Kẻ răng bị đen có thể xảy ra do mảng bám, vôi răng tích tụ lâu ngày hoặc do sâu răng. Khi đó, bạn cần đến nha khoa thăm khám và điều trị triệt để.
Các phương pháp thường được áp dụng để cải thiện tình trạng đen kẻ răng là cạo vôi răng, điều trị sâu răng và trám răng hoặc bọc răng sứ. Hãy tham khảo ý kiến bác sĩ để biết đâu là phương án thích hợp với tình trạng răng miệng của mình.
Nguyên nhân khiến kẻ răng bị đen
Các nguyên nhân dẫn đến tình trạng đen kẻ răng thường gặp nhất là:
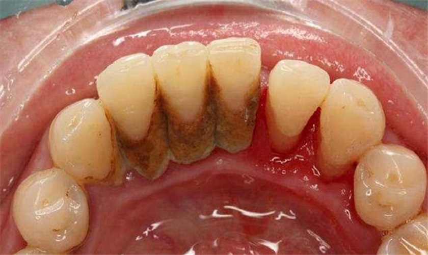
Sự tích tụ vôi răng làm kẻ răng bị đen
Đây là nguyên nhân phổ biến và có thể xảy ra đối với bất kì ai nếu việc vệ sinh răng miệng không được thực hiện thường xuyên và đúng cách.
Sau mỗi bữa ăn, nếu thức ăn thừa không được loại bỏ hoàn toàn sẽ hình thành nên mảng bám trên bề mặt răng. Qua thời gian, những mảng bám này sẽ vôi hóa, cứng lại, trở thành vôi răng và khiến cho viền răng hoặc kẽ răng xuất hiện các vệt màu nâu đen.
Các mảng vôi răng còn là môi trường lý tưởng cho vi khuẩn trú ngụ và phát triển, gây nên nhiều bệnh lý răng miệng khác như hôi miệng, sâu răng, viêm nướu,…

Kẻ răng bị đen do mảng bám, vôi răng tích tụ lâu ngày
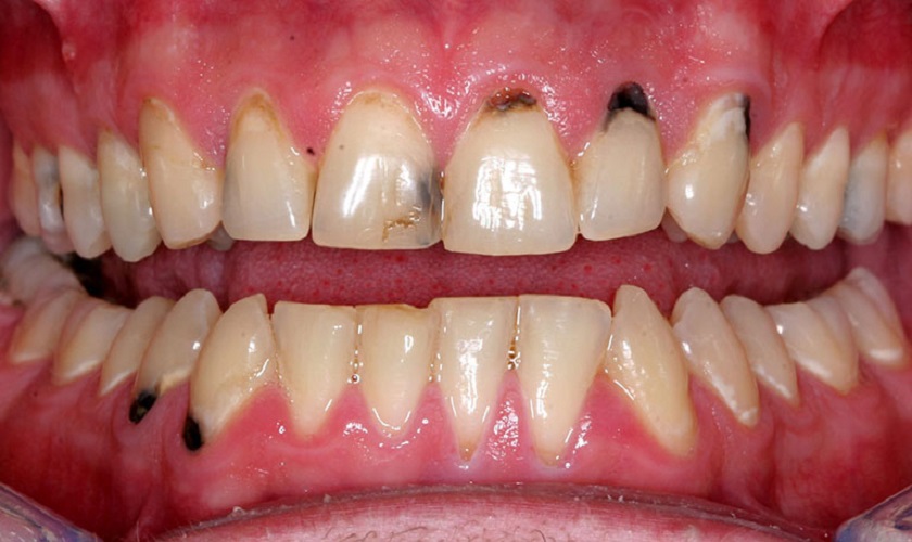
Đen kẻ răng do sâu răng
Không giống như trường hợp vôi răng bám bên ngoài bề mặt răng đã nêu phía trên, khi sâu răng diễn ra khiến kẻ răng bị đen tức là lớp men răng đã bị ảnh hưởng.
Sâu răng có thể phát triển ở cổ chân răng, khe giữa 2 răng hoặc bất cứ vị trí nào khác. Tại khu vực răng sâu, men răng đã bị phá hủy tạo thành các lỗ sâu hoặc các vệt đen tại rãnh răng, kẽ răng.
Tình trạng này không những ảnh hưởng đến thẩm mỹ mà còn khiến người mắc bị đau nhức, ê buốt răng và đối diện với nguy cơ viêm tủy răng.

Đen kẻ răng do sâu răng
Biện pháp khắc phục tình trạng kẻ răng bị đen
Khi gặp phải tình trạng đen kẻ răng,bạn nên tới trung tâm nha khoa gần nhất có chất lượng, uy tín để thăm khám và nhận tư vấn của bác sĩ chuyên khoa về biện pháp khắc phục phù hợp. Với mỗi nguyên nhân làm đen răng, ngả màu răng, giải pháp điều trị sẽ khác nhau.
Trường hợp đen kẻ răng do mảng bám, vôi răng
Trường hợp răng bị đen, ngả màu do mảng bám, vôi răng thì bác sẽ giúp bạn làm sạch vùng răng đó. Phương pháp cạo vôi răng, đánh bóng răng sẽ mang lại hàm răng trắng sáng, sạch sẽ cho bạn một cách nhanh chóng.
Quá trình cạo vôi răng diễn ra rất nhanh chóng và đơn giản. Tại Nha khoa Nhân Tâm, việc này sẽ được thực hiện bằng máy cạo vôi răng siêu âm tân tiến nhất. Toàn bộ quá trình điều trị sẽ không gây ra bất cứ cảm giác khó chịu hay đau nhức nào.

Cạo vôi răng giúp lấy lại hàm răng sạch sẽ một cách nhanh chóng
Trường hợp lớp vôi răng hoặc mảng bám ở sâu dưới nướu thì mức độ can thiệp sẽ nhiều hơn. Khi đó, bạn có thể cảm thấy hơi ê nhức một chút nhưng cảm giác này sẽ nhanh chóng chấm dứt.
Xem thêm: 5 cách trị ê buốt răng tại nhà bạn không nên bỏ qua
Trường hợp đen kẻ răng do sâu răng
Trong tình huống này, chiếc răng bị sâu cần được điều trị triệt để. Trước tiên, bác sĩ sẽ tiến hành nạo sạch khu vực bị sâu và đưa ra hướng xử lý thích hợp tùy theo tình trạng răng:
- Trám răng: Áp dụng khi sâu răng còn ở mức độ nhẹ, diện tích thương tổn nhỏ. Vật liệu trám răng được sử dụng phổ biến hiện nay là composite với màu sắc tương tự như răng thật, nhờ vậy mà tính thẩm mỹ được đảm bảo. Tuy nhiên, sau vài năm sử dụng, miếng trám sẽ bong ra và bạn cần tiến hành trám lại.

Kỹ thuật trám răng bằng composite
- Bọc răng sứ: Biện pháp này thường được áp dụng khi diện tích răng bị hư hại lớn và kỹ thuật trám răng thông thường không mang lại hiệu quả. Bọc răng sứ không chỉ giúp khôi phục thẩm mỹ mà còn bảo vệ răng khỏi tác động của các yếu tố gây hại như vi khuẩn, axit bào mòn men răng.
Như vậy, tình trạng kẻ răng bị đen hoàn toàn có thể khắc phục được nhờ các kỹ thuật của nha khoa hiện đại. Tuy nhiên, phòng bệnh vẫn hơn chữa bệnh, bạn nên chú ý hơn đến vấn đề chăm sóc răng miệng và khám răng định kỳ tại nha khoa mỗi 6 tháng để kịp thời phát hiện và xử lý các vấn đề răng miệng khi còn nhẹ.
*Chụp phim X-Quang hoặc phim 3 chiều CT Cone Beam là một bước quan trọng trong quy trình điều trị phục hồi răng. Vì vậy Khách hàng sẽ được Bác sĩ của nha khoa Nhân Tâm chỉ định đến các cơ sở y tế đủ chức năng để thực hiện trước khi điều trị.


