Viêm nướu răng hàm là bệnh lý về nướu răng với dấu hiệu mô nướu bị đỏ, sưng, đau xung quanh răng hàm. Nguyên nhân gây viêm nướu răng hàm thường do vôi răng, thói quen chăm sóc răng kém khoa học hoặc các bệnh lý răng miệng liên quan.
Viêm nướu răng hàm là gì?
Viêm nướu răng hàm là tình trạng mô nướu khu vực răng hàm bị viêm nhiễm do vi khuẩn xâm nhập và tấn công nướu răng.
Bệnh thường gặp ở cả trẻ em và người trưởng thành, với những biểu hiện đặc trưng như nướu có màu đỏ, phù nề, kém đàn hồi, thường xuyên bị chảy máu nướu răng, đau nhức răng và nướu, nướu bị chảy dịch mủ, hơi thở có mùi, ê buốt răng, tụt nướu, lung lay răng.

Viêm nướu răng hàm
Ở giai đoạn mới chớm, viêm nướu răng chưa có biểu hiện hoặc chỉ có dấu hiệu thoáng qua nên rất khó để nhận biết, khiến bệnh nhân chủ quan. Vì vậy, bạn cần theo dõi tình trạng sức khỏe răng miệng hằng ngày để kịp thời phát hiện và có cách điều trị hiệu quả.
Vì sao bị viêm nướu răng hàm?
Nguyên nhân trực tiếp gây nên tình trạng viêm nướu răng hàm chính là sự tấn công của vi khuẩn có hại tồn tại trong khoang miệng.
Thông thường, vi khuẩn sẽ trú ngụ và phát triển trong mảng bám vôi răng. Khi ăn uống, thức ăn thừa sót lại trên răng sẽ tích tụ thành mảng bám. Theo thời gian, mảng bám bị khoáng hóa bởi nước bọt và biến thành vôi răng.
Vôi răng bám trên bề mặt răng, kẽ răng và ngay cả sâu dưới đường viền nướu, là môi trường thuận lợi để vi khuẩn tồn tại và sinh sôi, tấn công nướu gây kích ứng nướu và dẫn đến viêm nướu.

Vôi răng là môi trường thuận lợi cho vi khuẩn trú ngụ và tấn công nướu răng
Bên cạnh nguyên nhân chính trên thì có một số yếu tố thuận lợi làm gia tăng tỷ lệ viêm nướu răng hàm bao gồm:
- Thói quen vệ sinh răng miệng kém khiến thức ăn thừa không được loại bỏ và hình thành mảng bám, vôi răng.
- Chế độ ăn uống kém khoa học, ăn nhiều thực phẩm chứa tinh bột, đường, thực phẩm dai cứng, dễ bám dính. Ít ăn rau xanh và uống ít nước sẽ khiến mảng bám răng ngày càng nhiều hơn.
- Những thói quen xấu như hút thuốc lá, uống nhiều đồ uống có cồn, nước ngọt có ga, nghiến răng, ăn đồ lạnh… cũng dễ dẫn đến viêm nướu răng hàm.
- Ngoài ra, nướu răng hàm bị viêm còn do những yếu tố như thai kỳ, bệnh lý răng miệng khác, nhiễm trùng răng khôn lan rộng, suy yếu miễn dịch, suy dinh dưỡng…
Điều trị viêm nướu răng hàm
Viêm nướu răng hàm không chỉ ảnh hưởng đến chức năng của răng, khiến người bệnh khó chịu, kém ăn mà còn dễ tiến triển qua các giai đoạn nghiêm trọng hơn như áp-xe nướu răng, viêm nha chu, mất răng…
Vì vậy, ngay khi nhận thấy nướu có vấn đề, bệnh nhân cần tiến hành thăm khám ngay để được điều trị kịp thời.

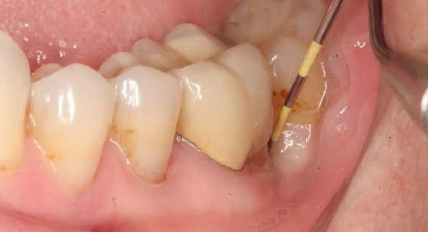
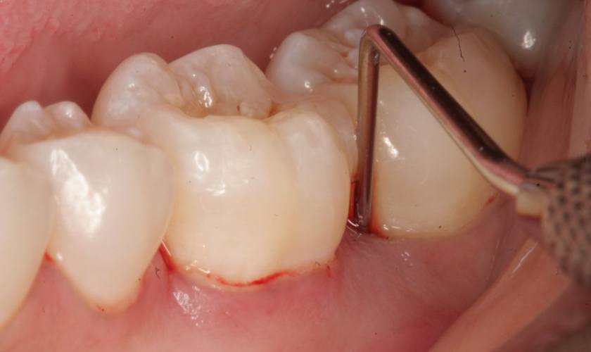
Viêm nướu răng hàm cần được thăm khám kỹ lưỡng để có chỉ định điều trị phù hợp
Thông thời, ở mức độ nhẹ, viêm nướu răng được loại bỏ với kỹ thuật cạo vôi răng siêu âm. Cạo vôi răng giúp làm sạch răng miệng và tiêu diệt vi khuẩn gây viêm, giúp nướu săn chắc và khỏe mạnh, không còn bị viêm.
Ở mức độ nặng hơn, Bác sĩ sẽ thăm khám và có thể chỉ định sử dụng thuốc kháng viêm, kháng sinh, kết hợp với các kỹ thuật nha khoa để giúp quá trình điều trị viêm nướu hiệu quả, nhanh chóng.
Để việc điều trị viêm nướu đạt hiệu quả tối đa, đồng thời hạn chế tái phát viêm nướu, bệnh nhân còn cần thực hiện vệ sinh và chăm sóc răng miệng theo đúng chỉ dẫn của Bác sĩ.
Với những thông tin mà bài viết chia sẻ, Nha khoa Nhân Tâm mong rằng quý khách hàng sẽ hiểu rõ hơn về bệnh lý viêm nướu răng hàm. Mọi thắc mắc cần được giải đáp về sức khỏe và thẩm mỹ răng miệng, Quý khách có thể liên hệ cho Nhân Tâm qua Hotline 1900 56 5678 để được giải đáp chi tiết bởi đội ngũ Bác sĩ răng hàm mặt giỏi TPHCM nhé!




