Trong quá trình ăn nhai, thức ăn thừa có thể bị mắc trên răng và trong kẽ nướu. Nếu không được làm sạch, chúng sẽ tích tụ thành mảng bám trên răng.
Mảng bám sẽ bị vôi hóa và đông cứng lại thành vôi răng dưới tác động của các thành phần khoáng hóa có trong nước bọt. Lý do tại sao phải cạo vôi răng chính là bảo vệ răng chắc khỏe, thẩm mỹ, phòng ngừa các bệnh lý về răng miệng.
Tại sao phải cạo vôi răng?
Vôi răng bám trên bề mặt răng và trong đường viền nướu sẽ tạo điều kiện cho vi khuẩn sinh sôi và tấn công răng miệng. Theo thời gian, lượng vi khuẩn gia tăng, răng sẽ dần mất đi lớp bảo vệ và dễ bị các bệnh lý như sâu răng, viêm nướu, viêm nha chu, mất răng, hôi miệng.

Vôi răng gây mất thẩm mỹ và gây hại cho sức khỏe răng miệng
Tại sao phải cạo vôi răng? Vì cạo vôi răng là biện pháp duy nhất để loại sạch vôi răng và tiêu diệt vi khuẩn. Cạo vôi răng chuyên nghiệp tại nha khoa mang lại những lợi ích thiết thực như:
- Loại bỏ vôi răng, phá hủy môi trường sống của vi khuẩn, từ đó phòng ngừa hiệu quả các bệnh răng miệng, đặc biệt là sâu răng và các bệnh về nướu răng.
- Vôi răng có màu vàng hoặc nâu sẽ khiến răng bị xỉn màu kém thẩm mỹ. Làm sạch vôi răng sẽ giúp răng trở nên trắng sáng cho nụ cười thêm tự tin.
- Vi khuẩn tích tụ trong khoang miệng gây ra mùi hôi khó chịu. Cạo vôi răng đồng thời tiêu diệt vi khuẩn sẽ giúp cho khoang miệng được vệ sinh sâu, mang lại hơi thở thơm mát.
- Cạo vôi răng định kỳ sẽ giúp giảm khả năng phải điều trị tủy răng tốn kém hoặc các điều trị phục hồi khác như bọc sứ, trồng răng Implant…
Quy trình cạo vôi răng bằng sóng siêu âm
Trên đây chúng tôi đã giải thích cho bạn những lý do tại sao phải cạo vôi răng, vậy quy trình cạo vôi răng sẽ gồm những bước nào và mất bao lâu thời gian?
Công nghệ cạo vôi răng hiện đại nhất hiện nay đó chính là cạo vôi răng bằng sóng siêu âm.
Máy cạo vôi răng siêu âm hoạt động với cơ chế rung siêu âm sắt từ với các bước sóng siêu âm có tần suất an toàn 25Kz cùng với công suất tối ưu nhất từ 10W – 30W, dễ dàng đi sâu vào kẽ răng hoặc dưới viền nướu, loại bỏ vôi răng bám cứng và lâu ngày.

Cạo vôi răng bằng sóng siêu âm giúp loại bỏ vôi răng nhanh chóng, hiệu quả và an toàn
Đồng thời, cơ chế rung siêu âm giúp Khách hàng cảm giác êm ái, nhẹ nhàng, thoải mái và không đau khi lấy vôi răng. Cạo vôi răng siêu âm chỉ tác động đến vôi răng, không xâm lấn đến cấu trúc răng và các mô xung quanh, nên không gây ê buốt răng hay bất kỳ biến chứng nào.
Quy trình cạo vôi răng siêu âm được thực hiện như sau:
- Bước 1: Thăm khám sức khỏe răng miệng và kiểm tra mức độ vôi răng, tư vấn cho Khách hàng tình trạng, quy trình điều trị và chi phí thực hiện cạo vôi răng.
- Bước 2: Hướng dẫn Khách hàng vệ sinh răng miệng và súc miệng với dung dịch sát khuẩn nhằm đảm bảo vô khuẩn trong quá trình thực hiện.
- Bước 3: Thực hiện cạo vôi răng bằng công nghệ siêu âm.
- Bước 4: Đánh bóng răng để tăng hiệu quả cạo vô răng và nâng cao thẩm mỹ cho răng.
- Bước 5: Hướng dẫn chăm sóc và vệ sinh răng đúng cách nhằm ngăn ngừa tối đa mảng bám và vôi răng.

Cạo vôi răng bằng sóng siêu âm tại Nha khoa Nhân Tâm
Những lưu ý sau khi cạo vôi răng
Dưới đây là những lưu ý cần thực hiện sau khi cạo vôi răng:
- Bạn có thể ăn uống cách 1-2h sau khi cạo vôi răng
- Hạn chế các thực phẩm dai cứng, dễ bám dính, thực phẩm giàu đường hay axit, thực phẩm quá nóng hoặc quá lạnh.
- Đánh răng nhẹ nhàng bằng bàn chải lông mềm, dùng chỉ nha khoa sau mỗi bữa ăn để lấy thức ăn thừa, dùng kem đánh răng có chứa lượng Fluor phù hợp.
- Sử dụng nước muối hoặc các loại dung dịch súc miệng để kháng khuẩn.
- Thăm khám nha khoa và cạo vôi răng định kỳ 6 tháng/ lần để giúp bảo vệ răng chắc khỏe và thẩm mỹ.

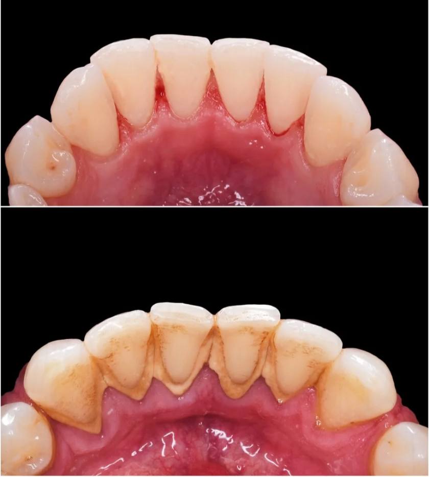
Hình ảnh cạo vôi răng
Sau khi đọc những thông tin trong bài viết thì chắc hẳn bạn đã nắm được “tại sao phải cạo vôi răng?” rồi đúng không nào. Vôi răng tiềm ẩn nhiều rủi ro cho sức khỏe răng miệng, vì vậy đừng ngần ngại đặt ngay lịch hẹn cạo vôi răng cùng với chuyên gia của Nha khoa Nhân Tâm nhé!
*Chụp phim X-Quang hoặc phim 3 chiều CT Cone Beam là một bước quan trọng trong quy trình điều trị phục hồi răng. Vì vậy Khách hàng sẽ được Bác sĩ của nha khoa Nhân Tâm chỉ định đến các cơ sở y tế đủ chức năng để thực hiện trước khi điều trị.



