răng miệng nào thì chi phí điều trị sẽ tương đối rẻ.
Ngược lại nếu vôi răng hình thành quá nhiều và gây ra các bệnh lý răng miệng. Lúc này, khách hàng cần phải chữa trị dứt điểm các bệnh lý này sau khi cạo vôi răng nên chi phí thực hiện cũng sẽ cao hơn.
Địa chỉ cạo vôi răng

Cạo vôi răng uy tín tại Nha khoa Nhân Tâm
Ở mỗi cơ sở nha khoa hiện nay sẽ có mức giá cạo vôi răng khác nhau. Tại những địa chỉ nha khoa uy tín, có đầu tư về trang thiết bị, máy móc hiện đại. Cùng với tay nghề bác sĩ giỏi, có nhiều kinh nghiệm thì chi phí sẽ cao hơn so với các địa chỉ có công nghệ lạc hậu.
Tại Nha Khoa Nhân Tâm, giá lấy cao răng luôn được công khai cụ thể, niêm yết để phù hợp với khả năng tài chính của khách hàng. Các bước thăm khám, chụp phim và tư vấn tại đây là hoàn toàn miễn phí.
Đây là bảng giá cạo vôi răng tại Nha Khoa Nhân Tâm mà khách hàng có thể tham khảo qua:
Vì sao phải cạo vôi răng?
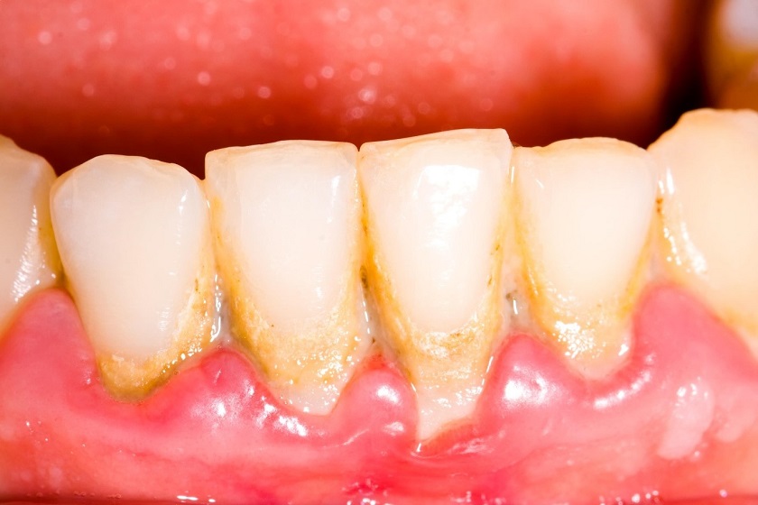
Vôi răng là một trong những nguyên nhân gây ra viêm nướu tích tụ phía dưới răng. Đây cũng chính là một trong những tác nhân chính gây ra tình trạng hỏng men răng. Sau đây là tác hại của vôi răng:

Vôi răng là tác nhân chính gây ra các bệnh lý nghiêm trọng
- Là môi trường lý tưởng của nhiều vi khuẩn đe dọa đến men carbohydrate tạo acid và làm hỏng men răng, gây ra bệnh lý sâu răng.
- Vôi răng cũng chính là nguyên nhân chính dẫn đến hôi miệng và làm bạn mất tự tin khi giao tiếp hàng ngày.
- Vôi răng còn gây ra các tình trạng ê buốt răng và khó khăn trong việc chăm sóc răng miệng.
- Chảy máu vùng nướu và sưng nướu cũng xuất phát từ vôi răng
- Vôi răng đóng thành mảng sẽ làm ảnh hưởng đến thẩm mỹ răng miệng, bởi vì vôi răng có màu sậm hơn so với các răng nên khi bạn cười sẽ làm lộ ra khuyết điểm của răng.
Vôi răng khi tích tụ lâu ngày sẽ sinh ra nhiều vấn đề ảnh hưởng đến răng vì vậy việc lấy cao răng định kỳ là điều kiện bắt buộc bởi vì:
- Vệ sinh răng miệng sẽ giúp bạn loại bỏ những phần thức ăn bám trên răng nhưng những phần thức ăn mắc lại bên trong chân răng sẽ không thể nào làm sạch được, từ đó tạo ra môi trường cho vôi răng hình thành.
- Dù bạn ở độ tuổi nào đi nữa, vôi răng vẫn sẽ hình thành và có ảnh hưởng xấu đến răng miệng
- Lấy vôi răng sẽ giúp bạn sở hữu một nụ cười tự tin hơn và còn ngăn chặn được những bệnh lý khác về răng miệng như viêm nướu, viêm nha chu,..
Các câu hỏi thường gặp
Cạo vôi răng có gây ảnh hưởng gì đến men răng không?

Cạo vôi răng không gây ra bất kỳ tổn hại nào đến men răng
Nhiều người vẫn thường lo lắng rằng khi lấy cao răng, bác sĩ sẽ cạo bỏ luôn phần men răng nên, khiến răng yếu dần.
Tuy nhiên suy nghĩ này là hoàn toàn sai lầm, vì trên thực tế về mặt hoạt động của máy cạo vôi răng, đó chỉ đơn giản là tạo ra các dao động rung nhẹ để miếng vôi dần rơi ra ngoài. Hoàn toàn không làm thay đổi bất cứ thành phần nào cũng như cấu trúc răng. Và dĩ nhiên cũng không có ảnh hưởng nguy hiểm nào đến men răng nên bạn có thể hoàn toàn yên tâm thực hiện.
Cạo vôi răng có làm răng trắng ra hay không?
Lấy cao răng chỉ đơn giản là sử dụng dụng cụ nha khoa để vệ sinh sạch phần cao răng bám xung quanh thân răng.
Bên cạnh đó, sau khi cạo vôi, bác sĩ còn dùng các dụng cụ chuyên biệt để chà xát lên trên bề mặt răng để răng được vệ sinh sạch sẽ và trong bóng hơn, mang lại hàm răng sạch khỏe nhất cho bạn.
Tuy nhiên, trên thực tế cạo vôi răng không phải là một cách để làm trắng răng hơn. Thao tác điều trị chỉ đơn giản là lấy đi các mảng vôi mà đánh răng không thường không làm sạch được. Loại bỏ nguy cơ gây ra bệnh lý răng miệng và làm cho răng của bạn sạch sẽ và duy trì được độ sáng bóng tự nhiên.
Cạo vôi răng định kỳ sẽ giúp bạn có được một hàm răng khỏe mạnh, sáng bóng và tránh được các bệnh lý về răng miệng nghiêm trọng. Trên đây là những thông tin cần biết về bảng giá cạo vôi răng mới nhất. Đến với Nha Khoa Nhân Tâm để được thực hiện cạo vôi răng an toàn, không đau, không ê buốt với mức chi phí hợp lý nhất.



