Việc chăm sóc răng miệng luôn phải được ưu tiên hàng đầu. Nếu không vệ sinh răng miệng tốt và kiểm tra răng miệng với chuyên gia nha khoa thì nguy cơ mắc các bệnh lý răng miệng sẽ rất cao.
Cạo vôi răng định kỳ là bước hoàn thiện trong công việc chăm sóc răng miệng. Dưới đây là những lý do tại sao phải cạo vôi răng và lợi ích khi cạo vôi răng.
Tại sao phải cạo vôi răng? Ảnh hưởng của vôi răng
Lý do tại sao phải cạo vôi răng là vì vôi răng ảnh hưởng nghiêm trọng đến sức khỏe răng miệng của chúng ta. Vậy vôi răng hình thành như thế nào?
Trong khoang miệng tồn tại nhiều loại vi khuẩn khác nhau. Khi vi khuẩn tích tụ trên răng quá lâu, chúng sẽ phân hủy thức ăn và tạo ra mảng bám.
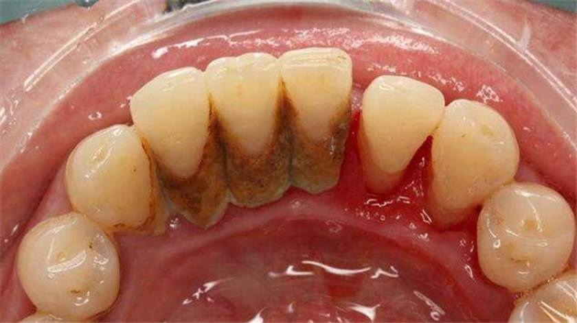
Nếu không được làm sạch hàng ngày, mảng bám sẽ bị vôi hóa theo thời gian bởi các thành phần khoáng hóa có trong nước bọt, tạo thành một lớp cứng có màu vàng hoặc nâu, bám chặt trên bề mặt răng, kẽ răng và sâu dưới nướu, gọi là vôi răng.

Vôi răng hình thành tạo điều kiện cho vi khuẩn tấn công răng
Vôi răng hình thành tạo điều kiện cho vi khuẩn sinh sôi và phát triển, chúng sẽ tấn công răng miệng, gây ra nhiều bệnh lý răng miệng như viêm nướu, viêm nha chu, sâu răng, viêm tủy răng, áp-xe răng.
Vi khuẩn còn có thể xâm nhập vào cơ thể theo đường máu khi viêm nhiễm vùng răng miệng tăng cao, gây nhiễm trùng máu và các biến chứng nguy hiểm khác, thậm chí đe dọa tính mạng.
Tại sao phải cạo vôi răng? Lợi ích của cạo vôi răng
Tại sao phải cạo vôi răng? Vì cạo vôi răng mang lại nhiều lợi ích cho sức khỏe răng miệng và sức khỏe toàn thân của chúng ta.
Nếu như mảng bám thức ăn thừa có thể làm sạch thông qua việc vệ sinh răng miệng hằng ngày thì vôi răng lại có độ cứng chắc cao, độ bám chặt nên không thể loại bỏ bằng bàn chải mà cần đến dụng cụ chuyên dụng và nha sĩ.

Cạo vôi răng định kỳ là cách chăm sóc răng miệng hiệu quả
Trong quá trình cạo vôi răng chuyên nghiệp, vôi răng sẽ được loại bỏ, vi khuẩn bị tiêu diệt và khoang miệng được vệ sinh chuyên sâu hơn. Nhờ đó, răng sẽ trở nên trắng sáng, hơn thở thơm tho, mang lại thẩm mỹ và sự tự tin khi giao tiếp.
Đồng thời, cạo vôi răng tiêu diệt vi khuẩn giúp phòng ngừa hiệu quả các bệnh lý răng miệng, phòng tránh nguy cơ mất răng sớm, bảo tồn răng, nướu và xương ổ răng, tránh được những biến chứng nguy hiểm do bệnh về răng gây ra.
Bên cạnh đó, việc làm sạch chuyên sâu còn giúp hạn chế các bệnh về tai mũi họng như viêm họng, viêm Amidan, viêm tai giữa, viêm mũi, các bệnh về đường tiêu hóa…
Vôi răng có ngăn ngừa được không?
Phần trên chúng tôi đã nêu ra những lợi ích và lý do tại sao phải cạo vôi răng. Vậy vôi răng có ngăn ngừa được không? Vôi răng hoàn toàn có thể ngăn ngừa được nếu chúng ta có cách chăm sóc răng miệng hiệu quả mỗi ngày.

Cạo vôi răng bằng sóng siêu âm nhẹ nhàng, không đau tại Nha khoa Nhân Tâm
Xem thêm: Cạo vôi răng nên hay không, có ảnh hưởng gì không?
Chúng ta có thể ngăn ngừa sự tích tụ mảng bám và giữ cho nó không cứng lại thành vôi răng bằng cách thực hiện vệ sinh răng miệng tốt tại nhà và thăm khám nha khoa định kỳ. Bác sĩ sẽ chỉ cho bạn cách đánh răng và dùng chỉ nha khoa đúng cách.
Cần đánh răng hai lần một ngày bằng bàn chải đánh răng có lông mềm, không quá lớn so với miệng của bạn. Sử dụng kem đánh răng có chứa lượng Fluoride phù hợp, dùng chỉ nha khoa để lấy đi thức ăn thừa sau mỗi bữa ăn. Sát khuẩn miệng bằng nước muối hoặc dung dịch súc miệng.
Tránh thức ăn dai cứng, nhiều đường, dễ bám dính. Hạn chế ăn vặt giữa các bữa ăn. Tăng cường dinh dưỡng cân bằng và bổ sung các thực phẩm tốt cho răng như sữa, sữa chua, phô mai, cá, trứng, hải sản, rau xanh…
Không hút thuốc vì thuốc lá có chứa các thành phần gây hại cho răng miệng và cơ thể. Hạn chế nước ngọt có ga, đồ uống có cồn vì chúng có thể bào mòn men răng.

Hàm răng chắc khỏe và thẩm mỹ sau khi cạo vôi răng
Hiểu được vôi răng hình thành như thế nào và tác hại của vôi răng sẽ giúp chúng ra biết được tại sao cần phải cạo vôi răng định kỳ. Đừng quên tìm cho mình một nha khoa tốt ở Sài Gòn để cạo vôi răng cũng như chăm sóc răng miệng tốt nhất nhé!





