Răng sứ là loại răng giả được sản xuất từ chất liệu sứ và có tạo giống như răng thật. Răng sứ được sử dụng để phục hình cho răng đã mất hoặc cải thiện răng xấu, răng mắc bệnh lý.
Bọc răng sứ là phương pháp thẩm mỹ khắc phục các nhược điểm của răng như: răng xỉn màu, răng thưa, răng hở kẽ,…Ưu điểm của phương pháp này là các bước bọc sứ được thực hiện nhanh chóng và tiết kiệm.
Răng thật sẽ được mài gọn và bọc bên ngoài bởi răng sứ. Qua đó khách hàng sẽ sở hữu hàm răng trắng sáng, đều đẹp và thu hút.
Trường hợp nào cần tiến hành bọc răng sứ thẩm mỹ?
Răng bị nhiễm màu nặng, bong tróc:
Nguyên nhân gây ra tình trạng này rất đa dạng. Có thể là do ăn uống, sử dụng chất kích thích hoặc uống thuốc kháng sinh.
Tình trạng răng bị xỉn màu tuy không gây ảnh hưởng đến sức khoẻ nhưng lại khiến chúng ta mất tự tin, khiến nụ cười trở nên kém hấp dẫn. Việc bọc răng sứ sẽ giúp cải thiện màu sắc răng, giúp hàm răng trở nên sáng bóng.
Răng nứt vỡ hoặc bị gãy một phần răng:
Răng bị sứt mẻ, gãy một phần răng sẽ yếu đi và nếu là răng cửa thì sẽ gây ảnh hưởng đến thẩm mỹ. Bọc răng sứ chính là giải pháp tốt nhất cho trường hợp này.
Với chỉ số độ cứng lên đến hơn 900Mpa, răng của bạn sẽ được phục hồi chức năng ăn nhai và thẩm mỹ mà không cần phải nhổ răng.
Răng xấu:
Răng quá to, răng thưa hoặc răng quá nhỏ,… có thể khiến chúng ta cảm thấy kém tự tin. Bọc răng sứ sẽ giúp cải thiện thẩm mỹ răng, giúp răng có được kích thước chuẩn và tạo hình như mong muốn của chúng ta.

Răng cửa to
Răng mọc lệch:
Thực tế, phương pháp phục hình răng mọc lệch tốt nhất hiện nay là niềng răng thẩm mỹ. Tuy nhiên, nếu tình trạng răng của bạn bị lệch lạc nhẹ thì hoàn toàn có thể chọn bọc răng sứ để cải thiện thẩm mỹ một cách nhanh chóng.
Quy trình làm răng sứ là như thế nào?
Thăm khám, chụp X-quang và kiểm tra răng miệng tổng quát
Bước đầu tiên của quy trình làm răng sứ là thăm khám tổng quát. Bước này rất quan trọng, bác sĩ sẽ tiến hành kiểm tra tổng quát tình trạng răng miệng của khách hàng. Nếu phát hiện bệnh lý liên quan đến răng miệng thì sẽ tiến hành điều trị trước.
Lên phác đồ điều trị tư vấn cho khách hàng
Dựa trên kết quả thăm khám và chụp X-quang, bác sĩ sẽ lên phác đồ điều trị và tư vấn cho khách hàng nắm được quy trình làm răng sứ. Lúc này, khách hàng có thể hỏi bác sĩ bọc sứ mất bao lâu, bác sĩ sẽ giải đáp thắc mắc về quy trình một cách cụ thể.
Vệ sinh răng miệng và gây tê
Khách hàng được vệ sinh răng miệng sạch sẽ để đảm bảo quá trình không xảy ra tình trạng nhiễm trùng. Sau đó, bác sĩ sẽ gây tê vùng răng được bọc sứ để khách hàng không cảm thấy đau nhức trong quá trình bọc răng.
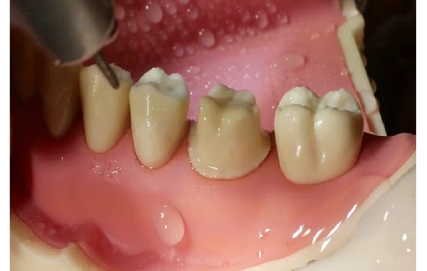
Mài cùi răng, lấy dấu
Tiến hành mài gọn cùi răng và lấy dấu để chuyển về phòng chế tác răng sứ.

Mài cùi răng
Gắn răng tạm
Khách hàng sẽ được gắn răng tạm trong thời gian chờ răng sứ chế tác xong.
Gắn răng sứ
Sau khi quá trình chế tác răng sứ được hoàn thành, bác sĩ sẽ kiểm tra chất lượng răng và thực hiện gắn răng sứ.
Xem thêm: Muốn lắp răng sứ an toàn, bền đẹp bạn không nên bỏ qua điều này
Hướng dẫn chăm sóc răng miệng
Kết thúc quy trình làm răng sứ thẩm mỹ chuẩn, khách hàng sẽ được hướng dẫn chăm sóc răng miệng đúng cách và hẹn lịch tái khám. Bạn có thể liên hệ Nha khoa Nhân Tâm để tìm hiểu thêm nhiều vấn đề khác.
Bài viết trên của nha khoa Nhân Tâm - phòng khám nha khoa Quận 10 uy tín đã chia sẻ cùng bạn kiến thức về quy trình làm răng sứ chuẩn như thế nào, nếu còn bất kỳ thắc mắc nào về chủ đề này, bạn hãy liên hệ ngay với chúng tôi để được giải đáp nhé!




