Răng sứ Titan là một trong những dòng sản phẩm răng sứ được sử dụng rất phổ biến hiện nay nhờ các ưu điểm nổi trội như trọng lượng nhẹ, khả năng chịu tốt, phục hồi tối đa chức năng ăn nhai, an toàn, lành tính với mức chi phí tiết kiệm.
Tuy nhiên, sản phẩm răng sứ này vẫn còn những nhược điểm cần khắc phục như màu sắc không đẹp như răng toàn sứ và có thể gây đen viền nướu sau một thời gian sử dụng.
Răng sứ Titan là gì?
Răng sứ Titan là một sản phẩm răng sứ lõi kim loại đã có mặt trên thị trường từ rất lâu và được nhiều khách hàng tin tưởng lựa chọn.
Về cấu tạo, răng sứ lõi Titan có 2 bộ phận bao gồm lớp sứ nguyên chất ở bên ngoài và lõi kim loại phía bên trong.
So với các sản phẩm răng sứ kim loại khác thì răng sứ lõi Titan có tuổi thọ cao hơn nhiều.
Hiện nay có 3 loại răng sứ Titan phổ biến là:
- Răng sứ lõi Titan Vita
- Răng sứ lõi Titan Margin
- Răng sứ lõi Titan Berlin
Về bản chất, các sản phẩm răng sứ trên đều có cấu tạo và chất lượng tương tự nhau. Điểm khác biệt là cơ sở và địa điểm sản xuất.
Răng sứ Titan có ưu điểm gì?
Răng sứ lõi Titan đem đến cho người sử dụng các ưu điểm nổi trội như:
Trọng lượng nhẹ
Sản phẩm răng sứ này có kích cỡ tương đương với răng thật nhưng trọng lượng rất nhẹ nên thường được dùng cho cả các răng ở hàm trên. Đặc biệt là các trường hợp cần làm cầu răng sứ dài để phòng tránh hiện tượng rơi cầu răng vì trọng lượng răng sứ lớn.

Răng sứ Titan được ưu tiên sử dụng cho răng hàm trên
Độ bền cao, khả năng ăn nhai tốt
Vì có cấu tạo từ sứ và kim loại nên răng sứ loại này có khả năng chịu lực tốt và giúp người sử dụng thoải mái ăn nhai như răng tự nhiên mà không lo bị nứt, vỡ, mẻ. Theo kết quả của nhiều nghiên cứu, khả năng chịu lực của răng sứ Titan tương tự như răng tự nhiên nên đây là sự lựa chọn được khuyến khích với các trường hợp cần bọc sứ phục hình răng hàm.
An toàn với người sử dụng
Phần lõi kim loại bên trong răng sứ loại này chưa từ 4 đến 6% Titanium – vật liệu lành tính, an toàn với sức khỏe được sử dụng trong y khoa. Phần sứ bọc bên ngoài của răng cũng đã được đáng giá về chất lượng và đảm bảo an toàn, không gây kích ứng với nướu hay mô mềm xung quanh nên bạn có thể hoàn toàn yên tâm khi sử dụng.
Tính tương thích sinh học cao
Nhờ tính tương thích sinh học cao cơ thể nên sản phẩm răng sứ này gần như không bị đào thải hay gây kích ứng trong suốt thời gian sử dụng.
Mức giá phải chăng
So với các sản phẩm răng toàn sứ thì giá bọc răng sứ lõi Titan phải chăng hơn nhiều nhưng vẫn đảm bảo được các tiêu chí về chất lượng và thẩm mỹ. Đối với những người muốn thẩm mỹ, phục hình răng sứ với mức giá vừa phải thì đây là một lựa chọn không thể bỏ qua.
Răng sứ Titan có nhược điểm gì?
Bên cạnh các điểm cộng nêu trên thì răng sứ lõi Titan vẫn có một số hạn chế như:
Tính thẩm mỹ không cao bằng răng toàn sứ
Mặc dù cũng đem lại vẻ đẹp thẩm mỹ cao nhưng khi so sánh với các sản phẩm răng toàn sứ thì chúng vẫn không đẹp bằng. Lý do là bởi màu sắc của chúng là màu trắng đục (vì có cấu tạo bao gồm kim loại) chứ không trắng trong được như răng sứ không kim loại. Vậy nên nếu có nhu cầu làm răng sứ thẩm mỹ thì đây không phải sự chọn lựa tối ưu.
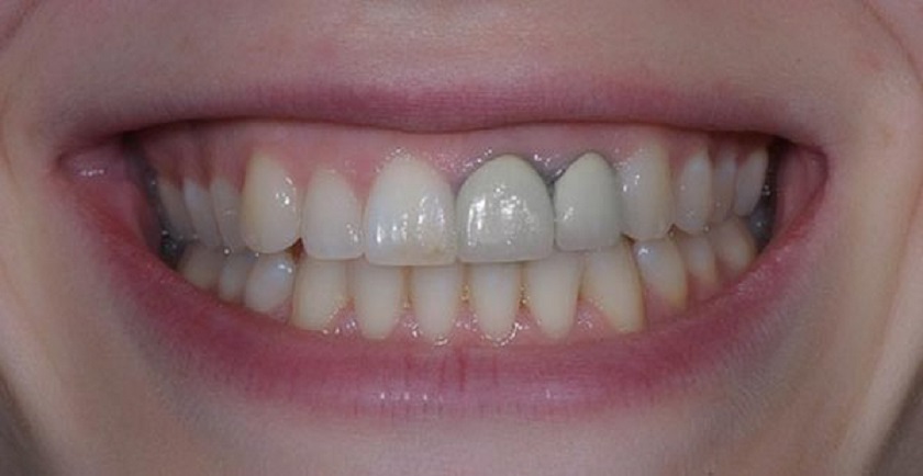
Có thể gây đen viền nướu
Sau một thời gian sử dụng, phần khung kim loại sát nướu răng có thể bị đen đi, chân răng xuất hiện tình trạng xỉn màu. Điều này tuy không làm ảnh hưởng gì đến sức khỏe nhưng lại gây mất thẩm mỹ cho hàm răng.

Hiện tượng đen viền nướu sau một thời gian sử dụng răng sứ Titan
Tuổi thọ thấp hơn so với răng toàn sứ
Tuổi thọ của răng sứ Titan có thể kéo dài từ 5 đến 7 năm, ngắn hơn so với răng toàn sứ bởi phần lõi kim loại bên trong dễ bị oxy hóa hơn trong môi trường axit của khoang miệng. Mặc dù vậy, độ bền đẹp của răng sứ lõi Titan cũng phụ thuộc nhiều vào thói quen chăm sóc răng miệng của từng người có đảm bảo đúng chuẩn hay không.
Nếu bạn đang có nhu cầu làm răng sứ và quan tâm tới sản phẩm răng sứ Titan thì hãy liên hệ theo số điện thoại 1900 56 5678 hoặc tới trực tiếp Nha khoa Nhân Tâm để được thăm khám và tư vấn miễn phí bởi các chuyên gia hàng đầu nhé.



