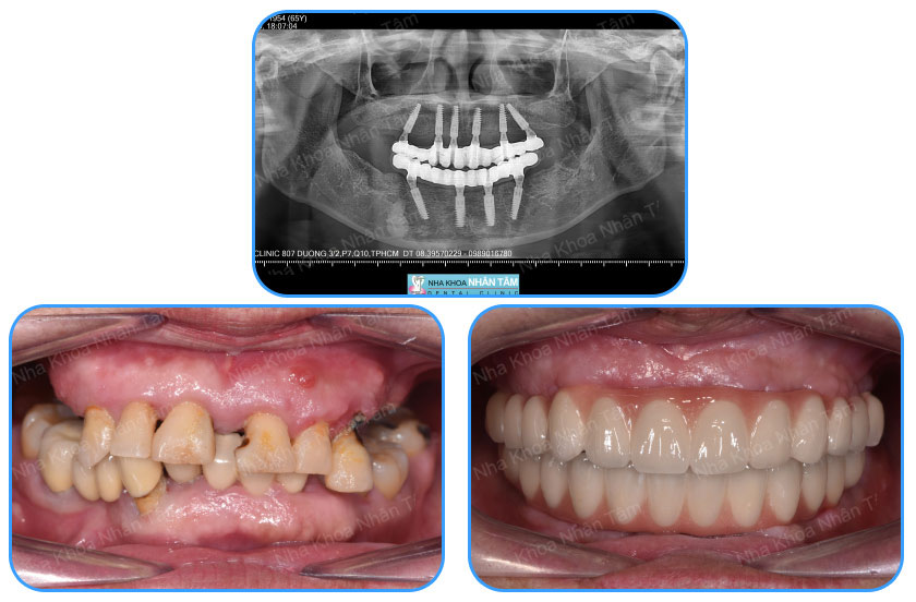
Trồng răng Implant all on 4 là một phương pháp phục hình răng toàn hàm được áp dụng khá rộng rãi trong các trường hợp mất toàn bộ răng và mang lại nhiều lợi ích tuyệt vời.
Chi phí cấy ghép sẽ có sự khác biệt giữa các nha khoa dựa trên công nghệ cấy ghép, hệ thống máy móc hỗ trợ, trình độ y bác sĩ, chất lượng của trung tâm nha khoa,… Để nắm được các thông tin cụ thể về chi phí của dịch vụ này bạn hãy tới trực tiếp phòng khám nha khoa để được tư vấn nhé.
Thế nào là trồng răng Implant all on 4?
Implant nha khoa là những trụ nhỏ được chế tác từ Titanium. Chúng được cấy ghép vào trong xương hàm để cố định và nâng đỡ cấu trúc phục hình thân răng phía trên.
Sau khi thực hiện biện pháp này, khả năng ăn nhai của hàm răng được khôi phục gần như tối đa và đạt mức cao nhất trong các biện pháp phục hình răng hiện nay.
Trồng răng Implant all on 4 là một phương pháp phục hình răng toàn hàm được áp dụng trong các trường hợp:
- Khách hàng mất toàn bộ răng ở hàm trên.
- Khách hàng mất toàn bộ răng ở hàm dưới.
- Khách hàng mất toàn bộ răng ở cả 2 hàm.
Trong kỹ thuật này, bác sĩ sẽ cấy ghép 4 trụ Implant vào trong xương hàm của khách hàng (quá trình cấy ghép được chia làm 2 lần, mỗi lần cắm 2 trụ Implant để đảm bảo an toàn cho khách hàng). Tiếp đó là thực hiện gắn hàm giả lên trên để khôi phục thân răng sau một thời gian khi mà quá trình tích hợp xương đã hoàn thiện và trụ đã bám chắc chắn trong xương hàm.

Hình ảnh mô phỏng kỹ thuật trồng răng Implant all on 4
Trồng răng Implant all on 4 có đặc điểm gì?
Trước khi quyết định có thực hiện cấy ghép Implant all on 4 hay không thì ưu và nhược điểm của kỹ thuật này là điều bạn cần nắm được.
Các ưu điểm vượt trội của cấy ghép Implant all on 4:
- Implant all on 4 là giải pháp khi kỹ thuật cắm Implant đơn lẻ không giải quyết được vấn đề mất răng, xương hàm của khách hàng đã tiêu biến quá nhiều và không thể ghép thêm xương.
- Hàm giả được cố định chắc chắn với xương hàm, giúp người sử dụng có thể thoải mái giao tiếp và ăn nhai mà không lo chúng bị bung tuột, rơi ra như khi làm răng giả tháo lắp.
- Giúp khôi phục lại toàn bộ các răng đã mất, ngăn ngừa được những vấn đề sức khỏe răng miệng nói riêng và sức khỏe tổng thể nói chung do tình trạng mất răng gây nên.
- Các chức năng răng được phục hồi một cách toàn diện, không thua kém gì răng tự nhiên.
- Răng giả có màu sắc, hình dáng và kích cỡ tương tự như răng thật, đem lại hiệu quả thẩm mỹ cao cho người sử dụng, người khác sẽ không thể nhận ra được bạn đang sử dụng răng giả khi nhìn vào.

Trồng răng Implant all on 4 khôi phục hoàn hảo tính thẩm mỹ của hàm răng
Bên cạnh những lợi ích tuyệt vời nêu trên, cấy ghép Implant all on 4 cũng vẫn có điểm hạn chế là lực nhai chưa phải là tốt nhất vì chỉ có 4 trụ chân răng nâng đỡ, chịu lực của toàn bộ hàm giả bên trên. Hãy tới nha khoa gần đây để được các bác sĩ chuyên khoa tư vấn kỹ lưỡng trước khi quyết định nhé.
Ai nên trồng răng Implant all on 4?
Có thể khẳng định rằng trồng răng Implant all on 4 là một bước tiến đột phá trong nha khoa. Sự ra đời của Implant all on 4 giúp khắc phục tất cả các nhược điểm của phương pháp điều trị tình trạng mất răng thật trước đây như làm cầu răng sứ, làm hàm giả tháo lắp,…
Ưu điểm nổi bật của all on 4 chính là đem đến cho bạn hàm răng chắc khỏe, khôi phục tính thẩm mỹ và chức năng ăn nhai giống với răng thật.
Những đối tượng được chỉ định cấy ghép Implant all on 4 là:
- Khách hàng bị mất răng toàn hàm, tiêu xương vùng răng trong.
- Khách hàng có răng bị sâu, hoặc viêm nha chu không thể giữ được.
- Khách hàng vừa mới nhổ răng toàn hàm, mong muốn có hàm răng cứng chắc và lâu bền.

Implant all on 4 phù hợp với những người bị mất răng toàn hàm
Nhược điểm của phương pháp Implant all on 4
Bên cạnh những ưu điểm vượt trội thì trồng răng Implant all on 4 vẫn tồn tại một số hạn chế nhất định.
| Nhược điểm của Implant all on 4 | Cách khắc phục từ chuyên gia |
| Chỉ áp dụng cho trường hợp có đủ xương và xương tốt vùng răng cửa. | Chất lượng xương không tốt và số lượng xương không đủ thì cần tiến hành ghép xương, thực hiện cấy ghép Implant đơn lẻ để có thể phục hồi thẩm mỹ và chức năng một cách tốt nhất. |
| Kỹ thuật khó do cấy 2 Implant phía bên nghiêng góc, đòi hỏi bác sĩ phẫu thuật phải có chuyên môn cao và giàu kinh nghiệm, kiểm soát tốt hướng cấy Implant. | Để biết trường hợp của mình có phù hợp để cấy ghép Implant All on 4 hay không và thực hiện cấy ghép Implant an toàn, khách hàng cần phải tìm hiểu thật kỹ các thông tin về trồng răng và lựa chọn cho mình địa chỉ nha khoa uy tín. Bác sĩ phải là người chuyên sâu về Implant nha khoa, am tường cấu trúc giải phẫu của bệnh nhân. Hơn nữa, nha khoa phải trang bị đầy đủ các thiết bị cần thiết, hệ thống vô trùng đảm bảo. |
| Khi trồng răng Implant all on 4, bạn bắt buộc phải tái khám định kỳ để được bác sĩ kiểm tra và bảo dưỡng răng đúng cách. | Hãy chăm sóc răng miệng kỹ lưỡng, thăm khám định kỳ theo đúng lịch hẹn của bác sĩ để hạn chế tối đa các bệnh răng miệng và giữ cho răng Implant được tồn tại lâu dài. |

Cấy ghép Implant all on 4 cần được thực hiện tại địa chỉ nha khoa uy tín
Chi phí trồng răng Implant All on 4 hiện nay
Có nhiều người cho rằng, cấy ghép Implant all on 4 sẽ giúp tiết kiệm một khoản chi phí đáng kể so với các kỹ thuật phục hình răng toàn hàm khác vì chỉ dùng 4 trụ Implant.
Tuy nhiên thực tế thì trồng răng Implant all on 4 có mức giá không chệch quá nhiều với những biện pháp phục hình răng toàn hàm khác bởi:
- Trụ Implant được sử dụng phải là sản phẩm chất lượng cao, thường có giá thành cao hơn những loại thông thường nhằm đảm bảo chức năng giữ vững và nâng đỡ hàm giả trên Implant.
- Việc thiết kế, sản xuất hàm giả phục hình thân răng cũng khá phức tạp và yêu cầu tính tỉ mỉ nhiều hơn những cấu trúc phục hình khác nên gái thành cũng cao hơn.
Bài viết hữu ích: Trồng răng giả Implant bao nhiêu tiền? Có mắc không?
Ngoài ra chi phí cấy ghép Implant all on 4 cũng sẽ có sự khác biệt giữa các nha khoa dựa trên công nghệ cấy ghép, hệ thống máy móc hỗ trợ, trình độ y bác sĩ, chất lượng của trung tâm nha khoa,… Để nắm được các thông tin cụ thể về chi phí của dịch vụ này, quý khách hàng có thể tham khảo bảng giá sau của Nha khoa Nhân Tâm:
Hy vọng qua các thông tin chia sẻ phía trên, các bạn đã có cái nhìn đầy đủ hơn về biện pháp trồng răng Implant all on 4. Để được tư vấn cụ thể hơn, bạn có thể liên hệ qua hotline 1900 56 5678 hoặc tới trực tiếp Nha khoa Nhân Tâm để được các bác sĩ thăm khám và hỗ trợ miễn phí nhé.




