Răng bị lung lay có thể là hệ quả của bệnh viêm nha chu, loãng xương, tiêu xương do mất răng lâu năm hoặc do tác động của ngoại lực,… muốn chấm dứt tình trạng này thì bạn cần giải quyết nguyên nhân dẫn đến nó. Vậy tốt nhất bạn nên tới phòng khám nha khoa gần đây có uy tín, chất lượng để thăm khám. Căn cứ vào mức độ lung lay răng và nguyên nhân của bệnh, bác sĩ sẽ tư vấn cho bạn cách xử trí thích hợp.
Lý do khiến răng bị lung lay
Rất nhiều nguyên nhân có thể gây lung lay răng, trong đó các nguyên nhân thường gặp nhất bao gồm:
Viêm nha chu
Viêm nha chu thường gặp phải ở những người có thói quen ăn đồ ăn chứa nhiều đường hoặc axit và vệ sinh răng miệng không đúng cách, không hiệu quả dẫn đến viêm nhiễm.
Nếu không chữa trị sớm, tình trạng nhiễm trùng sẽ kéo theo tụt nướu, khiến răng trở nên lung lay, lỏng lẻo và dễ gãy rụng.
Tiêu xương

Tiêu xương do mất răng răng lâu năm có thể làm lung lay răng còn lại trên cung hàm
Nếu bạn bị mất răng mà không phục hình lại trong một thời gian dài thì xương tại vị trí răng mất sẽ tiêu đi, nướu tụt xuống khiến chân răng bên cạnh lộ ra ngoài dẫn đến lung lay răng.
Tác động mạnh từ ngoại lực
Va đập mạnh hoặc dùng răng để cạy mở đồ vật sẽ gây thương tổn răng và các tổ chức quanh răng. Đặc biệt là dây chằng và ciment, hai bộ phận đảm chức năng cố định chân răng vào nướu. Từ đó làm răng bị lung lay.
Loãng xương
Ở người mắc bệnh loãng xương, các răng trên cung hàm sẽ không được chắc khỏe, chúng khá giòn xốp, dễ bị gãy rụng, lung lay khi có va chạm trong sinh hoạt thường ngày.

Răng bị lung lay có thể xảy ra do bệnh loãng xương
Giải pháp điều trị khi răng bị lung lay
Như đã đề cập ở phần trên, lung lay răng có thể xảy ra do nhiều nguyên nhân. Do đó, muốn chấm dứt tình trạng này thì bạn cần giải quyết nguyên nhân dẫn đến nó. Vậy tốt nhất bạn nên tới phòng khám nha khoa gần đây có uy tín, chất lượng để thăm khám. Căn cứ vào mức độ lung lay răng và nguyên nhân của bệnh, bác sĩ sẽ tư vấn cho bạn cách xử trí thích hợp.
Răng bị lung lay do tác động của ngoại lực
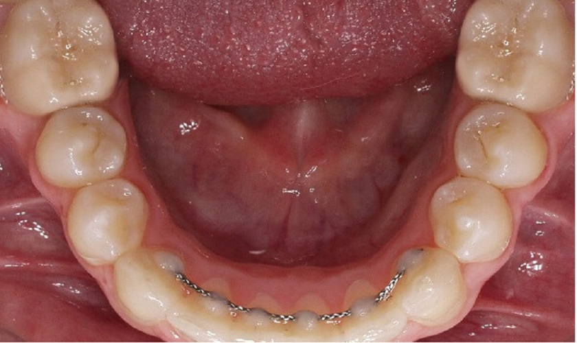
Khi răng không có bệnh lý, vẫn khỏe mạnh và bị lung lay do va đập hoặc các tác động ngoại lực khác, bác sĩ sẽ nẹp cố định răng của bạn bằng dụng cụ chuyên dụng. Sau một thời gian, răng bạn sẽ dần ổn định lại và quay về trạng thái ban đầu.

Nẹp cố định răng trong trường hợp lung lay răng do va đập mạnh
Răng bị lung lay do xương hàm tiêu biến
Trong tình huống này, bác sĩ sẽ sử dụng vật liệu ghép xương nhân tạo hoặc lấy xương từ vị trí khác trên cơ thể để sửa chữa phần xương hư hại.
Lung lay răng do viêm nha chu
Trường hợp này, vi khuẩn trú ngụ trong lớp mảng bám sẽ tấn công và làm tổn hại xương ổ răng, tiêu xương, từ đó răng sẽ bị lỏng lẻo hoặc gãy rụng.
Để khắc phục vấn đề này, bác sĩ sẽ chỉ định bạn cạo vôi răng và làm nhẵn chân răng nhằm tăng sự gắn kết giữa nướu và răng. Khi tình trạng viêm nhiễm nặng hơn, bạn có thể cần phẫu thuật loại bỏ phần nướu viêm nhiễm và mô xương đã hư hỏng.

Cần cạo vôi răng nếu nguyên nhân làm răng bị lung lay là viêm nướu, viêm nha chu do mảng bám tích tụ lâu ngày
Biện pháp ngăn ngừa lung lay răng
Để không phải lo lắng về hậu quả hay tìm cách chữa trị răng bị lung lay, bạn hãy chủ động phòng tránh vấn đề sức khỏe này bằng cách:
- Chải răng đúng cách với lực vừa phải, nhẹ nhàng mỗi ngày ít nhất 2 lần.
- Loại bỏ thức ăn thừa bám trong kẽ răng và chân răng bằng chỉ tơ nha khoa.
- Súc miệng bằng nước muối hoặc nước súc miệng chuyên dụng để tiêu diệt vi khuẩn có hại trong khoang miệng.
- Xây dựng chế độ ăn giàu canxi, bổ sung vitamin C cho cơ thể để giúp răng chắc khỏe hơn.
- Bỏ các tật xấu như nhai cắn đồ vật, nghiến răng,… Nếu có thói quen nghiến răng khi ngủ thì bạn nên sử dụng máng chống nghiến.
- Cạo vôi răng định kỳ mỗi năm 2 lần tại phòng khám nha khoa.

Khám răng định kỳ để kiểm soát, duy trì sức khỏe răng miệng
Nếu bạn đang gặp phải hiện tượng răng bị lung lay mà chưa tìm ra phương án giải quyết thì hãy gọi ngay đến tổng đài 1900 56 5678, các y bác sĩ tại Nha khoa Nhân Tâm luôn sẵn sàng lắng nghe để gửi đến quý khách hàng những tư vấn chính xác và phù hợp nhất.


