Nếu răng mọc lệch lạc, khấp khểnh mà không được điều trị sớm sẽ ảnh hưởng rất nhiều đến sức khỏe răng miệng cũng như sức khỏe toàn thân.
Niềng răng sẽ giúp các bệnh nhân răng mọc lệch lạc sẽ có một hàm răng thẳng đều, khuôn mặt cân đối và nụ cười đẹp hơn. Bằng các khí cụ niềng răng, dùng lực tác động lên răng theo từng giai đoạn cụ thể sẽ di chuyển các răng lệch lạc về đúng vị trí mong muốn.
Nguyên nhân và tác động của răng mọc lệch lạc
Có nhiều nguyên nhân như di truyền, do sự mất cân xứng về kích thước giữa răng và hàm, các bệnh khiếm khuyết do sứt môi hở hàm ếch, do thói quen xấu như mút ngón tay, cắn môi, mút môi, trẻ bú bằng núm vú cao su trong thời gian dài, trẻ bị sâu răng sữa nhưng không điều trị dẫn đến tình trạng răng mọc lệch, khấp khểnh.
Tình trạng răng mọc lệch lạc cũng có thể do yếu tố cung răng quá hẹp, xương hàm kém phát triển hoặc phát triển quá mức đều có thể dẫn đến các răng mọc thường bị chen chúc mà không đều khít, gây mất thẩm mỹ và chức năng ăn nhai.

Răng mọc lệch gây mất thẩm mỹ và ảnh hưởng đến chức năng ăn nhai
Răng mọc lệch lạc ở mức độ nhẹ có thể được điều chỉnh bằng cách làm răng sứ chỉnh hình răng. Tuy nhiên những trường hợp nặng hơn cần phải có phương pháp niềng răng đúng đắn để hồi phục lại khớp cắn bình thường.
Răng lệch lạc, mọc sai vị trí thực sự gây nên những ảnh hưởng tiêu cực. TS.BS Võ Văn Nhân - GĐ Nha khoa Nhân Tâm cho biết: những răng mọc sai vị trí hoặc lệch lạc sẽ khiến bệnh nhân khó giữ gìn vệ sinh răng miệng, gây nên bệnh nha chu và các bệnh lý về răng miệng khác. Vị trí không đều, lệch lạc giữa các răng có thể làm thay đổi cường độ và chiều hướng của lực nhai tác động lên răng và làm răng lung lay. Niềng răng lệch lạc giúp cho hàm răng của bạn chắc khỏe, tránh được các bệnh lý nguy hiểm khác về răng.
Điều trị răng lệch lạc
Răng mọc lệch lạc ở mức độ nhẹ có thể được điều chỉnh bằng cách làm răng sứ chỉnh hình răng. Tuy nhiên những trường hợp nặng hơn cần phải có phương pháp niềng răng đúng đắn để hồi phục lại khớp cắn bình thường.


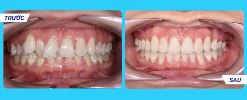
Khách hàng niềng răng tại Nha khoa Nhân Tâm
Niềng răng khấp khểnh là một phương pháp điều trị khá phổ biến và được coi là phương pháp lý tưởng nhất để điều trị răng mọc lệch.
Bác sĩ sẽ sử dụng khí cụ tác động trực tiếp vào chân răng giúp di chuyển răng một cách từ từ, cho đến lúc răng đều khít trên cung hàm thì kết thúc quá trình điều trị. Khoảng thời gian đeo khí cụ niềng răng có thể kéo dài từ 1,5 đến 2,5 năm tùy vào tình trạng cụ thể của từng người.
Xem thêm: Tại sao phải nhổ răng khi niềng răng?
Niềng răng tác động đến chân răng và cố định răng ở vị trí mới nên hiệu quả của nó là vĩnh viễn. Nếu bệnh nhân tuân thủ các lưu ý của Nha sĩ về đeo hàm duy trì thì hoàn toàn không xảy ra hiện tượng răng xô lệch về vị trí cũ.
Ưu điểm vượt trội của giải pháp niềng răng là gì? Đó là không xâm lấn răng, bảo tồn tối đa cấu trúc thật của răng. Kết thúc quá trình niềng răng, bạn có thể ăn nhai bình thường mà không ê buốt như một số phương pháp điều trị khác.

Lấy lại nụ cười như ý sau khi niềng răng
Đừng để hàm răng xấu xí cản trở nụ cười trên môi của bạn. Hãy lựa chọn một địa điểm nha khoa uy tín, để thăm khám và tiến hành niềng răng điều trị răng mọc lệch lạc trước khi quá muộn, gây ra những bệnh lý về răng miệng không đáng có. Đặc biệt hơn, việc điều trị này giúp bạn ăn uống tốt hơn, có một sức khỏe đảm bảo và một cuộc sống tươi đẹp hơn.
*Chụp phim X-Quang hoặc phim 3 chiều CT Cone Beam là một bước quan trọng trong quy trình điều trị phục hồi răng. Vì vậy Khách hàng sẽ được Bác sĩ của nha khoa Nhân Tâm chỉ định đến các cơ sở y tế đủ chức năng để thực hiện trước khi điều trị.



