Một số trường hợp bệnh nhân đã bọc sứ nhưng vẫn muốn niềng răng để đạt hiệu quả thẩm mỹ như mong muốn
Đã bọc sứ rồi thì có thể niềng răng được không?
Bác sĩ Trần Thị Nga – Giám đốc chuyên môn Nha Khoa Nhân Tâm - Nha khoa gần đây quận 10 Sài Gòn cho biết: Răng sau khi bọc sứ vẫn có thể niềng răng.
Tuy nhiên không phải trường hợp nào cũng có thể thực hiện hay mang lại hiệu quả mà còn tùy vào từng trường hợp cụ thể.

Răng đã bọc sứ rồi có niềng được không còn tùy vào từng trường hợp cụ thể
Khi thực hiện niềng răng cho răng đã bọc sứ, mắc cài vẫn sẽ được gắn trực tiếp lên mão sứ giống như răng thật, nhằm tạo lực kéo để di chuyển răng về vị trí mong muốn. Do đó, để đạt hiệu quả thì cần đảm bảo những yếu tố sau:
- Số lượng răng sứ trên cung hàm không được chiếm quá nhiều nhằm tránh tình trạng lực kéo của dây cung dồn hết lên mão răng sứ, từ đó khiến cho việc di chuyển răng gặp nhiều khó khăn, đặc biệt là các răng bọc sứ.
- Chân răng thật khỏe mạnh, cứng chắc, mão sứ sát khít với cùi răng. Bởi niềng răng sẽ tạo lực kéo chân răng di chuyển, nếu mão sứ không khít với cùi răng thật thì sẽ rất khó di chuyển hoặc di chuyển không theo dự tính của bác sĩ, gây bong sút, vỡ răng sứ.
- Răng sứ phải đảm bảo là chất liệu tốt, đạt tiêu chuẩn kỹ thuật và phải bền chắc, có độ chịu lực cao. Vì nếu răng sứ bị sứt mẻ trong quá trình niềng răng sẽ ảnh hưởng trực tiếp đến kết quả cuối cùng.

Chú ý: Những trường hợp bọc răng sứ toàn hàm thì trước đó bác sĩ đã xếp đều răng nên không cần và cũng không thể niềng răng được nữa.
Những lưu ý để niềng răng bọc sứ an toàn
Trước khi tiến hành niềng răng đã bọc sứ, bạn cần lưu ý đến những vấn đề sau để đảm bảo kết quả niềng răng được như mong muốn:

Thực hiện thăm khám kỹ lưỡng
Trước khi thực hiện niềng răng cho răng đã bọc sứ, bạn cần thăm khám kỹ lưỡng, kiểm tra mức độ sai lệch của răng. Lúc này, bác sĩ sẽ kiểm tra xem tình trạng răng của bạn có niềng được không, sau đó tư vấn các loại hình niềng răng phù hợp và lên kế hoạch chỉnh nha cụ thể.

Chú ý trong việc chăm sóc răng miệng
Việc chăm sóc răng niềng đòi hỏi bạn phải kỹ lưỡng hơn lúc chưa niềng. Bạn cần phải vệ sinh mắc cài thường xuyên, sử dụng các loại bàn chải lông mềm cùng kem đánh răng có chứa fluor, đánh lần lượt từ trên xuống dưới, từ trong ra ngoài.
Bên cạnh đó, bạn có thể nhờ đến sự “giúp đỡ” của chỉ nha khoa để dễ dàng làm sạch răng niềng mà không gây tổn thương lợi.

Ăn uống trong khi niềng răng
Trong tuần đầu, bạn chỉ nên sử dụng các loại thực phẩm mềm để tránh làm tổn thương và làm lệch hay đứt niềng răng như: cháo, súp, sữa, các món luộc,… Bạn có thể duy trì chế độ này cho đến khi không còn cảm thấy khó chịu hay đau nhức do niềng răng nữa
Ngoài ra, trong suốt quá trình thực hiện chỉnh nha, bạn cũng cần tránh các loại thực phẩm có độ cứng hoặc cần một lực mạnh để nhai như: đậu phộng, kẹo cứng, bắp rang,… Những thực phẩm này có thể khiến cho dây cung niềng răng bị đứt hoặc làm ảnh hưởng đến lực kéo của dây.
Bên cạnh đó, bạn cũng nên cắt giảm đồ ngọt, các loại thực phẩm có đường, tinh bột vì chúng có thể sinh ra các axit gây sâu răng cũng như các bệnh về lợi.
Hãy lựa chọn trung tâm nha khoa uy tín để tránh niềng răng hỏng, gây mất thẩm mỹ.
NHA KHOA NHÂN TÂM – TRUNG TÂM CHỈNH NHA CHUYÊN SÂU
- Giám đốc chuyên môn - Bác sĩ Trần Thị Nga trực tiếp thăm khám và thực hiện chỉnh nha.
- Hỗ trợ trả góp 0% lãi suất.
- Ứng dụng công nghệ chỉnh nha hiện đại với hệ thống CT Cone Beam 3D, phần mềm Vceph 3D, phần mềm scan 3D mặt ngoài.
- Quy trình điều trị khép kín, đảm bảo yếu tố vô trùng, loại bỏ lây nhiễm chéo.
- Phác đồ điều trị chi tiết, kế hoạch thanh toán rõ ràng, không áp lực thanh toán.
- Chăm sóc tận tâm trước, trong và sau khi niềng răng.
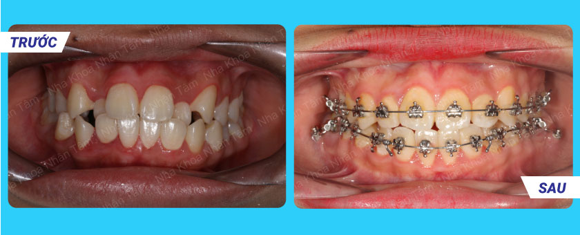
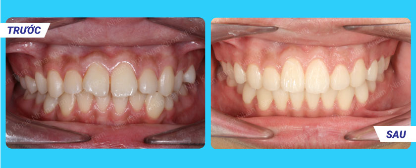
Hình ảnh khách hàng niềng răng


*Chụp phim X-Quang hoặc phim 3 chiều CT Cone Beam là một bước quan trọng trong quy trình điều trị phục hồi răng. Vì vậy Khách hàng sẽ được Bác sĩ của nha khoa Nhân Tâm chỉ định đến các cơ sở y tế đủ chức năng để thực hiện trước khi điều trị.



