Niềng răng là phương pháp giúp dịch chuyển răng về chuẩn khớp cắn hiệu quả nhất hiện nay mà không cần thực hiện phẫu thuật. Vậy niềng răng bao nhiêu tiền?
Trên thực tế, không có một con số cụ thể cho chi phí niềng răng bởi nó còn phụ thuộc vào nhiều yếu tố như: tình trạng răng của mỗi người, phương pháp niềng răng, tay nghề bác sĩ và chất lượng dịch vụ của nha khoa.
Hiện nay, Nha khoa Nhân Tâm được biết đến là nha khoa niềng răng chuyên sâu, được đông đảo khách hàng tin tưởng lựa chọn. Đây là địa chỉ đáp ứng được những tiêu chuẩn khắt khe về đội ngũ bác sĩ, cơ sở vật chất, trang thiết bị, hệ thống vô trùng và chất lượng dịch vụ, đã thực hiện thành công hàng ngàn ca niềng răng từ đơn giản đến phức tạp.
Niềng răng bao nhiêu tiền ảnh hưởng bởi yếu tố nào?
Niềng răng bao nhiêu tiền là thắc mắc của rất nhiều người khi có ý định lựa chọn phương pháp này để khắc phục tình trạng răng hô, móm, thưa, khấp khểnh,… và giúp răng trở nên đều, đẹp. Tuy nhiên trên thực tế, không thể đưa ra con số chính xác cho mức giá niềng răng, bởi mức chi phí này sẽ phụ thuộc vào nhiều yếu tố, cụ thể như sau:
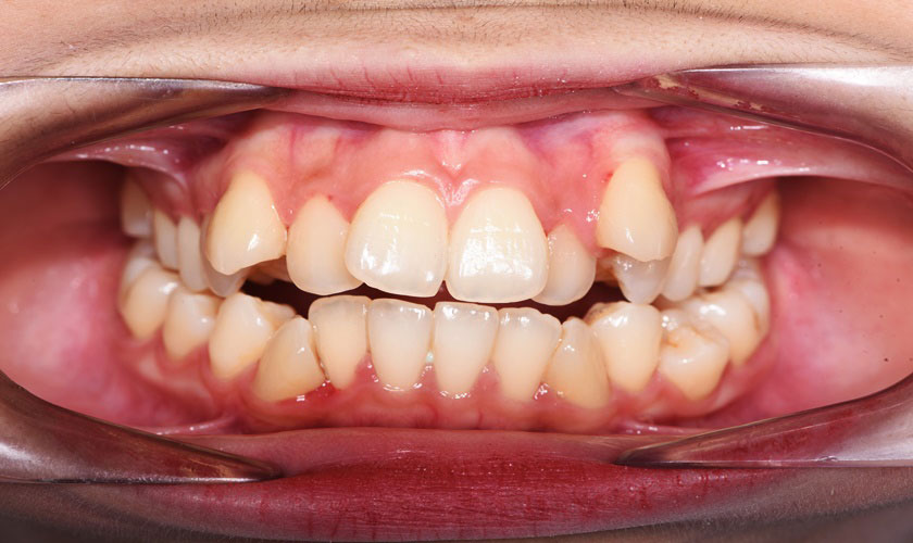
Tình trạng răng của mỗi người
Giá niềng răng thường được chia theo từng cấp độ. Những trường hợp răng bị sai lệch nhẹ, thời gian niềng răng nhanh thì sẽ có chi phí thấp hơn so với những trường hợp phức tạp. Bên cạnh đó, nếu bạn mắc phải các bệnh răng miệng thì cần phải điều trị triệt để các bệnh lý này trước, nên sẽ tốn thêm một khoản chi phí.

Niềng răng giá bao nhiêu còn tùy thuộc vào tình trạng răng của mỗi người
Phương pháp niềng răng
Hiện nay có rất nhiều phương pháp niềng răng. Mỗi loại đều có những ưu nhược điểm và chi phí khác nhau. Tùy thuộc vào điều kiện kinh tế, nhu cầu thẩm mỹ và tình trạng răng miệng của mỗi người mà bạn có thể lựa chọn các loại niềng răng dưới đây:
- Niềng răng mắc cài kim loại: Loại mắc cài niềng răng này thường được bằng thép không gỉ, có độ bền cao, chịu được lực kéo lớn, thời gian chỉnh hình răng đúng vị trí nhanh chóng. Tuy nhiên, tính thẩm mỹ lại thấp hơn so với những loại khác, hơn nữa rất dễ gây kích ứng răng, nướu và má, nên có chi phí thấp nhất trong các phương pháp.
- Niềng răng mắc cài sứ: Niềng răng mắc cài sứ là phương pháp đang dần thay thế niềng răng bằng kim loại. Phương pháp này có thẩm mỹ cao, khó nhìn thấy được khi nhìn từ xa và người khác sẽ khó nhận ra là bạn đang đeo chúng. Chi phí đắt hơn so với niềng răng bằng kim loại.
- Niềng răng mắc cài tự khóa: Phương pháp này có tính năng vượt trội đó là mắc cài và dây cung được thiết kế tự động, tạo khả năng bám dính tốt, giúp giữ chặt dây cung cố định trong rãnh trượt, từ đó tạo lực kéo đều đặn giúp răng dịch chuyển đúng hướng và rút ngắn thời gian điều trị. Sở hữu ưu điểm nổi bật nên chi phí của mắc cài tự khóa cũng cao hơn so với mắc cài thường.
- Niềng răng trong suốt: Phương pháp này sử dụng các khay niềng trong suốt để di chuyển răng, tính thẩm mỹ cao, người đối diện sẽ khó nhận ra là bạn đang niềng răng, có thể tháo ra lắp vào tiện lợi, thuận tiện khi ăn uống, vệ sinh, giao tiếp,… Đây là phương pháp có chi phí cao nhất trong các loại hình niềng răng.

Niềng răng trong suốt có chi phí cao nhất trong các loại niềng răng
Địa chỉ nha khoa
Phòng khám nha khoa mà bạn chọn cũng là yếu tố ảnh hưởng không nhỏ đến niềng răng bao nhiêu tiền. Hiện nay có một số nha khoa tung ra hàng loạt chiêu thức quảng cáo mà phớt lờ các tiêu chuẩn an toàn nhằm thu hút khách hàng, hơn nữa người niềng răng không có đủ chuyên môn, do đó sau một thời gian không những niềng răng thất bại mà còn gây nên nhiều biến chứng nguy hiểm.
Do đó, bạn đừng quá quan tâm đến giá cả mà bỏ qua yếu tố chất lượng. Những địa chỉ uy tín, bác sĩ giỏi, ứng dụng hệ thống máy móc hiện đại thì giá sẽ nhỉnh hơn một chút nhưng đảm bảo quá trình điều trị của bạn được hỗ trợ tốt nhất và kết quả đạt được giống như kế hoạch đã đề ra.

Địa chỉ nha khoa quyết định rất lớn đến chi phí niềng răng
Xem thêm: Những lý do nên lựa chọn niềng răng không mắc cài
Có nên niềng răng không?
Vì có chi phí khá cao nên nhiều người phân vân không biết có nên niềng răng không? Nếu bạn đang cảm thấy tự ti về hàm răng của mình và muốn sở hữu hàm răng đều, đẹp cùng nụ cười tỏa nắng, hãy lựa chọn niềng răng bởi phương pháp này sẽ mang đến những lợi ích tuyệt vời sau:
- Khắc phục được các trường hợp răng bị hô, móm, thưa, lệch lạc, chen chúc,… Chỉ sau khoảng 18 – 24 tháng, bạn sẽ có một hàm răng đều đẹp, chuẩn khớp cắn và khuôn miệng cân đối, tính thẩm mỹ của khuôn mặt cũng được tăng thêm.
- Khớp cắn chuẩn nên việc ăn nhai cũng sẽ thoải mái, thuận lợi hơn, từ đó giúp cải thiện được sức khỏe.
- Niềng răng sẽ giúp nắn chỉnh các răng mọc sai lệch về đúng vị trí, góp phần giúp việc vệ sinh răng miệng được thuận lợi hơn, hạn chế tình trạng bị nhét thức ăn, từ đó giúp ngăn ngừa được tình trạng sâu răng, viêm nướu, viêm nha chu,… và bảo vệ sức khỏe răng miệng được tốt hơn.

Niềng răng đem đến hàm răng đều, đẹp, chắc khỏe
Điều quan trọng là bạn cần phải tìm hiểu thật kỹ và lựa chọn cho mình địa chỉ nha khoa gần nhất và uy tín nhất để đạt kết quả như mong muốn và ngăn ngừa những biến chứng không đáng có. Nếu bạn đang phân vân không biết lựa chọn địa chỉ nào để niềng răng thì Nha khoa Nhân Tâm là một địa chỉ đáng tin cậy mà bạn không nên bỏ qua. Nơi đây không chỉ quy tụ đội ngũ bác sĩ giỏi, trên 23 năm kinh nghiệm mà còn ứng dụng công nghệ hiện đại, đảm bảo vô trùng – vô khuẩn tuyệt đối, mang lại nụ cười hoàn hảo cho hàng ngàn khách hàng.
Hy vọng rằng những thông tin trên đây đã giúp bạn biết được niềng răng bao nhiêu tiền? Có nên niềng răng hay không? Nếu cần tư vấn thêm thông tin hoặc muốn trải nghiệm dịch vụ niềng răng chuẩn quốc tế, hãy liên hệ ngay đến Nha khoa Nhân Tâm, chúng tôi sẽ hỗ trợ nhanh chóng cho bạn.




