Với dịch vụ tẩy trắng răng cao cấp tại Nha khoa Nhân Tâm, bạn có thể “hô biến” hàm răng ố vàng trở nên trắng sáng chỉ trong 1H.
Dịch vụ tẩy trắng răng tại Nha khoa Nhân Tâm
Dịch vụ tẩy trắng răng tại Nha khoa Nhân Tâm gồm hai phương pháp tẩy trắng răng là tẩy trắng răng tại nhà bằng máng tẩy và tẩy trắng răng tại nha khoa bằng công nghệ Laser.
1. Tẩy trắng răng bằng máng tẩy
Lựa chọn tẩy trắng răng bằng máng tẩy, Khách hàng sẽ được kiểm tra sức khỏe răng miệng tổng quát, tìm ra nguyên nhân gây ố vàng răng.
Nếu Khách hàng phù hợp tẩy trắng răng thì Bác sĩ sẽ tiến hành lấy dấu răng để chế tạo máng tẩy, sau đó giao máng tẩy và thuốc tẩy trắng răng cho Khách hàng và hướng dẫn Khách cách thực hiện tại nhà.
2. Tẩy trắng răng tại nha khoa bằng công nghệ laser
Dịch vụ tẩy trắng răng bằng công nghệ laser sẽ là sự lựa chọn tối ưu nhất khi bạn muốn sở hữu hàm răng trắng sáng một cách nhanh chóng mà vẫn đảm bảo an toàn.
Ánh sáng laser sẽ giúp thuốc tẩy trắng răng hoạt động tốt hơn, nhờ đó răng sẽ trở nên trắng sáng đều màu và trông thật tự nhiên.
Công nghệ laser còn giúp bảo vệ men răng, tránh tình trạng kích ứng hay ê buốt răng khi sử dụng thuốc tẩy trắng, đảm bảo không gây ra bất kỳ tổn hại nào cho răng và cấu trúc xung quanh răng.
Đồng thời, răng sẽ giữ màu được bền lâu, kết quả tẩy trắng có thể duy trì 2-3 năm hoặc lâu hơn nếu chăm sóc đúng cách.

Tẩy trắng răng tại nha khoa bằng công nghệ laser
Tẩy trắng răng có an toàn không?
Hiện nay có rất nhiều phương pháp tẩy trắng răng nhưng không phải phương pháp nào cũng đảm bảo an toàn cho người sử dụng.
Cách tẩy trắng răng tốt và an toàn nhất chính là thăm khám và thực hiện dịch vụ tẩy trắng răng tại trung tâm nha khoa uy tín, chất lượng. Bác sĩ sẽ kiểm tra chính xác tình trạng răng của bạn và cho bạn biết bạn có phù hợp để tẩy trắng răng không.
Nha khoa Nhân Tâm sở hữu đội ngũ Bác sĩ giỏi chuyên môn và giàu kinh nghiệm, đồng thời ứng dụng hệ thống trang thiết bị hiện đại trong thăm khám và điều trị, giúp tiết kiệm thời gian và mang lại hiệu quả tối đa.

Nha khoa Nhân Tâm sở hữu đội ngũ Bác sĩ giỏi chuyên môn và giàu kinh nghiệm
Loại thuốc tẩy trắng răng tại Nha khoa Nhân Tâm cũng được kiểm định về chất lượng, có nguồn gốc rõ ràng, nồng độ phù hợp đảm bảo hiệu quả mà vẫn an toàn, không gây kích ứng khi sử dụng.
Bên cạnh dịch vụ tẩy trắng răng được cung cấp bởi các phòng khám nha khoa, thì Khách hàng cũng có thể tham khảo các cách tự làm trắng răng tại nhà.
Tuy nhiên các phương pháp tẩy trắng răng tại nhà sẽ tồn tại nhiều rủi ro vì người sử dụng không biết được tình trạng răng miệng của bản thân, có thể mua nhầm sản phẩm tẩy trắng răng kém chất lượng, sử dụng sai cách hoặc quá lạm dụng dẫn đến tình trạng kích ứng, ê buốt răng hay bỏng môi, nướu…

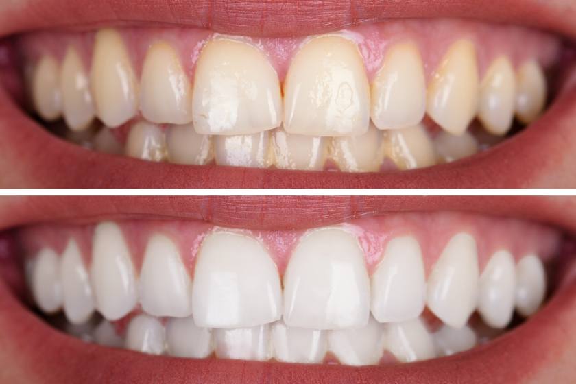
Kết quả tẩy trắng răng tại nha khoa bằng công nghệ laser
Tẩy trắng răng có vĩnh viễn không?
Tẩy trắng răng là phương pháp làm trắng răng, loại bỏ răng ố vàng tạm thời chứ không mang lại hiệu quả vĩnh viễn. Tùy theo phương pháp tẩy trắng răng mà sẽ quyết định đến hiệu quả là bao lâu.
Tẩy trắng răng laser tại nha khoa là công nghệ tẩy trắng răng hiện đại và duy trì hiệu quả lâu nhất hiện nay, khoảng 2-3 năm.
Răng sẽ bị xuống màu theo thời gian và có thể bị ố vàng trở lại. Lúc này bạn cần tẩy trắng răng lại để giữ gìn hàm răng trắng sáng và nụ cười rạng rỡ.

Với công nghệ laser, kết quả tẩy trắng răng sẽ duy trì khoảng 2-3 năm
Xem thêm: Nha khoa tẩy trắng răng uy tín tại Sài Gòn
Để nâng cao hiệu quả tẩy trắng răng, bạn cần lưu ý những điều sau:
- Tuần đầu tiên sau khi thực hiện tẩy trắng răng nên ăn những loại thực phẩm ít màu, có màu trắng hoặc sản phẩm từ sữa, rau xanh,... để tránh ảnh hưởng đến màu của răng.
- Hạn chế các thực phẩm và đồ uống gây màu hoặc có tính ăn mòn như trà, cà phê, nước sốt, nước ngọt có ga,…
- Tránh các loại thức ăn có chất nhựa như rau muống, quả hồng, rau lang…
- Nên uống nhiều nước để hạn chế tình trạng miệng bị khô, mất cân bằng vi sinh vật trong khoang miệng.
- Dùng ống hút khi uống nước có màu để tránh nước tránh cho nước tiếp xúc với bề mặt của răng. Không nên hút thuốc lá sau khi thực hiện tẩy trắng răng bởi vì hợp chất như nicotin có thể phá hủy cấu trúc răng, khiến răng bị sậm màu.
- Không nên dùng răng nhai cắn các vật cứng, hạn chế thực phẩm nhiều đường, tinh bột.
- Không nên nhai đá hoặc những thức ăn quá cứng vì có thể làm mài mòn men răng khiến cho răng dễ nhiễm màu.
Trên đây là những điều cần biết về dịch vụ tẩy trắng răng. Chúc Quý khách sớm tìm được phương pháp làm trắng răng phù hợp để nhanh chóng sở hữu nụ cười như mong ước. Mọi thắc mắc cần hỗ trợ, vui lòng liên hệ cho Nhân Tâm theo số Hotline 1900565678.
*Chụp phim X-Quang hoặc phim 3 chiều CT Cone Beam là một bước quan trọng trong quy trình điều trị phục hồi răng. Vì vậy Khách hàng sẽ được Bác sĩ của nha khoa Nhân Tâm chỉ định đến các cơ sở y tế đủ chức năng để thực hiện trước khi điều trị.



