Trám răng Amalgam là kỹ thuật phục hình răng truyền thống và cho đến nay vẫn được rất nhiều người sử dụng. Ưu điểm lớn nhất của phương pháp này đó chính là chi phí thấp và độ bền chắc cao. Tuy nhiên nhược điểm là không đảm bảo thẩm mỹ do có màu bạc, không giống với răng tự nhiên. Ngoài ra, amalgam có khả năng dẫn nhiệt tốt, có thể gây ê buốt khi tiếp xúc nóng, lạnh. Để biết chính xác mình có phù hợp với phương pháp trám răng này hay không, bạn cần đến gặp bác sĩ nha khoa để được thăm khám và tư vấn.
Trám răng Amalgam là gì?
Amalgam là vật liệu đã được sử dụng trong nha khoa từ thế kỷ 19 và đến nay vẫn trở thành một lựa chọn phổ biến trong việc trám răng. Amalgam là một hỗn hợp của các kim loại, bao gồm bạc, thiếc, đồng và kẽm, được pha trộn với một lượng nhỏ thủy ngân để tạo thành một chất trám dạng mềm. Khi chất trám này được đặt vào lỗ răng, nó sẽ cứng lại trong thời gian ngắn và tạo nên một bề mặt chắc chắn để bảo vệ và phục hồi răng.

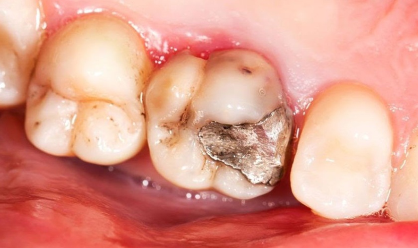
Trám răng Amalgam
Trám răng Amalgam thường được ứng dụng trong các trường hợp răng sâu, sứt mẻ,… giúp tái tạo lại hình thể của răng và bảo vệ mô răng được bền lâu. Vì vật liệu trám Amalgam có màu trắng bạc nên chủ yếu phục hình cho các răng hàm, không đòi hỏi quá cao về tính thẩm mỹ.
Ưu và nhược điểm của phương pháp trám răng Amalgam
Phương pháp trám răng Amalgam cũng tồn tại song song cả ưu và nhược điểm. Việc nắm rõ ưu điểm cũng như nhược điểm của phương pháp này sẽ giúp bạn có cái nhìn tổng quan, từ đó đưa ra sự lựa chọn phù hợp nhất với mình.
Ưu điểm của trám răng Amalgam
Khôi phục hình thể răng
Amalgam là loại vật liệu có tính dẻo, dễ tạo hình, vì thế có thể đáp ứng tốt các yêu cầu khi phục hình. Bác sĩ sẽ đưa vật liệu trám vào vị trí răng bị khuyết thiếu, sau đó khôi phục lại hình thể của răng bị sứt mẻ, gãy vỡ.

Trám răng Amalgam giúp khôi phục hình thể của răng
Đảm bảo khả năng ăn nhai
Amalgam là vật liệu có độ bền chắc cao nhất trong các loại vật liệu trám. Do đó, khi trám răng bằng vật liệu này, răng sẽ trở nên cứng chắc, đảm bảo chức năng ăn nhai tốt. Ngay cả khi trám răng ở vị trí răng hàm (vị trí răng đòi hỏi lực nhai lớn) thì trám răng Amalgam vẫn đảm bảo được độ bền chắc lâu dài.
Tiết kiệm chi phí
Trám răng Amalgam có chi phí khá thấp, phù hợp với điều kiện tài chính của nhiều người. Đây cũng chính là lý do mà nhiều người lựa chọn sử dụng phương pháp trám răng nay.
Nhược điểm của trám răng Amalgam
Tính thẩm mỹ chưa cao
Mặc dù Amalgam có độ bền cao, nhưng vật liệu này có màu đen hoặc bạc nên không giống như màu của răng tự nhiên. Điều này làm cho răng trông khác biệt và không đẹp mắt, đặc biệt khi phục hình ở vị trí răng cửa.

Vật liệu Amalgam có tính thẩm mỹ không cao
Kích thước của miếng trám khá lớn
Khi sử dụng amalgam để trám khiếm khuyết của răng, thường cần phải loại bỏ một phần của răng tự nhiên để tạo không gian đủ cho chất trám. Điều này có thể làm yếu đi cấu trúc răng và có thể dẫn đến mối nguy hiểm hơn trong tương lai.
Dẻo dai và dẫn nhiệt
Amalgam có đặc tính dẻo và dẫn nhiệt tốt, điều này có thể làm cho răng nhạy cảm với thay đổi nhiệt độ. Khi ăn hoặc uống thức uống nóng, lạnh, răng có thể trở nên nhạy cảm và gây đau nhức.
Địa chỉ trám răng bền đẹp, uy tín tại TPHCM
Mặc dù trám răng là kỹ thuật đơn giản trong nha khoa, nhưng bạn cũng cần lựa chọn địa chỉ nha khoa uy tín để thực hiện nhằm mang lại hiệu quả cao và đảm bảo an toàn cho sức khỏe. Với hơn 25 năm hoạt động, Nha Khoa Nhân Tâm đã được rất nhiều khách hàng tin tưởng lựa chọn là địa chỉ trám răng chất lượng cao.

Nha Khoa Nhân Tâm là địa chỉ trám răng uy tín
- Được trực tiếp bác sĩ có trình độ chuyên môn cao, giàu kinh nghiệm thăm khám và điều trị. Các bác sĩ sẽ thăm khám cụ thể, có thể cần điều trị các bệnh lý răng miệng triệt để trước khi trám răng nhằm đảm bảo kết quả trám răng an toàn, bền lâu.
- Áp dụng công nghệ trám răng hiện đại, giúp việc trám răng diễn ra chính xác, an toàn, nhanh chóng và thẩm mỹ.
- Quy trình điều trị khép kín, tuân thủ nghiêm ngặt các yếu tố vô trùng, loại bỏ nguy cơ lây nhiễm chéo.
- Sử dụng vật liệu trám có chất lượng tốt, đảm bảo an toàn, được kiểm định chất lượng theo tiêu chuẩn quốc tế FDA.
Để có thể an tâm lựa chọn phương pháp trám răng Amalgam, bạn nên đến trực tiếp nha khoa uy tín thăm khám và nhận tư vấn từ bác sĩ. Với những ưu điểm về chuyên môn, công nghệ trám răng, Nha Khoa Nhân Tâm sẽ làm bạn hài lòng với kết quả phục hình răng hoàn hảo.



