Vệ sinh răng miệng sai cách, thói quen ăn uống không lành mạnh, vôi răng, sâu răng mức độ nặng, thay đổi hoóc-môn trong thai kỳ hoặc chu kỳ kinh nguyệt là những nguyên nhân phổ biến gây ra tình trạng sâu răng bị sưng lợi. Khi sâu răng bị sưng lợi, cách tốt nhất là đến thăm khám và điều trị tại phòng khám nha khoa uy tín.
>Vì sao sâu răng bị sưng lợi?
Sâu răng bị sưng lợi thường do những nguyên nhân sau đây:
Vệ sinh răng miệng sai cách
Bệnh nhân bị sâu răng nếu không vệ sinh răng miệng kỹ lưỡng thì sẽ khiến vi khuẩn tiếp tục tấn công khu vực nướu (lợi) răng, gây ra tình trạng viêm nướu khiến nướu răng bị sưng, đau.

Đánh răng sai cách có thể làm sâu răng tiến triển và gây sưng lợi
Thói quen ăn uống không lành mạnh
Những thói quen ăn uống xấu như ăn nhiều đồ ngọt, sử dụng nước uống có gas, thực phẩm dễ bám dính, đồ khô cứng,… sẽ tạo điều kiện cho vi khuẩn tấn công lợi và khiến lợi bị tổn thương và sưng viêm.
Vôi răng
Mảng bám thức ăn thừa lâu ngày sẽ bị vôi hóa bởi các khoáng chất có trong nước bọt, hình thành vôi răng. Vôi răng là môi trường lý tưởng của các loại vi khuẩn gây hại trú ngụ, vi khuẩn sẽ tấn công và làm tăng nguy cơ mắc các bệnh lý răng miệng như sâu răng, viêm nướu…

Vôi răng có thể gây viêm nướu khi bị sâu răng
Biến chứng của sâu răng mức độ nặng
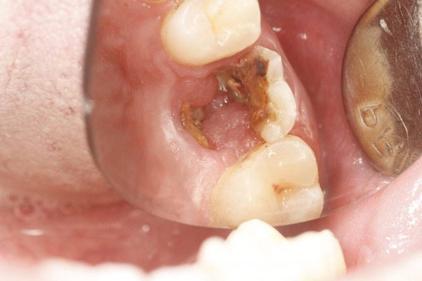
Sâu răng nếu không điều trị sẽ để lại biến chứng nguy hiểm. Khi vi khuẩn tấn công men răng, ngà răng và xâm nhập tủy răng sẽ gây ra tình trạng viêm tủy răng. Nếu viêm tủy kéo dài, sẽ dẫn đến viêm mô tế bào, áp-xe răng, phá hủy cấu trúc mô và xương quanh răng, làm hàm và lợi sưng to, đau nhức dữ dội.

Sâu răng nặng có thể làm sưng hàm, đau nướu, khó há miệng
Sự thay đổi hoóc-môn
Phụ nữ đang trong chu kỳ kinh nguyệt hoặc đang mang thai sẽ có những thay đổi nội tiết tố trong cơ thể. Lúc này, cơ thể phụ nữ trở nên nhạy cảm hơn nên dễ bị các vi khuẩn có hại tấn công, gây sâu răng bị sưng lợi.
Dấu hiệu nhận biết sâu răng bị sưng lợi
Sâu răng bị sưng lợi ảnh hưởng rất lớn đến sức khỏe răng miệng của bệnh nhân. Bệnh nhân có thể gặp tình trạng khó ăn nhai, đau nhức kèm theo những triệu chứng sau:
- Răng có những lỗ sâu màu đen, gây kích ứng ê buốt và đau nhức.
- Lợi (nướu) bị sưng, có màu đỏ, mềm, thiếu độ đàn hồi, chạm vào nướu sẽ bị đau nhức.
- Chân răng bị chảy máu khi đánh răng, ăn nhai mạnh hay tác động vào nướu.
- Răng bị ê buốt khi ăn thực phẩm nóng/ lạnh, cay, chua…
- Đau nhức răng, mức độ sâu răng nghiêm trọng có thể hành sốt, đau đầu, khó ngủ…
- Hơi thở có mùi hôi khó chịu.

Đau nhức khi sâu răng bị sưng lợi
Cách điều trị sâu răng viêm sưng lợi
1. Sử dụng thuốc theo đơn
Để giảm tình trạng sưng, đau do sâu răng bị sưng lợi, bạn có thể liên hệ trao đổi với Bác sĩ để được kê đơn thuốc giảm đau, kháng sinh, kháng viêm và uống theo chỉ định của Bác sĩ. Bạn nên dùng cách này khi chưa có điều kiện thăm khám tại bệnh viện hay phòng khám răng uy tín.

Sử dụng thuốc theo đơn
2. Vệ sinh răng miệng, ăn uống đúng cách
Tình trạng sâu răng bị sưng lợi mức độ nhẹ, chưa ảnh hưởng nghiêm trọng thì bệnh nhân có thể đánh răng kỹ lưỡng với bàn chải lông mềm ít nhất 2 lần/ ngày. Nên sử dụng chỉ nha khoa, tăm nước, bàn chải kẽ để loại bỏ thức ăn thừa và vi khuẩn.
Bên cạnh đó, khi răng bị đau, bạn nên sử dụng thức ăn mềm, hạn chế các thực phẩm cay nóng, cứng, dễ bám dính. Không ăn các loại thức ăn thức uống ngọt để tránh vi khuẩn phát triển làm tình trạng sâu răng nặng hơn.
3. Dùng các nguyên liệu sát khuẩn răng tại nhà
Bạn cũng có thể tham khảo các nguyên liệu trị đau răng tại nhà như tinh dầu bạc hà, tinh dầu oải hương, đọt ổi, túi trà, muối… Các nguyên liệu này có tính sát khuẩn sẽ giúp loại bỏ vi khuẩn, kháng viêm hiệu quả và giảm cảm giác khó chịu.

Sử dụng tinh dầu giảm đau
4. Điều trị sâu răng tại phòng khám nha khoa uy tín
Trường hợp sâu răng bị sưng lợi, cách tốt nhất chính là tìm một phòng khám nha khoa gần nhất có chất lượng cao để thăm khá và điều trị. Nếu tình trạng chưa nghiêm trọng, Bác sĩ sẽ loại bỏ vôi răng để giảm sưng nướu, nạo phần răng sâu và phục hình bằng vật liệu trám răng. Vật liệt trám sẽ giúp bảo vệ răng, ngăn ngừa vi khuẩn tấn công, cải thiện ăn nhai và thẩm mỹ.

Điều trị sâu răng tại Nha khoa Nhân Tâm
Nếu sâu răng ở mức độ nặng cần thực hiện chữa tủy, Bác sĩ sẽ loại bỏ phần răng sâu, tiến hành chữa tủy và cuối cùng là phục hình bằng cách bọc răng sứ hoặc trám sứ Inlay-Onlay để bảo tồn răng thật sau điều trị tủy.
Cách tốt nhất để bảo vệ răng trước tình trạng sâu răng bị sưng lợi chính là thực hiện khám răng định kỳ và lấy vôi răng 6 tháng/ lần. Việc thăm khám răng miệng và lấy vôi răng định kỳ sẽ giúp loại bỏ sạch mảng bám và vi khuẩn, phát hiện và điều trị sớm các bệnh lý răng miệng thường gặp như sâu răng, viêm nướu…




