Trẻ em có nên cạo vôi răng không? Cạo vôi răng là kỹ thuật được thực hiện định kỳ tại các phòng khám nha khoa nhằm loại bỏ vôi răng và mảng bám, tiêu diệt vi khuẩn gây hại cho răng miệng.
Trẻ em vẫn có thể cạo vôi răng định kỳ, tuy nhiên cần lựa chọn địa chỉ uy tín để đảm bảo an toàn cho trẻ.
Sự hình thành của vôi răng
Để nắm được trẻ em có nên cạo vôi răng không, mời ba mẹ cùng tìm hiểu về sự hình thành của vôi răng và những tác hại mà vôi răng gây ra.
Sau khi ăn khoảng 15 phút, trên bề mặt răng của chúng ta sẽ xuất hiện một lớp màng mỏng. Nếu không được làm sạch thì theo thời gian lớp màng này sẽ tích tụ lại và tạo thành mảng bám.
Trong mảng bám chứa tới 70% là vi khuẩn và chúng sẽ tìm cơ hội để phá hủy răng của chúng ta.

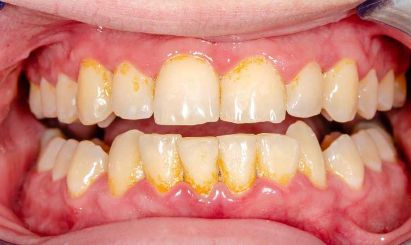
Vôi răng là nguyên nhân hàng đầu gây sâu răng, viêm nướu… ở trẻ
Mảng bám có thể được làm sạch bằng cách vệ sinh răng miệng đúng cách. Tuy nhiên, nếu mảng bám tồn tại một thời gian thì chúng sẽ bị vôi hóa bởi hợp chất muối vô cơ trong nước bọt, tạo thành vôi răng.
Khác với mảng bám, vôi răng có tính cứng và bám chặt trên bề mặt răng, kẽ răng và nướu. Vôi răng là nguyên nhân hàng đầu dẫn tới các bệnh lý răng miệng thường gặp như sâu răng, viêm nướu, viêm nha chu, thậm chí mất răng…
Tuy nhiên, vôi răng không thể bị loại bỏ bởi bàn chải đánh răng mà cần các dụng cụ chuyên nghiệp tại nha khoa. Quá trình này gọi là cạo vôi răng.
Có nên cạo vôi răng trẻ em không?
Trẻ em là đối tượng có tỷ lệ mắc các bệnh lý răng miệng cao nhất do trẻ thường có thói quen thích ăn vặt và tiêu thụ nhiều thực phẩm ngọt như kẹo, bánh, nước có ga… và các tật xấu gây hại cho răng như ngậm thức ăn, bú bình khi ngủ, dùng răng cắn các đồ vật cứng…
Trong khi đó, trẻ em lại chưa có thói quen chăm sóc răng miệng và còn lơ là trong việc đánh răng, đặc biệt là trẻ càng nhỏ thì việc đánh răng càng thiếu kỹ lưỡng. Dẫn đến việc các mảng bám thức ăn thừa không được loại bỏ và hình thành vôi răng ở trẻ em.

Trẻ cần được vệ sinh răng miệng kỹ lưỡng và đúng cách để hạn chế mảng bám, vôi răng
Xem thêm: Bảng giá hàn răng trẻ em mới nhất
Các nha sĩ thường khuyến cáo mọi người cạo vôi răng định kỳ 2 lần/ năm để lấy vôi răng nhằm bảo vệ sức khỏe răng miệng, cho răng chắc khỏe. Vậy đối với trẻ em thì sao? Trẻ em có nên cạo vôi răng không?
Nhiều ba mẹ lo lắng cạo vôi răng sẽ ảnh hưởng không tốt đến răng và các tổ chức quanh răng của trẻ. Vì răng và xương hàm của trẻ vẫn đang trong thời gian mọc và phát triển, cấu trúc răng và xương còn khá mềm, chưa hoàn thiện như người trưởng thành.
Trên thực tế, trẻ em hoàn toàn có thể lấy vôi răng nếu vôi răng hình thành mà không hề có bất kỳ thương tổn nào. Cho nên, phụ huynh không cần phải quá lo lắng.
Tại Nha khoa Nhân Tâm, lấy vôi răng ứng dụng công nghệ sóng siêu âm, sẽ giúp loại bỏ vôi răng một cách dễ dàng mà không gây đau, không chảy máu hay xâm lấn đến cấu trúc răng, nướu, xương hàm.

Khám răng và cạo vôi răng định kỳ giúp răng bé luôn chắc khỏe và trắng sáng
Với công nghệ cạo vôi răng bằng sóng siêu âm, vôi răng sẽ được lấy ra dễ dàng, cho răng trẻ thêm chắc khỏe và thẩm mỹ. Thời gian thực hiện lấy vôi răng trẻ em chỉ khoảng 15-20 phút, không gây bất kỳ khó chịu nào cho trẻ.
Bên cạnh đó, chúng tôi sở hữu đội ngũ Bác sĩ không chỉ có chuyên môn giỏi và giàu kinh nghiệm mà còn rất am hiểu tâm lý trẻ em, có thể trấn an và giúp trẻ vượt qua nỗi sợ khám và điều trị răng miệng, hợp tác tốt với bác sĩ để giúp quá trình thực hiện thuận lợi hơn.
Lợi ích khi cho trẻ em cạo vôi răng
Ba mẹ không cần phải băn khoăn trẻ em có nên cạo vôi răng hay không vì việc cạo vôi răng đã được chứng minh là mang đến nhiều lợi ích tuyệt vời cho trẻ như:
- Làm sạch vôi răng và mảng bám, tiêu diệt vi khuẩn gây hại trú ngụ trong vôi răng.
- Ngăn ngừa hiệu quả các bệnh lý răng miệng như sâu răng, viêm nướu… giúp bảo tồn răng thật và cho hàm răng thêm chắc khỏe, tăng cường hoạt động ăn nhai, từ đó giúp cơ thể trẻ hấp thụ dinh dưỡng tốt hơn, có đủ sức khỏe để học tập, vui chơi.
- Tránh được tình trạng răng bị đổi màu do vôi răng bám, cho hàm răng luôn sạch và sáng bóng, hơi thở thơm tho. Nhờ đó, trẻ có thể tự tin về hàm răng và nụ cười của mình, bồi dưỡng tinh thần khỏe mạnh cho trẻ.
- Cạo vôi răng kết hợp với việc đánh răng và chăm sóc răng miệng đúng cách sẽ giúp khoang miệng của trẻ luôn sạch sẽ, giảm nguy cơ mắc các bệnh lý như loét miệng, viêm Amidan, viêm mũi họng, viêm hô hấp…

Nha khoa Nhân Tâm sở hữu đội ngũ Bác sĩ giỏi và am hiểu tâm lý trẻ em
Như vậy, câu trả lời cho câu hỏi “Trẻ em có nên cạo vôi răng không?” chính là “Có”. Ba mẹ hãy lựa chọn một địa chỉ nha khoa tốt nhất để khám răng và cạo vôi răng định kỳ cho trẻ, giúp hàm răng của bé luôn chắc khỏe nhé!




