Bọc răng sứ đang trở thành xu hướng thẩm mỹ nha khoa nhận được sự chú ý của nhiều người. Thực tế, đây là phương pháp sử dụng răng sứ được chế tạo riêng biệt dựa trên màu răng và kích thước phù hợp nhất với khuôn mặt của bạn. Sau đó phần răng sứ sẽ được lắp trên cùi răng thật đã được mài, qua đó khôi phục vẻ đẹp tự nhiên cho hàm răng.
Những yếu tố ảnh hưởng đến tuổi thọ của răng sứ
Chất liệu mão sứ
Có hai loại răng sứ phổ biến nhất hiện nay là răng sứ kim loại và răng sứ toàn sứ. Trong đó, nếu sử dụng răng sứ nguyên chất sẽ có thời gian sử dụng dài hơn và ít kích ứng hơn so với loại còn lại.
Chất lượng cùi răng thật
Trước khi tiến hành bọc sứ, bác sĩ sẽ mài nhỏ mô răng thật, quá trình này sẽ lấy đi lớp men răng và sau đó được bọc sứ để thay thế.
Nếu mài quá nhiều sẽ dẫn đến tổn thương nướu hoặc tủy và ngược lại, nếu cùi răng thật quá lớn so lớp mão sứ sẽ gây ra tình trạng bọc sứ bị hở, tạo điều kiện cho vi khuẩn xâm nhập.
Tình trạng sức khỏe răng miệng
Răng sứ không chỉ phù hợp với những người có hàm răng nhiều khuyết điểm như: răng sậm màu, răng thưa,… mà còn được chỉ định cho các trường hợp răng sâu đã điều trị tủy. Tuy nhiên, khi nguồn dinh dưỡng duy nhất của răng đã bị lấy đi, răng sẽ dễ bị vỡ và yếu dần theo thời gian, ảnh hưởng đến kết quả bọc răng sứ.
Vị trí răng cần bọc sứ
Vị trí của răng cũng là yếu tố có ảnh hưởng tới tuổi thọ của răng. Thông thường, răng hàm là những những chiếc phải hoạt động nhiều và ma sát thường xuyên để nghiền nhỏ thức ăn nên dễ bị bào mòn hơn so với những vị trí khác.

Răng hàm (răng số 7) là những chiếc răng phải hoạt động nhiều
Tay nghề của bác sĩ thực hiện
Kinh nghiệm và tay nghề của bác sĩ thực hiện sẽ quyết định đến mức độ ê buốt khi mài cùi răng, độ chính xác khi chế tác mão răng sứ và chế độ chăm sóc, bảo hành sau này.
Xem thêm: Làm răng sứ có đau không? Giải pháp ngăn ngừa đau nhức khi làm răng sứ
Cách kéo dài thời gian sử dụng của răng sứ
Bọc răng sứ không phải là phương pháp mang tính vĩnh viễn. Do đó, cách tốt nhất để kéo dài tuổi thọ cho răng sứ là thay đổi thói quen sinh hoạt:
- Chủ động phát hiện và điều trị từ gốc các bệnh lý nha khoa.
- Tránh các loại thực phẩm quá lạnh hoặc quá nóng, nhiều phẩm màu, chất gây xỉn men răng.
- Đánh răng tối thiểu 2 lần/ngày và chải đều các mặt theo chiều ngang.
- Kết hợp với nước súc miệng chuyên dụng hoặc nước muối để làm sạch kẽ răng.
- Tăng cường những thực phẩm tốt cho răng và tăng cường đề kháng cho cơ thể.
- Thay bàn chải mới mỗi 6 tháng/lần, bạn có thể dùng chỉ nha khoa để làm sạch kẽ răng một cách triệt để.
- Thăm khám nha khoa định kỳ.
Khám phá quy trình bọc răng sứ đúng chuẩn

Quy trình bọc răng sứ đúng chuẩn
Bên cạnh những yếu tố trên thì quy trình bọc răng sứ đúng chuẩn cũng là yếu tố quan trọng ảnh hưởng đến độ bền của răng sứ.
Quá trình bọc răng sứ thường đòi hỏi bác sĩ phải mài đi mô răng thật, đồng thời mức giá dịch vụ sẽ được tính dựa trên số lượng răng. Chính vì vậy, bọc răng sứ có bền không, tuổi thọ trung bình bao lâu đã trở thành thắc mắc hiển nhiên trước khi khách hàng quyết định điều trị. Trên thực tế, đây không phải là phương pháp mang đến kết quả vĩnh viễn, mão sứ sẽ bị ảnh hưởng dần theo thời gian. Cụ thể như sau:
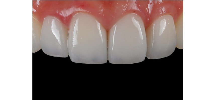
- Đối với răng toàn sứ: Phần mão sứ được chế tác từ 100 % sứ cao cấp với độ bền cao cùng màu sắc tự nhiên như răng thật sẽ có tuổi thọ trung bình từ 10 – 20 năm tùy thuộc vào chế độ chăm sóc của mỗi người.
Răng toàn sứ - Đối với răng sứ kim loại/titan: Đây là những loại răng sứ có khung sườn được làm từ kim loại với phần vỏ ngoài là sứ nên có diện mạo kém tự nhiên và có chi phí rẻ hơn. Theo thời gian, môi trường trong khoang miệng có thể khiến cho khung kim loại bị oxy hóa, tạo nên tình trạng đen viền nướu và tụt dần ra khỏi nướu. Khi đó bạn cần phải thay mới mão sứ. Tuổi thọ trung bình của răng sứ kim loại/titan chỉ kéo dài từ 5 – 6 năm
Bọc răng sứ được cho là giải pháp “cứu tinh” cho những hàm răng có khuyết điểm. Hy vọng bài viết trên đã giúp bạn tận dụng tốt nhất những kiến thức để chăm sóc sức khỏe răng miệng và lựa chọn cho mình phương pháp nha khoa phù hợp nhất.




