Viêm quanh răng có thể xảy ra do tích tụ mảng bám, vôi răng, thường xuyên hút thuốc lá, xỉa răng bằng tăm, suy giảm miễn dịch, rối loạn nội tiết,… với các biểu hiện ê buốt, đau nhức răng, lợi chuyển sang màu đỏ đậm, sưng tấy và dễ chảy máu,… Lúc này, bạn nên tới tới nha khoa để thăm khám, chẩn đoán bệnh và áp dụng các phương pháp điều trị chuyên sâu theo chỉ định của bác sĩ.
Các nguyên nhân dẫn đến tình trạng viêm quanh răng
Các tổ chức quanh răng hay còn gọi là nha chu bao gồm: lợi, gai lợi, nướu răng, dây chằng và xương ổ răng. Để răng chắc khỏe và đứng vững trên cung hàm thì nướu phải săn chắc, ôm sát răng để bảo vệ mô mềm và ngăn chặn sự tấn công của vi khuẩn.
Khi bị viêm quanh răng (viêm nha chu) thì các mô nha chu sẽ bị sưng tấy, ửng đỏ, viêm nhiễm và đau nhức. Sau thời gian dài, nướu sẽ không thể bám chắc vào răng được nữa, vi khuẩn có cơ hội tấn công, gây thương tổn xương ổn răng và tạo thành túi nha chu.

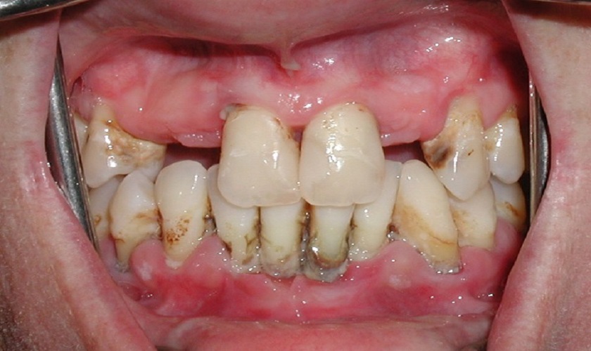
Hình ảnh răng nướu của người bị viêm quanh răng
Muốn điều trị triệt để chứng bệnh này, chúng ta cần xác định rõ nguyên nhân gây bệnh và giải quyết chúng. Các nguyên nhân thường gặp nhất bao gồm:
- Mảng bám, vôi răng không được loại bỏ trở thành nơi cư trú của vi khuẩn. Các vi khuẩn này sẽ sinh sôi, phát triển tấn công răng nướu dẫn đến viêm quanh răng. Về lâu dài, các mảng bám này sẽ vôi hóa, kích thích nướu răng, gây sưng viêm và chảy máu chân răng.
- Nội tiết tố trong cơ thể bị rối loạn.
- Thiếu vitamin, khoáng chất cần thiết, suy giảm chức năng miễn dịch.
- Mắc các bệnh lý bạch cầu, tiểu đường,…
- Xỉa răng bằng tăm thường xuyên khiến răng bị thưa, hở kẽ.
- Thường xuyên hút thuốc lá, sử dụng đồ uống chứa cồn.

Thường xuyên hút thuốc lá, sử dụng đồ uống chứa cồn là một trong những nguyên nhân gây viêm nha chu
Dấu hiệu nhận biết viêm quanh răng
Viêm quanh răng hay viêm nha chu thường tiến triển âm thầm trong thời gian đầu nên rất khó phát hiện. Bệnh sẽ biểu hiện rõ ràng hơn ở giai đoạn nặng với các triệu chứng:
- Lợi không còn hồng hào mà chuyển thành màu đỏ sẫm, sưng tấy và rất dễ chảy máu.
- Ê buốt, đau nhức răng nhiều hơn.
- Nướu răng không chắc chắn, mềm và có biểu hiện tụt nướu.
- Hơi thở xuất hiện mùi hôi khó chịu.
Viêm nha chu gây ảnh hưởng rất nặng nề tới khả năng ăn nhai. Nếu không chữa trị sớm sẽ gây suy giảm sức khỏe răng miệng, sức khỏe tổng thể và nguy cơ mất răng hoàn toàn có thể xảy ra.

Viêm nha chu không được chữa trị có thể dẫn đến mất răng vĩnh viễn
Biện pháp chữa trị viêm quanh răng
Để chữa trị triệt để viêm quanh răng, tốt nhất bạn nên tới tới phòng khám nha khoa gần đây để thăm khám, chẩn đoán bệnh và áp dụng các phương pháp điều trị chuyên sâu theo chỉ định của bác sĩ.
Tại Nha khoa Nhân Tâm, đội ngũ bác sĩ sẽ giúp bạn khắc phục triệt để chứng bệnh này theo phác đồ phù hợp, hiệu quả và an toàn:
Bước 1: Khám và đánh giá mức độ bệnh
Trước khi lập kế hoạch điều trị, bác sĩ cần thăm khám để nắm được tình trạng răng và mức độ viêm nhiễm mà bạn đang gặp phải.
Bước 2: Điều trị viêm nha chu bằng biện pháp phù hợp
Nếu bệnh ở giai đoạn đầu, bác sĩ sẽ tiến hành vệ sinh khoang miệng, loại bỏ mảng bám, vôi răng bằng máy cạo vôi răng siêu âm.
Với trường hợp đã xuất hiện túi nha chu, bác sĩ sẽ chỉ định một số các biện pháp khẩn cấp như nạo túi nha chu, ghép nướu răng, ghép mô, cố định răng lung lay,… để loại bỏ ổ mủ, tránh tái phát và chuyển sang mạn tính.

Phương pháp nạo túi nha chu loại bỏ ổ viêm nhiễm
Tình huống xấu nhất khi viêm nhiễm quá nặng, không thể điều trị bảo tồn thì bạn cần nhổ răng và phục hình lại để tránh viêm nhiễm lan rộng ảnh hưởng tới các răng khác.
Bước 3: Hướng dẫn chăm sóc
Cuối cùng, bạn sẽ được bác sĩ hướng dẫn vệ sinh, chăm sóc răng miệng đúng cách tại nhà để tránh tình trạng viêm nhiễm tái phát và hẹn lịch tái khám.
Nếu còn băn khoăn nào hoặc đang gặp phải tình trạng viêm quanh răng cần điều trị bạn có thể liên hệ tư vấn, đặt hẹn qua tổng đài 1900 56 5678 hoặc trực tiếp tới Nha khoa Nhân Tâm để được khám và hỗ trợ miễn phí.


