Khi răng khôn hàm trên mọc thẳng và không bị cản trở, bạn có thể không cần phải nhổ bỏ chúng. Tuy nhiên trong trường hợp răng mọc bất thường, gây ra các cơn đau nhức, sưng viêm nướu, răng khôn bị sâu hoặc làm xô lệch cả hàm răng thì bạn cần loại bỏ chúng ngay. Khi nhận thấy răng khôn hàm trên đang mọc, bạn hãy tới trung tâm nha khoa uy tín để thăm khám, dựa vào kết quả khám, các bác sĩ sẽ tư vấn cho bạn có nên nhổ răng khôn hàm trên hay không.
Khi nào cần nhổ răng khôn hàm trên?
Việc loại bỏ răng khôn hàm trên có cần thiết hay không sẽ tùy thuộc rất nhiều vào hướng răng mọc. Chúng sẽ rất nguy hiểm nếu mọc ngầm, mọc ngang và gây ra các tổn hại về sức khỏe. Nếu gặp phải một trong những vấn đề sau đây thì bạn nên đến gặp bác sĩ và tiến hành nhổ răng khôn hàm trên càng sớm càng tốt nhé.
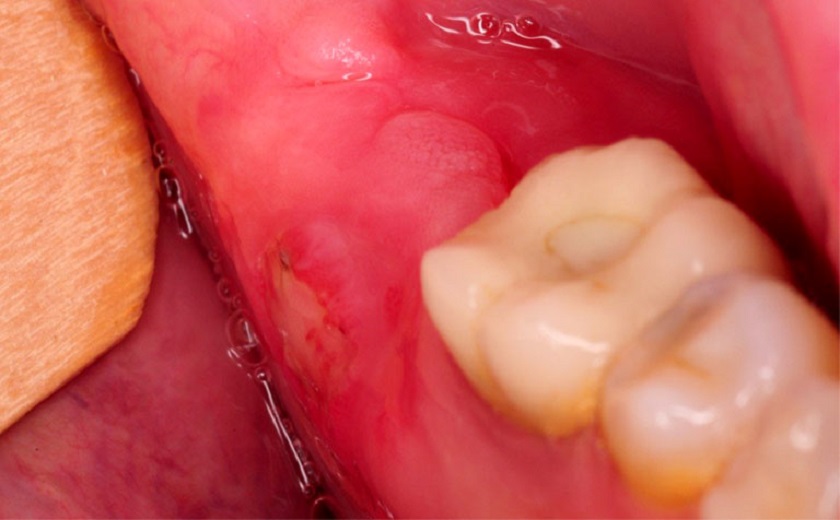
Răng khôn gây sưng viêm nướu và sốt
Đa số răng khôn khi mọc lên đều gây đau nhức và sưng nướu. Tuy nhiên, nếu răng khôn mọc đúng hướng thì cảm giác đau sẽ chấm dứt hoàn toàn khi quá trình mọc kết thúc. Thời gian răng mọc hết có thể kéo dài từ vài tháng đến vài năm. Đối với những người có răng mọc ngầm, mọc lệch thì sẽ dẫn đến hiện tượng sưng đỏ, viêm nhiễm, có mủ và cơn đau sẽ nặng nề hơn rất nhiều. Lúc này, bạn nên nhổ bỏ chúng để ngăn ngừa các biến chứng về sau.

Răng khôn gây sưng viêm nướu
Răng số 8 bị sâu và lây lan sang răng kế bên
Vì răng khôn mọc ở góc hàm, việc vệ sinh khó khăn hơn nên chúng dễ bị sâu hơn các răng khác. Bên cạnh đó nếu răng mọc lệch và tạo thành khe giắt với răng bên cạnh khiến thức ăn thường xuyên mắc lại thì nguy cơ sâu lại càng cao. Nếu không chữa trị hoặc chữa trị không hoàn toàn thì vết sâu sẽ lan ngày càng rộng và lây sang răng số 7. Nghiêm trọng hơn, bạn thậm chí có thể mất cả răng số 7.
Làm cả hàm răng bị xô lệch
Răng khôn mọc ngầm hay mọc lệch sẽ gây ảnh hưởng đến toàn bộ hàm răng sau một thời gian khiến cho các răng khác trên cung hàm bị dịch chuyển, xô lệch vào nhau. Điều này không chỉ ảnh hưởng đến thẩm mỹ mà còn làm chức năng ăn nhai bị suy giảm.
Nhổ răng khôn hàm trên gây đau nhiều không?
Trước kia, nhiều người sẽ nghĩ ngay đến ống tiêm, kìm nhổ răng, máy khoan,… khi nhắc tới việc nhổ răng khôn, khiến họ sợ sệt và e ngại. Tuy nhiên, với sự phát triển của y học hiện đại ngày nay thì cảm giác đau nhức khi nhổ răng sẽ được giảm thiểu một cách tối đa.
Đặc biệt là kỹ thuật nhổ răng khôn bằng máy siêu âm Piezotome. Với kỹ thuật nhổ răng khôn không đau này, quy trình loại bỏ một chiếc răng khôn sẽ chỉ mất từ 15 đến 30 phút. Thương tổn sau nhổ cũng sẽ hồi phục nhanh chóng phục hồi, giúp khách hàng không bị sưng đau, ê nhức nhiều.

Nhổ răng khôn hàm trên không đau nhức với máy siêu âm Piezotome
Nhổ răng khôn hàm trên hay hàm dưới khó hơn?
Nếu xét về độ phức tạp, độ khó thì việc nhổ răng khôn ở hai hàm sẽ không có sự chênh lệch mấy. Tuy nhiên, khi so sánh thì nhổ răng số 8 ở hàm dưới sẽ thuận lợi hơn so với hàm trên. Cụ thể là thuận lợi hơn cho bác sỹ khi thực hiện các thao tác. Hơn nữa, răng số 8 ở hàm dưới sẽ xa dây thần kinh thị giác hơn hàm trên, không ít trường hợp răng số 8 hàm trên mọc quá lệch nên khi nhổ đã làm dây thần kinh thị giác bị ảnh hưởng, gây sưng má.
Tuy nhiên, bạn cũng không cần quá lo về vấn đề này. Nếu được tiến hành bởi bác sỹ có chuyên môn và kinh nghiệm thì quá trình nhổ sẽ diễn ra rất nhanh chóng, thuận lợi và an toàn. Điều quan trọng nhất là bạn cần tìm hiểu và chọn lựa chọn được cơ sở nha khoa uy tín và bác sĩ có tay nghề tốt để chắc chắn rằng các tình huống xảy ra đều có thể được khắc phục và không gây nguy hiểm gì.
Xem thêm: Giảm đau khi mọc răng khôn hiệu quả với các thảo dược tự nhiên
Việc nhổ răng khôn hàm trên là cần thiết trong đa số trường hợp bởi chiếc răng này thường mọc lệch, mọc ngang do mọc sau cùng khi cung hàm đã không còn khoảng trống. Để được thăm khám và xác định chính xác tình trạng răng của mình cũng như hướng điều trị phù hợp, bạn hãy liên hệ ngay với Nha khoa Nhân Tâm qua số điện thoại đường dây nóng 1900 56 5678.



