Viêm nướu răng có nổi hạch không là một trong những vấn đề được nhiều bệnh nhân quan tâm khi bị viêm nướu.
Đau, sưng, đỏ, chảy máu là những triệu chứng thông thường của bệnh viêm nướu răng. Sốt, sưng và cứng hàm, không thể ăn nhai, nổi hạch… là những dấu hiệu cảnh báo tình trạng viêm nướu răng đã trở nặng, cần được thăm khám ngay lập tức.
Viêm nướu răng có nổi hạch không?
Viêm nướu răng có nổi hạch không? Trên thực tế tùy theo nguyên nhân gây bệnh viêm nướu răng và mức độ bệnh lý mà sẽ xuất hiện triệu chứng viêm nướu khác nhau:
- Đối với viêm nướu răng do vi khuẩn tấn công nướu răng gây ra, chưa gây nên những biến chứng nguy hiểm thì sẽ không xuất hiện tình trạng nổi hạch mà chỉ là những dấu hiệu thông thường như nướu bị đỏ, bị đau, bị sưng, chảy máu nướu răng.

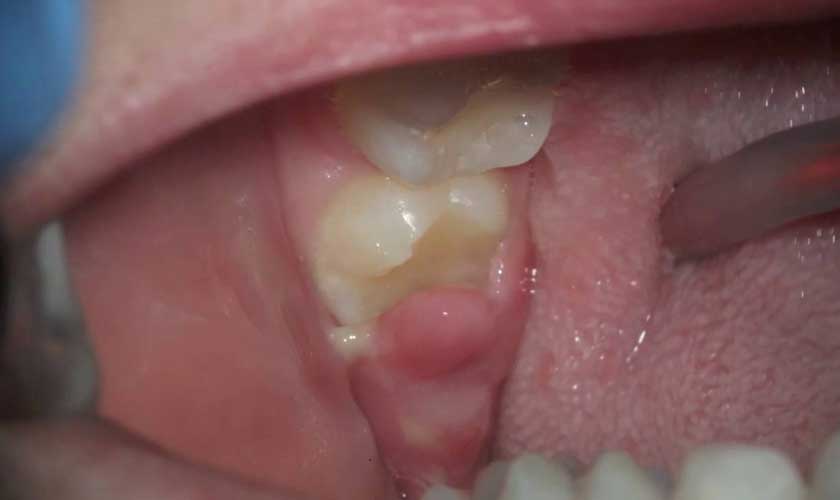
Viêm nướu răng do răng khôn mọc kẹt
- Lúc này, nếu không kịp thời điều trị và loại bỏ tác nhân gây viêm nướu thì sẽ gây ra nhiễm trùng nặng hơn, xuất hiện thêm những triệu chứng cảnh báo cơ thể đang gặp vấn đề nghiêm trọng như sốt, nổi hạch, sưng má, sưng hàm, không thể há miệng, nôn mửa…
- Bên cạnh đó, nếu viêm nướu răng là tình trạng bệnh lý thứ phát bắt nguồn từ những bệnh lý khác như sâu răng, viêm tủy răng hoặc mọc răng khôn thì việc bị viêm nướu nổi hạch cũng rất dễ xảy ra.
- Ngoài ra còn có những trường hợp vi khuẩn khoang miệng theo đường nước bọt đi qua họng và làm nhiễm trùng rồi tạo hạch tại đó.
Viêm nướu răng nổi hạch có nguy hiểm không?
Như vậy câu trả lời cho câu hỏi “viêm nướu răng có nổi hạch không?” chính là tùy vào tình trạng cụ thể của bệnh nhân mà có thể nổi hạch hoặc không. Vậy viêm nướu răng bị nổi hạch có nguy hiểm không?
Nổi hạch là phản ứng tự nhiên của cơ thể nhằm chống lại tác nhân gây bệnh để bảo vệ cơ thể. Khi bị viêm nướu răng nổi hạch thì cần thực hiện thăm khám và điều trị càng sớm càng tốt để tránh những hậu quả như:
1. Suy giảm chất lượng cuộc sống
Nướu răng bị sưng, đau, nổi hạch sẽ ảnh hưởng nghiêm trọng đến hoạt động ăn nhai và giao tiếp. Cơ thể sẽ trở nên mệt mỏi, uể oải, sức khỏe giảm sút, từ đó làm giảm chất lượng cuộc sống của bệnh nhân.

Viêm nướu răng nổi hạch ảnh hưởng nghiêm trọng đến chất lượng cuộc sống
2. Viêm nhiễm xương hàm
Khi viêm nướu răng bị nổi hạch chứng tỏ tình trạng nướu răng của bạn đã nhiễm trùng mức độ nặng, vi khuẩn có thể phá hủy các tổ chức quanh răng và nướu, khiến xương hàm bị tổn thương. Nếu không ngăn chặn, vi khuẩn sẽ tấn công và gây bệnh trên diện rộng.
3. Nguy cơ mất răng
Viêm nướu răng nếu không được chú trọng điều trị thì sẽ tiến triển thành viêm nha chu, các dây chằng nha chu quanh răng sẽ bị phá vỡ liên kết, khiến toàn bộ tổ chức nâng đỡ răng bị phá hủy gây nguy cơ mất răng.
4. Nguy hại cho sức khỏe toàn thân
Vi khuẩn gây viêm nướu răng có thể xâm nhập vào máu gây nhiễm trùng máu, viêm mô tế bào hoặc gây ra các bệnh lý như viêm mũi họng, viêm Amidan, viêm tai… Viêm nướu răng, viêm nha chu còn làm tăng nguy cơ mất kiểm soát đường huyết, nguy cơ đột quỵ…
Các phương pháp điều trị viêm nướu răng nổi hạch
Để điều trị viêm nướu răng bị nổi hạch, Bác sĩ cần tiến hành thăm khám và chẩn đoán nguyên nhân và tình trạng bệnh lý, từ đó lên phác đồ phù hợp với từng bệnh nhân cụ thể.
1. Viêm nướu răng do mảng bám, vôi răng
Mảng bám và vôi răng là nguyên nhân phổ biến nhất gây ra tình trạng viêm nướu răng. Với nguyên nhân này, bạn chỉ cần đến nha khoa để thực hiện vệ sinh và cạo vôi răng để loại bỏ vi khuẩn giúp nướu răng chắc khỏe trở lại.

Tùy theo nguyên nhân và tình trạng viêm nướu mà sẽ có hướng điều trị phù hợp
2. Mọc răng khôn
Răng khôn mọc nghiêng, mọc lệch, mọc ngầm, mọc kẹt hoặc bị sâu đều dễ gây ra tình trạng viêm nướu răng. Với trường hợp này, Bác sĩ sẽ tiến hành nhổ răng khôn để điều trị dứt điểm bệnh viêm nướu do răng khôn.
Xem thêm: Cách điều trị viêm nướu răng cửa
3. Sâu răng, viêm tủy
Với nguyên nhân viêm nướu do sâu răng, viêm tủy răng thì Bác sĩ cần điều trị dứt điểm bệnh lý, kết hợp lấy vôi răng và phục hình bằng các biện pháp như trám răng, bọc răng sứ…
Trên đây là thông tin về vấn đề “viêm nướu răng có nổi hạch không?”. Nếu bị viêm nướu răng hay các vấn đề răng miệng khác, hãy đến gặp bác sĩ nha khoa để được thăm khám càng sớm càng tốt nhằm tránh những biến chứng nguy hiểm cho cơ thể bạn nhé!




