Một số dạng sai khớp cắn thường gặp
Sai khớp cắn là cụm từ chung dành để chỉ các trường hợp răng hô, móm, vẩu, khấp khểnh, chen chúc, méo, răng khểnh… Mức độ sai lệch chủ yếu do xương hoặc do răng gây ra.
Dạng thứ nhất, khớp cắn hô vẩu:
Đây là dạng sai khớp cắn với các đặc điểm sau: 3 phần trán – mũi – cằm bị lệch mà khi nhìn thẳng hay nghiêng thì đều thấy mũi gãy, miệng nhọn, hàm trên dô ra trước, môi trề, căng. Nhóm răng trước hàm trên che khuất hoàn toàn nhóm răng trước hàm dưới với khoảng cách xa. Còn nhóm răng sau hai hàm vẫn tiếp xúc với nhau.

Dạng thứ hai, khớp cắn móm – cắn ngược:
Đây là dạng sai khớp cắn với các đặc điểm sau: Tương quan 3 phần trán – mũi – cằm bị lệch, gãy ở giữa gương mặt nên nhìn nghiêng sẽ thấy mũi gãy hoặc cằm nhô ra trước tạo hình mặt lưỡi cày. Nhóm răng trước hàm trên nằm trong nhóm răng trước hàm dưới và bị hàm dưới che khuất hoàn toàn. Nhóm răng sau 2 hàm vẫn tiếp xúc nhau bình thường. Người bị cắn ngược sẽ gặp khó khăn trong việc ăn uống nhiều nhất, phát âm cũng bị ảnh hưởng.

Dạng thứ ba, sai khớp cắn hở:
Đặc điểm của dạng này thường có hai hàm không chạm nhau ở nhóm răng trước, có thể nhìn thấy lưỡi khi răng ở trạng thái nghỉ. Tương quan trán – mũi – cằm có thể bình thường. Trường hợp sai khớp này gây khó khăn khi ăn uống.
Ngoài ra, còn một số dạng sai khớp như khớp cắn đối đầu, khớp cắn sâu, khớp cắn chéo…
Các nguyên nhân dẫn đến sai khớp cắn
- Răng sai khớp căn do di truyền: Từ lâu, yếu tố di truyền đã được xem là nguyên nhân gây lệch lạc răng hàm. Những khiếm khuyết về gen có thể phát hiện được trước khi sinh, nhưng đôi khi chỉ phát hiện được khi trẻ đã lớn tuổi (ví dụ như kiểu mọc răng). Nếu bố hoặc mẹ bị hô, vẩu răng thì tỷ lệ sinh con ra cũng sẽ cũng bị hô, vẩu rất cao.
- Sai khớp cắn do các thói quen xấu lúc còn bé: Thói quen bú bình sữa quá nhiều, mút tay, đẩy lưỡi… là một trong những nguyên nhân khiến tình trạng răng bị đẩy ra, và đây cũng là nguyên nhân gây ra tình trạng sai lệch khớp cắn. Hầu hết các trẻ em đều có vài kiểu mút không dinh dưỡng, tùy theo hoặc là mút ngón tay cái, mút 1 ngón khác hoặc mút núm vú giả. Tuy nhiên thói quen mút tay kéo dài sau khi răng vĩnh viễn mọc sẽ dễ dẫn đến lệch lạc răng. Khi các ngón tay đặt lên giữa hai nhóm răng cửa trên và dưới tạo lực nén trực tiếp sẽ đẩy răng cửa trên mọc chìa ra trước, răng cửa dưới nghiêng vào trong, hai hàm cắn không khít, môi và má sẽ ép vào làm hẹp cung hàm. Mức độ lệch lạc răng tỷ lệ thuận với số giờ trẻ mút tay mỗi ngày, đặc biệt những trẻ mút tay suốt đêm khi ngủ thì nguy cơ răng mọc lệch lạc càng cao.

Thói quen bú bình sữa quá nhiều là một trong những nguyên nhân khiến tình trạng răng bị đẩy ra
- Sai khớp cắn do chế độ dinh dưỡng: Nếu lúc còn bé, trẻ bị thiếu dinh dưỡng sẽ ảnh hưởng nhiều đến sự phát triển của xương hàm, xương hàm sẽ phát triển yếu, thậm chí là chậm phát triển. Một khi xương hàm quá ngắn, không đủ chỗ chỗ cho răng mọc là nguyên nhân làm răng sai lệch khớp cắn.
- Sai khớp cắn do mất răng sớm: Nhiều trường hợp răng sữa mất sớm do bệnh lý răng miệng hoặc va chạm, tình trạng này khiến răng mọc chen chúc gây nên sai lệch khớp cắn. Theo Tiến sĩ - Bác sĩ Võ Văn Nhân: nếu răng sữa mất trước khi răng vĩnh viễn bắt đầu mọc (hình thành thân răng đã hoàn tất, hình thành chân răng đã bắt đầu) thì xương ổ răng sữa mới nhổ sẽ được tái tạo lại, ngăn cản răng vĩnh viễn mọc, làm chậm quá trình mọc răng. Khi răng vĩnh viễn chậm mọc thì những răng kề bên sẽ nghiêng về phía khoảng trống làm hẹp chỗ của răng vĩnh viễn.
- Sai khớp cắn do tai nạn: Các chấn thương do tai nạn sẽ làm cho các răng dịch chuyển về cùng một phía, gây sai lệch khớp cắn trầm trọng.
Phương pháp điều trị sai khớp cắn
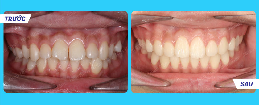
Muốn điều trị hiệu quả tình trạng sai khớp cắn, thì niềng răng là giải pháp tốt nhất. Trong quá trình niềng răng giúp chỉnh hàm răng bạn về đúng vị trí, giúp bạn có hàm răng đều, đẹp và đúng khớp cắn. Trong trường hợp nguyên nhân sai lệch khớp cắn do xương hàm thì cần can thiệp, phẫu thuật xương hàm.

Niềng răng là một trong những giải pháp điều trị sai khớp cắn hiệu quả
Phương pháp điều trị sai lệch khớp cắn khá phức tạp, vì thế cần có một giải pháp cụ thể, chính xác và tỉ mỉ. Quá trình thăm khám và tư vấn cũng cần phải đầu tư, lựa chọn một địa chỉ uy tín nhất để điều trị triệt để. Hãy lựa chọn và yêu cầu sự tham vấn của một Bác sĩ nha khoa giỏi trong lĩnh vực nắn chỉnh sai khớp cắn. Nha khoa Nhân Tâm luôn sẵn sàng tư vấn, lắng nghe ý kiến và những mong mỏi của bạn, để có thể tìm ra một phương pháp điều trị tốt nhất, mang lại cho bạn một nụ cười hoàn hảo hơn.


Khách hàng niềng răng điều trị sai lệch khớp cắn tại Nha khoa Nhân Tâm



