Chảy máu chân răng thực chất là chảy máu từ nướu. Có nhiều nguyên nhân chảy máu chân răng như do các bệnh lý răng miệng, do cơ thể thiếu chất, bị bệnh hoặc do chấn thương…
Có nhiều biện pháp để khắc phục chảy máu chân răng như lấy vôi răng, trám răng sâu, chỉnh nha… Tùy vào nguyên nhân gây chảy máu mà bác sĩ sẽ chỉ định phương pháp phù hợp. Bạn nên đến nha khoa uy tín để được thăm khám tốt nhất.
Nguyên nhân chảy máu chân răng
Chảy máu chân răng thực chất là chảy máu từ nướu, thường xuyên xảy ra trong khi đánh răng. Bệnh nhân bị chảy máu chân răng thường đi kèm triệu chứng khác nhau bao gồm hơi thở khó chịu, viêm nướu, sưng nướu,... Có nhiều nguyên nhân dẫn đến tình trạng này, trong đó hầu hết các trường hợp nguyên nhân không quá nghiêm trọng và có thể khắc phục được.

Chảy máu chân răng thực chất là chảy máu từ lợi và nướu
Nguyên nhân do các bệnh răng miệng
Chảy máu chân răng là một triệu chứng của bệnh răng miệng không bình thường, bao gồm:
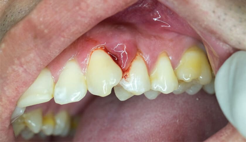
Viêm nướu
Viêm nướu là tình trạng nướu bị sưng tấy, viêm nhiễm, nứt vỡ dẫn đến chảy máu. Bệnh lý này có thể do thói quen vệ sinh răng miệng không tốt, không loại bỏ hết thức ăn thừa và cao răng bám ở chân răng. Lớp vôi tích tụ càng nhiều và không được loại bỏ định kỳ sẽ gây ra viêm nướu và dẫn đến chảy máu. Người bệnh nên đến gặp bác sĩ để lấy vôi răng định kì, làm sạch vùng kẽ răng và điều trị viêm nướu thì tình trạng chảy máu mới có thể được cải thiện.
Bệnh lý về răng
Kẽ răng là khu vực mà bàn chải đánh răng thường khó tiếp cận để làm sạch thức ăn. Tại vị trí này rất dễ bị viêm nướu, nhiễm trùng chân răng gây chảy máu nướu. Sâu răng khiến người bệnh có xu hướng ngại vệ sinh ở phần men răng bị sâu vì đau nhức, ê buốt, khiến cao răng tích tụ nhiều hơn, gây chảy máu.
Các bệnh lý vùng quanh răng
Chảy máu chân răng có thể do bệnh nha chu. Cần xử lý sớm vì nếu để chậm trễ, nướu chảy máu nhiều và kéo dài thì không thể hồi phục lại hoàn toàn vùng quanh răng đã bị tổn thương. Từ đó gây nhiều ảnh hưởng tới sức khỏe răng miệng cũng như tính thẩm mỹ.

Chảy máu chân răng có thể do bệnh nha chu
Chấn thương nướu
Tổn thương nướu có thể do việc chà xát mạnh vào răng, va chạm vào nướu, chải răng quá mạnh, dùng chỉ nha khoa không đúng cách hoặc bàn chải lông cứng,... Những chấn thương này sẽ trực tiếp gây chảy máu chân răng.
Răng khấp khểnh, chen chúc
Răng mọc lệch gây ảnh hưởng đáng kể đến khớp cắn, hơn nữa còn khiến việc vệ sinh răng miệng trở nên khó khăn hơn. Nếu vệ sinh không tốt, thức ăn thừa sẽ đọng lại trong các kẽ răng, dễ gây kích ứng và chảy máu nướu.
Nguyên nhân khác
Đôi khi chảy máu chân răng không phải lúc nào cũng là dấu hiệu của bệnh răng miệng mà vì những lý do sâu xa hơn từ thể chất hoặc bệnh lý cơ thể.
Thiếu vitamin K
Vitamin K là một thành phần đông máu thiết yếu trong cơ thể, sự thiếu hụt chất này khiến khó cầm máu hơn. Những người bị thiếu K trong chế độ ăn thường do sử dụng kháng sinh trong thời gian dài làm giảm số lượng vi khuẩn có ích trong đường ruột, chế độ ăn tiêu cực, thiếu Vitamin K tự sinh. Một trong những biểu hiện của chế độ ăn thiếu vitamin K là chảy máu chân răng.

Một trong những biểu hiện thiếu vitamin K là chảy máu chân răng
Thay đổi nội tiết tố
Trong cuộc đời người phụ nữ có thể trải qua nhiều giai đoạn mà nội tiết tố trong cơ thể thay đổi thất thường, phổ biến là tuổi dậy thì, mang thai hoặc mãn kinh. Việc sử dụng thuốc kiểm soát sinh sản, các chất bổ sung, chế độ ăn uống trong giai đoạn này có thể gây chảy máu chân răng.
Bệnh gan
Gan là một cơ quan nội tạng lớn có nhiều chức năng cần thiết cho sức khỏe và sự sống còn của cơ thể, một trong số đó là chức năng đông máu. Những người bị bệnh gan hoặc nghiện rượu quá mức làm suy giảm chức năng gan sẽ phải đối mặt với nhiều hệ lụy về thể chất, trong đó có tình trạng chảy máu chân răng.
Do tác động của thuốc
Một số nghiên cứu đã chỉ ra rằng việc sử dụng thuốc hàng ngày trong điều trị các bệnh mãn tính bao gồm thuốc chống động kinh, hóa trị liệu trong điều trị ung thư, thuốc dùng cho bệnh nhân đau tim,… sẽ làm tăng nguy cơ chảy máu chân răng.
Bệnh tiểu đường, các bệnh ung thư
Viêm nướu và chảy máu chân răng là một trong số những triệu chứng thường gặp của bệnh tiểu đường. Điều trị viêm nướu ở bệnh nhân tiểu đường không đơn giản, họ thường bị viêm nướu kéo dài, tổn thương nặng vùng nha chu, nặng hơn là mất răng hàng loạt. Ngoài ra bệnh ung thư bao gồm một số u tủy và bệnh bạch cầu cũng có thể gây chảy máu chân răng nghiêm trọng.

Chảy máu chân răng là triệu chứng thường gặp của bệnh tiểu đường
Ngoài những lý do trên, một số lý do khác liên quan đến chảy máu chân răng bao gồm hút thuốc, căng thẳng, xạ trị ung thư, HIV, chấn thương,...
Xem thêm: Bệnh nha chu có nguy hiểm không? Phòng ngừa thế nào?
Làm gì để khắc phục tình trạng chảy máu chân răng?
Có nhiều biện pháp để khắc phục, làm giảm chảy máu chân răng tạm thời, tuy nhiên, điều quan trọng là phải loại bỏ từ nguyên nhân cơ bản để đối phó triệt để với nó. Khi bạn nhận thấy nướu bị chảy máu, hãy kiểm tra tình trạng răng miệng của mình và đến gặp bác sĩ để tìm ra nguyên nhân. Hầu hết các trường hợp chảy máu chân răng sẽ giảm bớt và biến mất khi sử dụng các biện pháp sau:
Lấy vôi răng
Điều quan trọng là phải loại bỏ tất cả vôi răng, mảng bám răng gây viêm nướu, tụt nướu. Sau đó, tùy vào tình trạng nướu bị nhiễm trùng mà bác sĩ sẽ chỉ định thêm các loại thuốc đặc trị để nướu hồi phục hoàn toàn.

Lấy vôi răng là phương pháp phổ biến khi xử lý chảy máu chân răng
Chữa sâu răng
Nếu bạn bị sâu răng, điều cực kỳ quan trọng là phải điều trị ngay lập tức. Thông thường các bác sĩ sẽ trám các lỗ sâu răng, ngăn chặn thức ăn thừa và vi khuẩn gây viêm nướu.
Chỉnh răng lệch lạc
Nếu răng bị lệch lạc ảnh hưởng đến chức năng ăn nhai, yếu tố thẩm mỹ hoặc là nguyên nhân gây viêm nướu, chảy máu nướu, bác sĩ cũng có thể chỉ định thêm biện pháp chỉnh nha để khắc phục.
Nếu nguyên nhân chảy máu chân răng là do bệnh lý toàn thân thì người bệnh phải đến gặp bác sĩ chuyên khoa để có hướng khắc phục. Mặc dù hiện nay không còn nguy hiểm nhưng bạn không được chủ quan với tình trạng chảy máu chân răng bởi đây là dấu hiệu cảnh báo của các vấn đề về răng miệng hoặc bệnh lý cơ thể.
Cách phòng ngừa chảy máu chân răng
Để ngăn ngừa chảy máu chân răng hiệu quả tối đa, điều bạn cần làm là ăn uống đủ chất và bổ sung dưỡng chất cho cơ thể. Đồng thời hãy chăm sóc sức khỏe răng miệng đúng cách.
- Nên sử dụng bàn chải có lông mềm và chải nhẹ nhàng, tránh gây hại cho vùng nướu.
- Ngừng hút thuốc và sử dụng chất kích thích.
- Kiểm tra tình trạng răng miệng và lấy vôi răng định kỳ 6 tháng/lần.

Hãy chăm sóc răng miệng đúng cách để ngăn ngừa các bệnh lý nguy hiểm
Hơn 90% dân số Việt Nam mắc các bệnh về răng miệng. Điều đó cho thấy rằng chúng ta không chăm sóc đúng cách sức khỏe răng miệng. Khi răng gặp vấn đề, nó cũng sẽ ảnh hưởng đáng kể đến các cấu trúc cơ quan khác nhau trong cơ thể. Do đó, điều cần thiết là phải chăm sóc răng miệng khoa học, thăm khám sức khỏe định kỳ. Và nếu bạn có bất kỳ vấn đề gì, bạn nên đến ngay nha khoa uy tín để được kiểm tra tránh những biến chứng nguy hiểm. Mọi thắc mắc vui lòng liên hệ Nha Khoa Nhân Tâm để được tư vấn thêm nhé!



