Niềng răng là phương pháp sắp xếp lại vị trí của răng và điều chỉnh tổng thể răng về phương, thế và chiều bằng lực kéo được tạo ra từ các khí cụ chỉnh nha bao gồm mắc cài, dây cung, dây thun, khay niềng hoặc hàm tháo lắp giúp hàm răng đều đẹp và chuẩn khớp cắn hơn.
Niềng răng là gì?
Niềng răng là phương pháp chỉnh nha sử dụng các khí cụ nha khoa chuyên dụng giúp dịch chuyển răng về đúng vị trí trên cung hàm. Phương pháp này ngày càng phổ biến vì có thể đem đến cho bạn một hàm răng đều đặn cùng khuôn hàm cân đối.
Niềng răng để làm gì? Trường hợp nào nên niềng răng?
Niềng răng giúp khắc phục những khuyết điểm của răng và mang lại nhiều lợi ích cho sức khỏe răng miệng của bạn. Trong một số trường hợp sau thì bạn nên chỉnh nha để có được hàm răng chắc khỏe và sinh đẹp hơn:
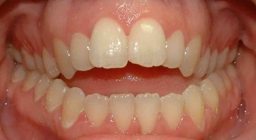
Răng hô (răng vẩu)
Đây là tình trạng răng ở hàm trên chìa ra nhưng răng ở hàm dưới lại thụt vào trong gây cảm giác trán bị lệch, mũi gãy, mất thẩm mỹ. Răng hô là một bệnh lý liên quan đến khớp cắn, gây ảnh hưởng đến khả năng nhai, khó khăn khi phát âm. Nếu không điều điều trị niềng răng hô sớm, răng hô sẽ có xu hướng nặng hơn, nhất là khi bạn già đi hoặc gầy hơn.
Răng móm
Ngược với răng hô, răng móm là tình trạng răng hàm trên thụt vào trong và răng hàm dưới nhô ra. Tình trạng khớp cắn ngược này gây mất thẩm mỹ và khó khăn trong việc ăn uống, nói chuyện, ngoài ra còn làm giảm tuổi thọ của răng. Đặc biệt, nếu không điều trị nhóm răng cửa hàm trên sớm sẽ có nguy cơ bị hỏng, rụng sớm.
Răng thưa
Đặc điểm nhận dạng của răng thưa là có kẽ hở giữa các răng cửa. Vì vậy, khi ăn uống, thức ăn hay bị giắt kẽ và khó vệ sinh, răng yếu và cười không duyên. Các khe hở trên răng cũng gây ảnh hưởng đến việc phát âm, nhất là khi nói ngoại ngữ.

Răng thưa
Răng lệch lạc
Tình trạng này gây mất thẩm mỹ vì răng mọc thụt vào, chìa ra, chồng lên nhau,… Răng mọc lệch lạc khiến thức ăn hay giắt vào kẽ răng gây khó chăm sóc nên thường bị sâu răng, răng ố vàng,…
Xem thêm: Nên niềng răng ở đâu để đảm bảo chất lượng?
Răng cắn sâu
Đặc điểm của trường hợp này là hàm trên che phủ lên hàm phía dưới khiến cằm bạn ngắn đi, gương mặt bị mất cân đối. Khớp cắn sâu gây ảnh hưởng đến sức khỏe, bạn thường cảm thấy mỏi nhức khớp thái dương hàm và khớp nhai.
Răng cắn hở
Đặc điểm nhận dạng của trường hợp này là hai hàm răng không thể cắn được vào nhau. Răng cắn hở gây khó khăn trong quá trình nhai thức ăn, ảnh hưởng đến phát âm và gây nhiều hậu quả khác,…

Khớp cắn bị hở
Niềng răng có những tác dụng gì?
Đây là câu hỏi mà nhiều người quan tâm khi tìm hiểu về vấn đề chỉnh nha thẩm mỹ. Sau đây là một số tác dụng của niềng răng mà bạn nên biết:
Khắc phục những khuyết điểm ở răng
Đây chắc chắn là công dụng mà đa phần mọi người sẽ nghĩ đến khi lựa chọn niềng răng. Niềng răng sẽ khắc phục các trường hợp răng bị hô, móm, răng thưa, răng mọc lệch lạc,… từ nhẹ đến nặng. Khi kết thúc quá trình niềng, bạn sẽ sở hữu một hàm răng chắc khỏe, đều đẹp và cải thiện được tính thẩm mỹ cùng khuôn mặt hài hòa.
Tăng cường sức khoẻ cho hệ tiêu hoá
Với các trường hợp răng bị sai khớp cắn, bạn sẽ gặp nhiều khó khăn trong quá trình ăn uống. Vậy nên sau khi niềng, hàm răng đều và đúng khớp cắn sẽ giúp chức năng nhai được khôi phục, thức ăn được nghiền nhỏ hơn. Từ đó giúp bạn có được sức khỏe tiêu hóa tốt hơn.

Niềng răng giúp quá trình tiêu hoá của bạn trở nên tốt hơn
Không cần phải trồng răng giả
Niềng răng giúp đóng các khoảng trống của những răng đã bị mất (với trường hợp bị mất răng ít và khoảng trống nơi mất răng không quá lớn), giúp bạn không cần phải trồng răng giả. Trên thực tế, sau khi niềng răng, khả năng ăn nhai sẽ tốt hơn là khi chúng ta trồng răng giả.
Vệ sinh răng miệng dễ dàng hơn
Răng mọc xô lệch ra vào, không đồng đều,… khiến thức ăn và các mảng bám dư thừa bám vào kẽ răng. Nếu việc vệ sinh răng miệng không được thực hiện kỹ thì bạn sẽ dễ bị các bệnh lý như sâu răng, viêm nướu,… Niềng răng sẽ giúp khắc phục tình trạng răng mọc xô lệch, không đều, từ đó giúp bạn giải quyết được vấn đề vệ sinh răng miệng.
Khắc phục các nhược điểm về phát âm
Môi, răng và lưỡi có ảnh hưởng trực tiếp đến quá trình phát âm. Vì vậy, khi răng mọc lệch lạc, không đều sẽ khiến bạn gặp khó khăn trong việc phát âm. Một hàm răng đều sẽ giúp bạn phát âm chuẩn, tròn vành, rõ chữ. Và niềng răng là giải pháp giúp khắc phục những khó khăn khi phát âm có liên quan răng.

Niềng răng giúp việc phát âm được chuẩn, rõ chữ
Mang lại tự tin khi giao tiếp
Niềng răng mang đến cho bạn một nụ cười tỏa sáng, tạm biệt hàm răng xấu. Có nhiều khách hàng đã rất bất ngờ với kết quả đạt được sau khi niềng. Bạn sẽ nhận được sự thay đổi tích cực về hàm răng, khuôn mặt trở nên xinh đẹp hơn và tự tin hơn trong công việc, cuộc sống.
Trên đây là những chia sẻ của nha khoa Nhân Tâm - địa chỉ nha khoa uy tín về niềng răng là gì và những lợi ích của niềng răng. Nếu bạn còn do dự chưa biết niềng răng để làm gì hay có nên niềng răng không thì bài viết trên đã giúp bạn tìm ra câu trả lời. Nếu bạn còn thắc mắc gì khác, hãy liên hệ ngay cho chúng tôi để được giải đáp thêm nhé!



