Mô nha chu bao gồm nướu răng, xương ổ răng, xi măng quanh chân răng và dây chằng nha chu có vai trò quan trọng trong việc nâng đỡ và giữ ổn định răng trên cung hàm. Vôi răng và mảng bám vi khuẩn là thủ phạm chính gây bệnh nha chu, làm mô nha chu viêm nhiễm và bị phá hủy, dẫn đến hậu quả cuối cùng là gây mất răng. Vậy vôi răng có nguy hiểm không thì câu trả lời là CÓ.
Theo các thống kê, Việt Nam là 1 trong 20 quốc gia có tỷ lệ vôi răng cao nhất thế giới. Việc kiểm soát ngăn ngừa sự xuất hiện của vôi răng và loại bỏ vôi răng một khi chúng được hình thành là chìa khóa chính trong việc phòng ngừa bệnh nha chu.
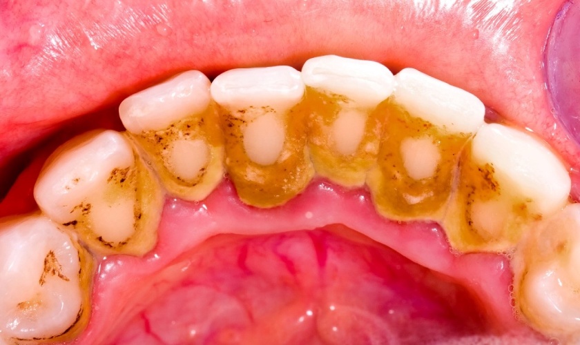
Vôi răng là gì?
Nếu vệ sinh sinh răng miệng không tốt, vi khuẩn trong miệng kết hợp với mảnh vụn thức ăn tạo thành một màng dính gọi là mảng bám răng. Mảng bám răng bám chặt vào răng và khi nào tồn tại đủ thời gian sẽ lắng đọng các chất khoáng trong nước bọt hình thành vôi răng. Chỉ có bác sĩ mới có thể loại bỏ vôi răng nhờ vào dụng cụ chuyên dụng.

Việc vệ sinh răng miệng không tốt sẽ hình thành nên các mảng bám tạo thành vôi răng
Tác hại của vôi răng
Trên bề mặt vôi răng luôn có vi khuẩn. Vi khuẩn này lên men đường trong thức ăn tạo acid có thể làm hỏng men răng và gây nên những tác hại khôn lường, trong đó có thể kể đến như:
- Viêm nướu: Đây là trường hợp nhẹ, có các biểu hiện như: nướu sưng, đỏ, chảy máu… Bệnh viêm nướu có thể phục hồi trở lại nếu như vôi răng được loại bỏ và duy trì vệ sinh răng miệng đúng cách.
- Viêm nha chu: Nếu viêm nướu không được điều trị, vôi răng hình thành nhiều và tồn tại dai dẳng có thể dẫn đến viêm nha chu. Khi đó hệ thống miễn dịch của cơ thể sẽ phóng thích các hóa chất để chống lại với vi khuẩn và những sản phẩm của vi khuẩn. Kết quả của "quá trình đánh nhau" này là gây tổn hại xương và các mô nha chu có tác dụng nâng đỡ và giữ ổn định răng trên cung hàm. Mô nha chu bị suy yếu, không thể giữ được răng, dẫn đến răng lung lay và hậu quả cuối cùng là bị mất răng.
- Các bệnh lý khác: Các vi khuẩn trong bệnh nha chu cũng liên quan đến bệnh tim và một số bệnh toàn thân khác.

Vôi răng có thể hình thành nên bệnh viêm nướu
Phòng ngừa sự hình thành vôi răng
Để không gặp phải những hậu quả khôn lường do vôi răng gây ra, bạn cần phải có những biện pháp phòng ngừa đúng đắn. Dưới đây là một số cách phòng ngừa mà bạn có thể tham khảo:
- Chải răng đúng cách với bàn chải lông mềm, đầu nhỏ, kết hợp sử dụng kem đánh răng có chứa fluor.
- Sử dụng chỉ nha khoa và nước súc miệng chuyên dụng để loại bỏ mảng bám vi khuẩn và mảnh vụn thức ăn còn sót ở vùng kẽ răng.
- Xây dựng chế độ ăn uống lành mạnh, hạn chế lượng thức ăn nhiều đường và bột. Bởi những chất này chính là điều kiện lý tưởng để vi khuẩn hình thành và gây nên các bệnh lý về răng miệng.
- Không hút thuốc lá. Các nghiên cứu cho thấy những người hút thuốc lá hoặc sử dụng các sản phẩm thuốc lá khác có nhiều khả năng có vôi răng.
- Một khi vôi răng đã hình thành, chỉ có bác sĩ mới có thể loại bỏ hoàn toàn vôi răng. Do đó, bạn nên tìm đến với các địa chỉ nha khoa uy tín khoảng 6 tháng một lần để hàm răng được bảo vệ tốt nhất.

Sử dụng chỉ nha khoa để vệ sinh răng miệng kỹ càng hơn
Tại TP.HCM, Nha khoa Nhân Tâm là trung tâm nha khoa uy tín hàng đầu, được đông đảo khách hàng tin tưởng lựa chọn. Tại đây, bạn sẽ được cạo vôi răng bằng sóng siêu âm hiện đại, áp lực nước từ 172 – 414 Kpa sẽ phối hợp nhịp nhàng với bước sóng siêu âm, có khả năng len lỏi sâu xuống dưới nướu và có thể đưa được tới mọi vị trí trên răng, giúp loại bỏ vôi răng triệt để, không gây ê buốt, khó chịu.giúp loại bỏ hoàn toàn vôi răng mà không hề xâm lấn đến mô lân cận, không gây hại đến men răng, không hề gây đau nhức, ê buốt, chảy máu,…
Nếu có nhu cầu cạo vôi răng hoặc còn bất kỳ thắc mắc nào về vấn đề này cần được giải đáp, hãy liên hệ ngay đến Nha khoa Nhân Tâm để được các chuyên gia thăm khám và tư vấn cụ thể.



