Các bước cụ thể trong quy trình niềng răng
Quy trình niềng răng an toàn và hiệu quả cần phải trải qua các bước cụ thể như sau:
Bước 1: Thăm khám và tư vấn
Không phải khiếm khuyết nào của răng cũng có thể sử dụng phương pháp niềng răng để khắc phục. Vì thế, trước khi điều trị, các Bác sĩ sẽ thăm khám tổng quát tình trạng răng miệng của từng bệnh nhân rồi tư vấn cho bệnh nhân rằng có phù hợp với niềng răng hay không, nếu có thì sẽ tiến hành khám chi tiết.
Bệnh nhân sẽ được thăm khám, chụp phim, phân tích chính xác tình trạng lệch lạc của các răng và hàm trên các thiết bị tiên tiến. Sau đó, Bác sĩ sẽ sử dụng phần mềm thiết kế chỉnh nha để lên kế hoạch từng bước thực hiện nhằm giúp người niềng răng hiểu rõ được tình trạng răng hàm của mình, đồng thời biết được quá trình điều trị biến đổi như thế nào, đem lại kết quả ra sao và thời gian kéo dài bao lâu.

Bệnh nhân sẽ được thăm khám, tư vấn cụ thể trước khi tiến hành niềng răng
Bước 2: Lấy mẫu, chụp hình răng
Các Bác sĩ sẽ khảo sát cấu trúc xương hàm cụ thể, sau đó dựa trên kết quả chụp phim để đưa ra cho bệnh nhân lời khuyên nên chọn loại hình niềng răng nào cho phù hợp. Tiếp đó, Bác sĩ sẽ tiến hành lấy mẫu, thu thập các thông tin quan trọng và chọn khí cụ chỉnh hình thích hợp nhất với từng bệnh nhân.
Bước 3: Lên phác đồ điều trị
Sau khi phân tích và đánh giá tình trạng cụ thể, Bác sĩ sẽ đưa ra phác đồ điều trị. Phác đồ này diễn biến như thế nào còn tùy thuộc vào từng độ tuổi. Ở trẻ em, Bác sĩ sẽ chụp phim Panorex, Cephalo, xương bàn tay để dự báo sự phát triển của hệ thống xương sọ. Từ đó xác định thời điểm điều trị chỉnh nha sớm ở trẻ, tránh việc nhổ răng, điều chỉnh xương hàm khi hệ thống xương sọ đã qua giai đoạn phát triển.
Đối với người trưởng thành, Bác sĩ cũng sẽ lên phác đồ điều trị cụ thể và dự kiến lực chỉnh răng trong từng giai đoạn. Kết hợp giữa việc niềng răng và tạo hình thẩm mỹ khuôn mặt để giúp bệnh nhân hài lòng nhất với kết quả sau quá trình thực hiện.
Hiện nay, các phương pháp niềng răng phổ biến gồm có: niềng răng mắc cài kim loại, niềng răng mắc cài sứ, niềng răng mắc cài tự khóa, niềng răng mắc cài mặt lưỡi. Tùy theo tình trạng răng hàm cũng như thời gian, chi phí mà lựa chọn phương pháp thích hợp. Ngoài ra còn có một phương pháp niềng răng mới không sử dụng mắc cài mà sử dụng bộ chỉnh hàm tháo lắp trong suốt Invisalign.
Niềng răng mắc cài và niềng răng Invisalign
Xem thêm: Niềng răng mắc cài sứ giá bao nhiêu hiện nay?
Bước 4: Cạo vôi răng
Cạo vôi răng sẽ giúp làm sạch răng miệng, loại bỏ các chất tồn đọng để tránh nguy cơ gây ra những vấn đề về răng miệng. Bởi trong quá trình niềng răng, việc vệ sinh răng miệng sẽ gặp nhiều khó khăn hơn. Ngoài ra, những trường hợp có tổn thương về răng như: sâu răng, răng vỡ,… sẽ được Bác sĩ chữa trị dứt điểm trước khi gắn niềng.
Bước 5: Gắn mắc cài
Ở bước này, Bác sĩ sẽ trực tiếp gắn thun tách kẽ cho bệnh nhân niềng răng. Thun tách kẽ có tác dụng tạo khe hở giữa răng cần gắn và các răng kế cận. Sau đó, Bác sĩ sẽ bắt đầu gắn mắc cài niềng răng.
Bước 6: Theo dõi, điều trị
Sau khi gắn mắc cài, người niềng răng sẽ được Bác sĩ điều chỉnh một lần để kéo về vị trí mong muốn, đối với trường hợp niềng răng Invisalign thì thay bộ chỉnh hàm. Quá trình theo dõi và điều trị sẽ quyết định trực tiếp đến kết quả cuối cùng của việc niềng răng. Vì thế, để đảm bảo có hàm răng đều đẹp, bạn cần phải tái khám theo đúng lịch hẹn của Bác sĩ.

Niềng răng giúp bạn sở hữu hàm răng đều đẹp
Bước 7: Tháo mắc cài
Như kế hoạch ban đầu, Bác sĩ tiến hành tháo mắc cài. Một số trường hợp phải sử dụng thêm hàm duy trì làm bằng nhựa cứng giữ răng không bị di chuyển, tránh tái phát sau khi niềng răng. Thời gian đeo hàm duy trì còn phụ thuộc vào tình trạng ban đầu của bệnh nhân.
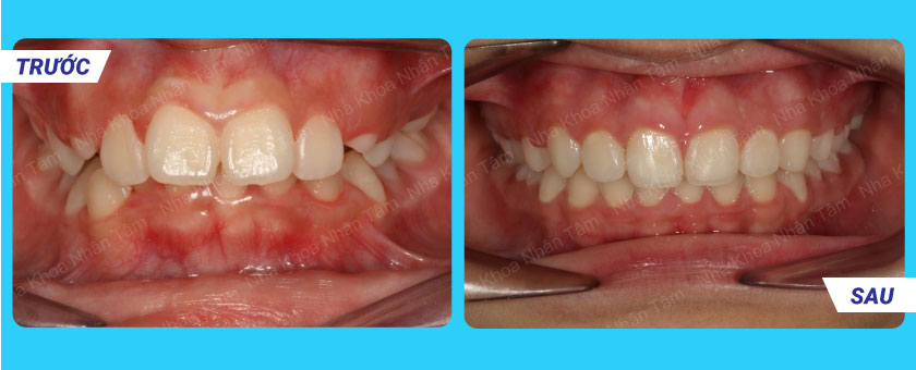
Các giai đoạn tiến triển trong quá trình niềng răng
Quá trình niềng răng cần phải trải qua một thời gian khá dài và sự thay đổi của hàm răng sẽ diễn ra một cách từ từ. Dưới đây là các giai đoạn tiến triển trong thời gian điều trị mà bạn có thể tham khảo:
• Sau 3 tháng đầu: Tùy vào từng trường hợp cụ thể, sau 3 tháng đầu, bạn có thể được nhổ răng hoặc cắt kẽ theo sự tính toán của Nha sĩ. Nếu bạn có răng khểnh thì sẽ thấy ngay sự thay đổi, tuy nhiên, lúc này răng vẫn chưa thể đều nhau.
• Sau 6 tháng: Lúc này, sự thay đổi ở răng sẽ không rõ rệt như thời kì 3 tháng đầu. Bác sĩ sẽ khéo léo trong việc di chuyển răng nanh trong thời gian thích hợp để tránh tình trạng hai răng cửa bị chìa ra trước.


Khách hàng niềng răng tại Nha khoa Nhân Tâm
• Sau 9 tháng: Răng đã bắt đầu đều nhau, cung hàm được mở rộng, tạo nên sự cân xứng, phù hợp khớp cắn giữa hai hàm trên dưới.
• Sau 15 tháng: Các răng đã đi vào vị trí tạo hình theo đúng mong muốn, hàm răng trở nên đều và khớp cắn khá ổn định.
• Sau 18 tháng, kết thúc điều trị: Lúc này, mắc cài sẽ được tháo bỏ và bệnh nhân sẽ được đeo hàm duy trì nhằm giữ đúng vị trí cho răng. Bên cạnh đó, Bác sĩ sẽ đưa ra những lưu ý để bệnh nhân có thể chăm sóc răng niềng đúng cách ngay tại nhà, đồng thời đặt lịch hẹn tái khám định kỳ từ 6 tháng đến 1 năm cho bệnh nhân.
Để đảm bảo quá trình chỉnh nha bằng phương pháp niềng răng đạt hiệu quả cao, bạn nên tìm đến với các địa chỉ nha khoa uy tín, đảm bảo chất lượng. Tại TP.HCM, Nha khoa Nhân Tâm là trung tâm Nha khoa được đông đảo bệnh nhân tin tưởng và lựa chọn để khắc phục những khuyết điểm về răng của mình.

Nha khoa Nhân Tâm - Lấy chữ Tâm làm đầu
Với hơn 20 năm hoạt động, Nha khoa Nhân Tâm đã điều trị thành công cho rất nhiều ca niềng răng, mang lại nụ cười đẹp cùng sự tự tin cho mọi người. Nếu còn bất kỳ thắc mắc về niềng răng cũng như các vấn đề về nha khoa khác, hãy liên hệ ngay đến số Hotline: 1900 56 5678 để được các chuyên gia tư vấn chi tiết và hoàn toàn miễn phí.




