Airflow Prophylaxis là công nghệ vệ sinh răng miệng chuyên nghiệp thế hệ mới của EMS - Thụy Sĩ. Công nghệ này đem đến trải nghiệm làm sạch răng (kể cả răng Implant, răng sứ, răng niềng,...) nhẹ nhàng, không đau, ngăn ngừa được các bệnh lý răng miệng, các biến chứng sau khi phục hình răng.
Công nghệ Airflow Prophylaxis là gì?
Công nghệ Airflow Prophylaxis được phát triển bởi thương hiệu EMS - Thụy Sĩ. Công nghệ này hiện đang được đánh giá cao trong mảng nha khoa dự phòng, cung cấp giải pháp tối ưu trong vệ sinh cho tất cả các loại răng: răng sữa, răng vĩnh viễn, Implant, sứ, Veneer, mắc cài,...

Công nghệ Airflow Prophylaxis được sản xuất bởi EMS - Thụy Sĩ
Airflow Prophylaxis sử dụng sức mạnh tổng hợp giữa khí, nước và bột mịn để loại bỏ mảng bám, vi khuẩn và vết bẩn trên bề mặt răng, trên nướu hoặc dưới nướu (bao gồm cả Implant và phục hình). Từ đó giúp làm sạch răng miệng hiệu quả mà không gây ảnh hưởng đến bề mặt răng và vật liệu, không gây bất kỳ cảm giác đau hay khó chịu nào, đã được chứng minh qua nhiều nghiên cứu trên toàn cầu.
Ưu điểm vượt trội của công nghệ Airflow Prophylaxis
So với các phương pháp truyền thống, Airflow Prophylaxis mang lại trải nghiệm vệ sinh răng hoàn toàn khác biệt với nhiều ưu điểm vượt trội như:
Hiệu quả làm sạch cao
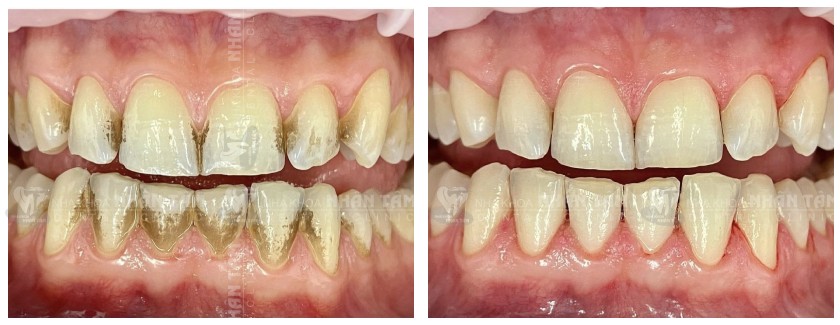
Công nghệ Airflow Prophylaxis giúp loại bỏ mảng bám và vi khuẩn một cách triệt để, kể cả những khu vực khó tiếp cận (làm sạch trên nướu, dưới nướu, quanh túi nha chu, túi Implant với độ sâu lên đến 10mm). Nhờ đó, răng miệng của bạn sẽ luôn sạch sẽ và khỏe mạnh, ngăn ngừa các bệnh lý răng miệng hay biến chứng sau cấy ghép Implant (viêm quanh Implant).

Công nghệ Airflow Prophylaxis giúp loại bỏ hoàn toàn mảng bám và vi khuẩn
Giúp răng khỏe mạnh, bóng đẹp hơn
Không chỉ giúp làm sạch ngay cả các vết dính nhỏ nhất trên răng, công nghệ Airflow Prophylaxis còn có khả năng đánh bóng bề mặt răng ngay sau đó. Điều này không chỉ giúp răng trắng sáng, bóng đẹp hơn mà còn góp phần làm giảm sự hình thành và tích tụ mảng bám, từ đó thời gian vôi răng tái xuất hiện cũng sẽ lâu hơn.
Hạn chế cảm giác đau, khó chịu
Với Airflow Prophylaxis, lượng khí, nước và bột phun ra luôn giữ ở mức ổn định, hơn nữa, động năng được áp dụng nhẹ nhàng, không ma sát trực tiếp lên bề mặt răng, nhờ đó giúp vệ sinh răng hiệu quả mà không gây cảm giác đau đớn, khó chịu, mang lại trải nghiệm nhẹ nhàng, thoải mái.

Công nghệ Airflow Prophylaxis tác động nhẹ nhàng, không gây đau
Nhẹ nhàng, êm ái, không gây tiếng ồn
Tay cầm được thiết kế với cấu trúc nguyên khối giúp giảm ồn và độ rung khi vận hành. Điều này giúp cải thiện sự thoải mái cho người dùng.
Thời gian thực hiện nhanh chóng
Quy trình làm sạch với công nghệ Airflow Prophylaxis diễn ra rất nhanh chóng, chỉ mất khoảng 15 - 30 phút cho một liệu trình.
Ứng dụng trong nhiều trường hợp
Nhờ khả năng làm sạch sâu và hiệu quả một cách nhẹ nhàng, không đau, công nghệ Airflow Prophylaxis được ứng dụng rộng rãi trong nhiều dịch vụ nha khoa khác nhau, bao gồm:

Công nghệ Airflow Prophylaxis được ứng dụng trong nhiều trường hợp
- Vệ sinh răng định kỳ, loại bỏ mảng bám trên bề mặt răng, trên nướu và dưới nướu và các loại máy thông thường khó loại bỏ.
- Vệ sinh răng trước khi gắn mắc cài niềng răng, đồng thời loại bỏ mảng bám và vết ố vàng cho khách hàng niềng răng.
- Loại bỏ mảng bám và vết ố vàng trước khi tiến hành thủ thuật tẩy trắng răng. Trong nhiều trường hợp sử dụng công nghệ Airflow Prophylaxis xong không cần tẩy trắng.
- Điều trị các bệnh về nướu như: viêm nướu, viêm nha chu,... nhờ khả năng làm sạch túi nha chu sâu từ 4-9mm, từ đó ngăn ngừa sự tiến triển của bệnh và bảo vệ sức khỏe nướu.
- Chăm sóc răng Implant, kéo dài tuổi thọ của Implant bằng cách loại bỏ màng sinh học trên bề mặt Implant và các vi sinh vật xung quanh đó, giúp ngăn ngừa viêm quanh Implant, một biến chứng nguy hiểm có thể dẫn đến đào thải trụ Implant.
Xem thêm: Airflow Prophylaxis - Giải pháp bảo tồn Implant lâu dài
Quy trình làm sạch răng bằng công nghệ Airflow Prophylaxis
Quy trình làm sạch răng bằng công nghệ Airflow Prophylaxis kết hợp với quy trình Guided Biofilm Therapy được nghiên cứu bởi EMS – Thụy Sỹ, giúp mang lại trải nghiệm vệ sinh răng sạch sẽ nhưng vô cùng thoải mái như ở Spa.
Bước 1: Thăm khám tổng quát và đánh giá
Bác sĩ sẽ thăm khám tổng quát tình trạng răng miệng, sau đó đánh giá mức độ mảng bám trên răng.
Bước 2: Bộc lộ mảng bám răng
Mảng bám trên răng rất khó để nhìn thấy bằng mắt thường. Tuy nhiên, bệnh nhân có thể nhìn thấy mảng bám sau khi được bác sĩ bôi thuốc bộc lộ mảng bám. Sau khi mảng bám được làm sạch, vôi răng sẽ dễ dàng phát hiện hơn.

Mảng bám được bộc lộ rõ
Bước 3: Hướng dẫn khách hàng
Bác sĩ sẽ cho bệnh nhân xem màu sắc của bề mặt răng bên trong gương để có thể nắm được tình trạng răng của mình. Từ đó, bác sĩ sẽ nhấn mạnh tầm quan trọng của nha khoa dự phòng, đồng thời hướng dẫn bệnh nhân vệ sinh răng miệng đúng cách.
Bước 4: Loại bỏ mảng bám, vết dính và vôi răng mới hình thành bằng Airflow
Bác sĩ sẽ loại bỏ tận gốc mảng bám răng, vôi răng mới hình thành trên răng thật, răng Implant, răng sứ,... bằng Airflow.
Ở bước này, mảng bám trên và sâu dưới nướu đến 4mm, lưỡi và khẩu cái, vết dính trên men răng sẽ được làm sạch hoàn toàn.

Loại bỏ mảng bám, vôi răng mới hình thành bằng Airflow
Bước 5: Loại bỏ mảng bám trong túi nha chu sâu từ 4 - 9mm bằng PerioFlow
Tiếp theo, Bác sĩ sẽ sử dụng đầu phun PerioFlow mới và mỏng hơn để loại bỏ mảng bám trong các túi nha chu sâu, vùng kẽ chân răng và trên Implant.
Bước 6: Lấy sạch vôi răng còn sót lại bằng Piezon
Bác sĩ sẽ sử dụng mũi Piezon xâm lấn tối thiểu để làm sạch vôi răng còn sót lại trên nướu và dưới nướu, quanh Implant và trên răng phục hình. Đồng thời làm sạch túi nha chu sâu hơn 10mm bằng dụng cụ nha chu chuyên dụng.
Bước 7: Kiểm tra khi bệnh nhân cười
Bác sĩ sẽ kiểm tra sự hiện diện của mảng bám thêm một lần nữa nhằm đảm bảo vôi răng đã được làm sạch hoàn toàn.

Mảng bám vôi răng đã được làm sạch hoàn toàn
Bước 8: Tái khám
Bác sĩ sẽ lên lịch tái khám định kỳ cho bệnh nhân theo đánh giá nguy cơ. Việc thăm khám bác sĩ định kỳ sẽ giúp duy trì kết quả điều trị, phát hiện sớm các rủi ro để có cách khắc phục phù hợp, đồng thời bảo vệ sức khỏe răng miệng được tốt nhất.
Ứng dụng công nghệ Airflow Prophylaxis tại Nha khoa Nhân Tâm
Nha khoa Nhân Tâm tự hào là một trong những trung tâm nha khoa uy tín hàng đầu tại Việt Nam, tiên phong ứng dụng công nghệ hiện đại, đặc biệt là công nghệ Airflow Prophylaxis vào trong chăm sóc răng miệng cho bệnh nhân.
Hiện tại, Nha khoa Nhân Tâm đang ứng dụng công nghệ Airflow Prophylaxis trong nhiều trường hợp khác nhau, từ làm sạch răng thông thường đến điều trị viêm nướu, viêm nha chu và chăm sóc răng Implant.

Nha khoa Nhân Tâm ứng dụng nhiều công nghệ hiện đại
Với khả năng loại bỏ mảng bám và vi khuẩn một cách hiệu quả mà không hề gây đau đớn hay bất kỳ tổn thương nào, Airflow Prophylaxis giúp duy trì sức khỏe răng miệng tối ưu, ngăn ngừa viêm nhiễm quanh Implant và cải thiện thẩm mỹ nụ cười.
Không chỉ có công nghệ Airflow Prophylaxis, Nha khoa Nhân Tâm còn ứng dụng rất nhiều công nghệ tiên tiến trên thế giới vào trong chăm sóc và điều trị răng miệng cho khách hàng, nhằm mang đến cho khách hàng dịch vụ nha khoa chất lượng cao, đảm bảo độ chính xác và hiệu quả tối ưu.



