Bệnh nha chu thực chất là bệnh của các mô xung quanh răng. Đây là nguyên nhân chính dẫn đến tình trạng mất răng, ảnh hưởng đến sức khỏe và sắc đẹp.
Nguyên nhân là do sự tích tụ của các mảng bám cao răng trên răng, theo thời gian, các mảng bám này dần cứng lại và hình thành các mảng bám quanh răng, gây ra tình trạng viêm nướu. Vi khuẩn trong cao răng bắt đầu từ nướu và lan xuống cấu trúc mô nha chu bên dưới, tại đây nướu bị tụt xuống, phá hủy xương ổ răng và hình thành túi nha chu.
Điều trị triệt để bệnh nha chu Khách hàng cần tìm được nha khoa nha chu giỏi, bác sĩ giỏi giàu kinh nghiệm để mang lại kết quả điều trị nhanh nhất và tốt nhất. Nha khoa Nhân Tâm có đội ngũ bác sĩ hơn 20 năm kinh nghiệm cùng công nghệ hiện đại sẽ giúp bạn điều trị triệt để bệnh viêm nha chu.
Nguyên nhân gây bệnh nha chu
Nguyên nhân chính của bệnh nha chu là do mảng bám, đặc biệt là vi khuẩn Gram âm. Thành phần chính của mảng bám là vi khuẩn. Vi khuẩn chiếm 90-95% trọng lượng ướt của mảng bám răng. 5-10% còn lại bao gồm một số tế bào vật chủ, nấm mốc hữu cơ và các ion vô cơ.
Tiến sĩ, Bác sĩ Võ Văn Nhân - Giám đốc Nha khoa Nhân Tâm cho biết: Có hai loại mảng bám cơ bản là mảng bám trên nướu và mảng bám dưới nướu. Hầu hết vi khuẩn có trong mảng bám nướu là vi khuẩn hiếu khí và vi khuẩn ngẫu nhiên, trong khi mảng bám dưới nướu chủ yếu chứa vi khuẩn kỵ khí.
Mảng bám dưới đáy răng bao gồm: mảng bám mô cứng, mảng bám mô mềm và mảng bám lỏng lẻo. Mảng bám trên mô cứng được gắn với xi măng, ngà răng và men răng, mảng bám trên mô mềm được gắn vào các tế bào biểu mô, và mảng bám lỏng lẻo lơ lửng trong không gian giữa hai lớp.

Răng bị viêm nha chu
Cao răng là những mảng bám vôi hóa. Cao răng thường có màu sẫm như đen, nâu hoặc xám vì sau khi mảng bám đông cứng lại thành cao răng và xảy ra phản ứng viêm, vùng trước đó đã bị chảy máu, tế bào máu kết dính và chuyển thành màu đen thành cao răng, sau đó tan máu và huyết sắc tố / sắt cao răng bẩn. Nếu mảng bám không được loại bỏ, nó có thể làm cho nướu bị tụt khỏi răng, tạo ra các túi mủ nha chu. Những túi này cùng với cao răng cứng gây khó khăn cho việc loại bỏ mảng bám nếu không có sự trợ giúp của nha sĩ.
Bệnh nha chu nếu không được phát hiện và điều trị kịp thời có thể phá hủy toàn bộ mô nâng đỡ của răng, thậm chí ảnh hưởng đến xương ổ răng.
Dấu hiệu nhận biết bệnh nha chu
Các triệu chứng chính của viêm nha chu là:
- Nướu có thể dễ bị chảy máu do bất kỳ ảnh hưởng nào từ việc đánh răng, ăn thức ăn cứng, v.v.
- Nướu bị viêm và tấy đỏ, mô nướu bị viêm loét trở nên lỏng lẻo và không bám chắc vào chân răng như bình thường.
- Xung quanh thân răng có nhiều cặn cao răng.
- Răng bị lung lay và thưa.
- Chứng hôi miệng bắt đầu xuất hiện.

Cao răng là nguyên nhân chính gây ra bệnh nha chu
Bệnh nha chu có thể tiến triển từ nhẹ đến nặng. Giai đoạn ban đầu của bệnh nha chu là viêm nướu. Tuy nhiên, sưng nướu không hẳn là dấu hiệu cảnh báo bệnh viêm nha chu. Viêm nướu mãn tính có thể kéo dài mà không gây viêm nha chu. Nguyên nhân khiến tình trạng viêm nướu trở thành viêm nha chu có thể là do vi khuẩn liên kết mầm bệnh và phản ứng bất thường của vật chủ.
Xem thêm: Bệnh nha chu nguy hiểm thế nào
Phân loại và điều trị bệnh viêm nha chu
Phân loại:
Viêm nha chu được chia thành 2 loại:
- Viêm nha chu quanh đỉnh chân răng do biến chứng của sâu răng không được điều trị
- Viêm nha chu mãn tính là một biến chứng của bệnh viêm nướu mãn tính.
Triệu chứng:
- Viêm nha chu quanh đỉnh chân răng: Đau răng, áp-xe chân răng khiến răng bị lung lay.
- Viêm nha chu mãn tính: Viêm nướu khiến nướu sưng đỏ, mềm, đàn hồi, đau nhức, chảy máu và ăn sâu vào khoảng chân răng khiến người bệnh đau đớn khi ăn uống nước lạnh hoặc nước nóng. Có thể có mủ chảy ra từ chân răng.

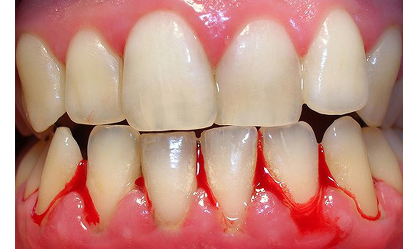
Viêm nha chu gây chảy máu ở chân răng
Điều trị:
- Viêm nha chu quanh đỉnh chân răng: dẫn lưu mủ, nạo sạch và trám răng sâu, hoặc nhổ răng.
- Giai đoạn đầu của viêm nha chu mãn tính: Vệ sinh răng miệng sạch sẽ, đúng cách, loại bỏ mảng bám (cạo vôi răng), rạch niêm mạc kẽ răng đến mô lành giúp chúng bám dính tốt trên răng. Khắc phục răng lung lay bằng niềng răng.
Hy vọng những thông tin trên sẽ giúp ích được cho bạn trong việc hiểu rõ về bệnh nha chu. Nếu còn bất kỳ thắc mắc nào cần giải đáp, hãy liên hệ với Nha Khoa Nhân Tâm ngay hôm nay để được hỗ trợ tốt nhất.



