Niềng răng Invisalign giá bao nhiêu đang là một trong những câu hỏi được nhiều khách hàng quan tâm hiện nay bởi đây là phương pháp mang lại nhiều ưu điểm vượt trội về mặt thẩm mỹ, đang ngày càng được nhiều khách hàng lựa chọn.
Tuy nhiên, chi phí niềng răng không cố định và phụ thuộc vào nhiều yếu tố khác nhau, khách hàng nên lựa chọn cho mình một phòng khám nha khoa uy tín để được tư vấn chính xác.
Với phương châm lấy chữ "Tâm" hàng đầu, nha khoa Nhân Tâm luôn chú trọng tới đặt lợi ích của khách hàng lên hàng đầu. Từng điều trị thành công hàng ngàn ca chỉnh nha thẩm mỹ, Nhân Tâm đã mang lại sự hài lòng cho rất nhiều khách hàng.
Niềng răng Invisalign giá bao nhiêu hiện nay?
Niềng răng Invisalign giá bao nhiêu là một trong những câu hỏi được khách hàng chỉnh nha thẩm mỹ quan tâm hiện nay. Với rất nhiều những ưu điểm nổi trội mà phương pháp chỉnh nha này mang lại, chi phí niềng răng Invisalign trung bình sẽ cao hơn so với các phương pháp niềng răng khác.
Tuy nhiên chi phí này không cố định mà phụ thuộc vào nhiều yếu tố khác nhau. Khách hàng nên lựa chọn cho mình những cơ sở nha khoa uy tín để được tư vấn chính xác nhất về giá của dịch vụ này.

Niềng răng Invisalign mang lại thẩm mỹ cao
Yếu tố quyết định tới niềng răng Invisalign giá bao nhiêu
Dưới đây là một số yếu tố quyết định tới chi phí niềng răng Invisalign:
- Tình trạng răng miệng của khách hàng: Đối với những khách hàng có tình trạng răng lệch lạc, khấp khểnh nhiều, việc niềng răng sẽ phức tạp hơn nên chi phí cũng sẽ cao hơn.
- Thời gian niềng răng: Thông thường, với trường hợp răng lệch lạc nhiều, răng phức tạp cần nhiều thời gian hơn để răng dịch chuyển về đúng vị trí trên cung hàm, do đó chi phí cho toàn bộ quá trình cũng sẽ cao hơn.
- Hàm cần niềng: Thực tế, có những trường hợp khách hàng không cần niềng cả hai hàm răng nếu chỉ có một hàm có răng lệch lạc cần chỉnh nha. Do đó chỉ cần sử dụng máng ở một hàm, nên chi phí cũng sẽ thấp hơn.
- Chất lượng máng được sử dụng: Hiện nay có rất nhiều loại máng được thiết kế khác nhau phù hợp với nhu cầu của mỗi khách hàng. Đối với những loại máng chất lượng cao chi phí cũng sẽ cao hơn.
- Trình độ của bác sĩ điều trị: Tuy niềng răng là một phương pháp điều trị ít xâm lấn trong miệng. Tuy nhiên, đây là một kỹ thuật chuyên sâu, đòi hỏi các bác sĩ phải có trình độ cao, nhiều kinh nghiệm lâm sàng. Đối với những bác sĩ trình độ chuyên môn cao sẽ mang lại hiệu quả điều trị cao, do đó chi phí cũng sẽ cao hơn.
- Trang thiết bị, công nghệ được sử dụng: Hiện nay, cùng với sự phát triển của khoa học công nghệ, ngành nha khoa hiện đại cũng theo đó mà phát triển, đặc biệt trong niềng răng, việc sử dụng phần mềm phân tích dữ liệu và dự đoán kết quả điều trị trên máy tính đang được áp dụng. Tuy nhiên, chi phí cũng sẽ tương xứng với những hiệu quả mà chúng mang lại.

Chuyên gia chỉnh nha tư vấn cho khách hàng tại nha khoa Nhân Tâm
Tóm lại, niềng răng Invisalign giá bao nhiêu phụ thuộc vào rất nhiều yếu tố.Tuỳ vào từng trường hợp khách hàng khác nhau sẽ có chi phí niềng răng là khác nhau.
Xem thêm: Quá trình niềng răng bao lâu thì hoàn thiện?
Cơ sở niềng răng uy tín
Có rất nhiều phòng khám nha khoa hiện nay áp dụng phương pháp niềng răng cho khách hàng. Tuy nhiên, không phải phòng khám nào cũng có thể mang lại hiệu quả điều trị như mong muốn, cũng không phải phòng khám nào cũng tư vấn chính xác cho khách hàng về chi phí niềng răng.
Nha khoa Nhân Tâm nhiều năm nay được xếp trong TOP những phòng khám nha khoa uy tín chất lượng trong cả nước bởi:
- Đội ngũ bác sĩ có trình độ chuyên môn cao, trên 25 năm kinh nghiệm: Đến đây, khách hàng sẽ được các chuyên gia hàng đầu trong lĩnh vực chỉnh nha trực tiếp khám, tư vấn và điều trị.
- Công nghệ cao, trang thiết bị hiện đại: Khi niềng răng tại nha khoa Nhân Tâm khách hàng sẽ được trải nghiệm công nghệ chụp phim Cephalometric trước điều trị tại phòng khám, phân tích và dự đoán kết quả dựa trên máy tính,… đem đến cho khách hàng sự tin tưởng và an tâm khi điều trị.
- Hỗ trợ chi phí niềng răng trả góp 0% lãi suất. Khách hàng khi tới đây, hoàn toàn không cần lo lắng về chi phí niềng răng.

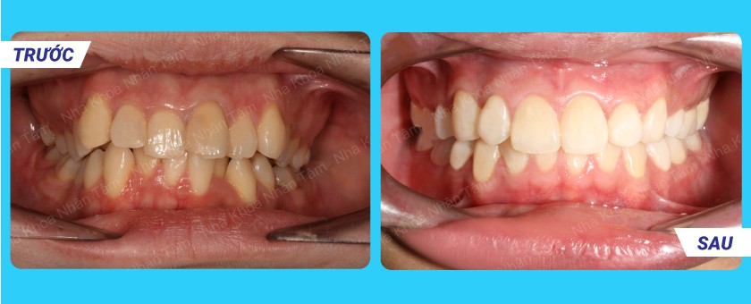
Hình ảnh khách hàng sau khi niềng răng tại nha khoa Nhân Tâm
Trên đây là một số thông tin cơ bản về niềng răng Invisalign giá bao nhiêu hiện nay. Hi vọng qua bài viết này khách hàng có thể có một cái nhìn tổng quát về chi phí cho dịch vụ này.
Nếu còn bất kỳ thắc mắc nào cần giải đáp, hãy gọi điện tới nha khoa Nhân Tâm - Nha khoa tốt ở Sài Gòn theo Hotline: 1900 56 5678 để được tư vấn miễn phí.



