Viêm nướu răng - Nguyên nhân, triệu chứng và cách điều trị
Viêm nướu răng là tình trạng nướu xuất hiện những dấu sưng đỏ, có mảng bám và rất dễ chảy máu. Bệnh viêm nướu không nguy hiểm và có thể điều trị triệt để ở ngay giai đoạn đầu của bệnh.
Có rất nhiều nguyên nhân dẫn đến bệnh viêm nướu răng nhưng nguyên nhân chính kích thích vi khuẩn phát triển gây bệnh viêm nướu là quá trình vệ sinh răng miệng kém.
Viêm nướu răng rất phổ biến trong cộng đồng và bất kì ai cũng có thể gặp phải. Bệnh viêm nướu thường ít khi đau vì vậy người bệnh có thể bị viêm mà không biết.
Biện pháp phòng ngừa viêm nướu răng là có một chế độ chăm sóc răng miệng tích cực và đều đặn. Ngoài ra, bạn cần có một chế độ sinh hoạt lành mạnh, không gây tổn thương đến răng miệng, không hút thuốc lá, hạn chế rượu bia và có một chế độ dinh dưỡng đầy đủ.
Bệnh viêm nướu răng là gì?
Viêm nướu răng còn gọi là bệnh sưng nướu, là giai đoạn đầu của các bệnh lý về nướu. Đây là tình trạng răng miệng phổ biến đối với nhiều người và có thể gặp ở mọi lứa tuổi, từ nặng đến nhẹ.
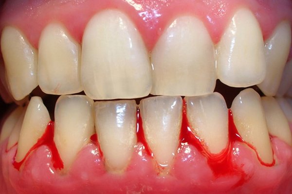
Khi bị viêm nướu răng, nướu của bạn sẽ bị đỏ, sưng tấy hoặc phồng rộp lên gây đau nhức. Nướu bị viêm nhiễm rất dễ bị kích ứng dẫn đến chảy máu nướu và hôi miệng.
Nướu bị sưng tấy và tách rời khỏi chân răng khiến răng lung lay, dễ bị tích tụ thức ăn gây viêm nhiễm và hình thành các mụn mủ giữa nướu và chân răng.

Nướu bị viêm nhiễm sẽ dẫn đến chảy máu
Theo TS. Bác sĩ Võ Văn Nhân: Viêm nướu lâu ngày không được điều trị có thể chuyển thành bệnh nha chu. Bệnh nha chu có rất nhiều loại, và nó ảnh hưởng rất nhiều đến hệ thống xương nâng đỡ răng. Khi bệnh nặng, xương hàm có thể bị tiêu khiến răng bị lung lay và phải nhổ bỏ.
Nguyên nhân gây ra bệnh viêm nướu răng
Cao răng, mảng bám có chứa vi khuẩn, là nguyên nhân chính gây ra bệnh viêm lợi. Thức ăn còn sót lại trên kẽ răng, kẽ răng và dưới nướu sau khi ăn nếu không được rửa sạch, lâu ngày sẽ bị vôi hóa, tạo thành cao răng chứa rất nhiều vi khuẩn.
Mảng bám và cao răng chứa vi khuẩn âm thầm tấn công nướu và răng trong thời gian dài mà bạn không hề hay biết. Trước khi hệ thống miễn dịch bị suy yếu, nó sẽ kích thích vi khuẩn sản sinh ra độc tố khiến nướu bị viêm, đau và gây viêm nướu.
Ngoài ra, viêm lợi còn có thể liên quan đến thói quen hút thuốc lá, thay đổi nội tiết tố ở phụ nữ mang thai, hoặc một số bệnh lý cơ thể khác. Khô miệng và giảm tiết nước bọt cũng tạo điều kiện cho vi khuẩn gây bệnh phát triển.

Nguyên nhân của bệnh viêm lợi
Xem thêm: Bệnh nha chu: Nguyên nhân, biểu hiện, chẩn đoán và điều trị
Cách chữa bệnh viêm nướu răng đơn giản và hiệu quả
Nếu viêm nướu răng không được điều trị, nó có thể phát triển thành viêm nha chu. Tuy nhiên, cũng có một số loại vi khuẩn hoạt động mạnh hơn và gây ra tình trạng viêm nhiễm, áp xe, tạo mủ quanh chân răng. Xương nâng đỡ răng có thể bị mất theo năm tháng. Nếu để lâu không chữa trị sẽ rất khó chữa trị về sau.
Dưới đây là một số cách chữa viêm lợi đơn giản mà bạn có thể áp dụng để cải thiện tình trạng bệnh của mình:
Vệ sinh răng miệng sạch sẽ
Đánh răng đúng cách và dùng chỉ nha khoa để loại bỏ mảng bám còn sót lại trên răng. Súc miệng bằng nước muối nhiều lần trong ngày giúp giảm đau, giảm sưng tấy và cải thiện tình trạng viêm lợi.

Vệ sinh răng miệng sạch sẽ là cách để cải thiện tình trạng viêm nướu răng
Đến trung tâm nha khoa để khám răng miệng và lấy cao răng
Cao răng cứng và không thể chải hoặc rửa tại nhà. Do đó, bạn nên đến gặp nha sĩ để được sử dụng dụng cụ lấy cao răng chuyên dụng để loại bỏ các mảng bám trên bề mặt răng, dưới nướu và cao răng có chứa vi khuẩn.
Điều trị tạm thời tại nhà
Nếu bạn không thể đến nha khoa, đây là một số mẹo bạn có thể áp dụng tại nhà để điều trị tạm thời bệnh viêm lợi:

Nếu phát hiện sớm, bệnh viêm nướu răng có thể được khắc phục hoàn toàn và đơn giản. Vì vậy, bạn nên đến nha khoa thường xuyên để thăm khám và lấy cao răng, từ đó giúp loại bỏ mảng bám hiệu quả và ngăn ngừa hoàn toàn tình trạng viêm nướu.
Nha khoa Nhân Tâm là trung tâm nha khoa uy tín, được nhiều khách hàng trong và ngoài nước lựa chọn là địa chỉ phục hình các khiếm khuyết về răng miệng.
Tại đây quy tụ đội ngũ bác sĩ giỏi, giàu kinh nghiệm đã điều trị hiệu quả nhiều bệnh lý về răng lợi. Đặc biệt với máy lấy cao răng bằng sóng siêu âm có thể làm sạch kẽ răng một cách triệt để và loại bỏ cao răng một cách hiệu quả, không đau, nhanh chóng và an toàn.
Bạn nên đến trực tiếp phòng khám nha khoa Nhân Tâm để được thăm khám răng miệng cụ thể và bác sĩ chỉ định điều trị viêm lợi phù hợp. Mọi thắc mắc khác vui lòng liên hệ Hotline: 1900 56 5678
*Chụp phim X-Quang hoặc phim 3 chiều CT Cone Beam là một bước quan trọng trong quy trình điều trị phục hồi răng. Vì vậy Khách hàng sẽ được Bác sĩ của nha khoa Nhân Tâm chỉ định đến các cơ sở y tế đủ chức năng để thực hiện trước khi điều trị.



