Hô do hàm xảy ra khi sự phát triển của xương hàm trên vượt quá mức bình thường, không cân đối với xương hàm dưới. Còn hô do răng là hiện tượng các răng trên khuôn hàm không mọc theo hướng thẳng bình thường mà có xu hướng chìa ra phía trước trong khi xương hàm vẫn phát triển bình thường.
Để xác định chính xác tình trạng hô là do hàm hay răng, mức độ hô nặng hay nhẹ, bạn cần tới phòng khám nha khoa để bác sĩ thăm khám, đo đạc, chụp X – quang hàm. Từ đó lập kế hoạch điều trị thích hợp. Các biện pháp khắc phục được áp dụng có thể là bọc răng sứ, niềng răng hoặc phẫu thuật hàm.
Khái quát về tình trạng răng hô
Răng hô là một trong những dạng sai khớp cắn thường gặp, trong đó hàm răng trên và hàm răng dưới không cân đối, ăn khớp với nhau theo tỉ lệ chuẩn, hàm răng trên bị chìa ra ngoài quá mức so với hàm dưới.
Khiếm khuyết này làm khuôn mặt mất đi sự cân đối, trở nên kém duyên và khiến người mắc mất đi sự tự tin trong giao tiếp. Hơn nữa, khớp cắn sai lệch sẽ gây ảnh hưởng xấu đến hoạt động ăn nhai, hệ tiêu hóa, thời gian dài còn gây đau khớp thái dương hàm.
Nguyên nhân gây răng hô chủ yếu là do di truyền, chiếm tỉ lệ khoảng 70% các trường hợp mắc, còn lại là hệ quả từ các thói quen khi còn nhỏ như mút tay, cắn môi dưới, thường xuyên chống cằm, đưa lưỡi ra trước,…
Phân biệt hô do hàm và hô do răng
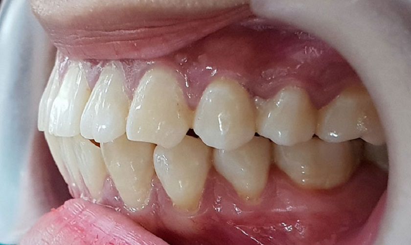
Thế nào là hô do răng?

Tình trạng hô do răng
Hô do răng là hiện tượng các răng trên khuôn hàm không mọc theo hướng thẳng bình thường mà có xu hướng chìa ra phía trước. Xương hàm vẫn phát triển bình thường.
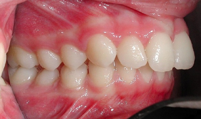
Thế nào là hô do hàm?
Hô do hàm xảy ra khi sự phát triển của xương hàm trên vượt quá mức bình thường, không cân đối với xương hàm dưới dẫn đến hô do hàm.
Trong trường hợp này, các răng trên cung hàm vẫn mọc đúng theo phương thẳng nhưng do xương hàm phát triển quá mức nên hàm trên bị nhô ra trước quá nhiều, khiến gương mặt mất đi sự cân đối, hài hòa.

Tình trạng hô do hàm
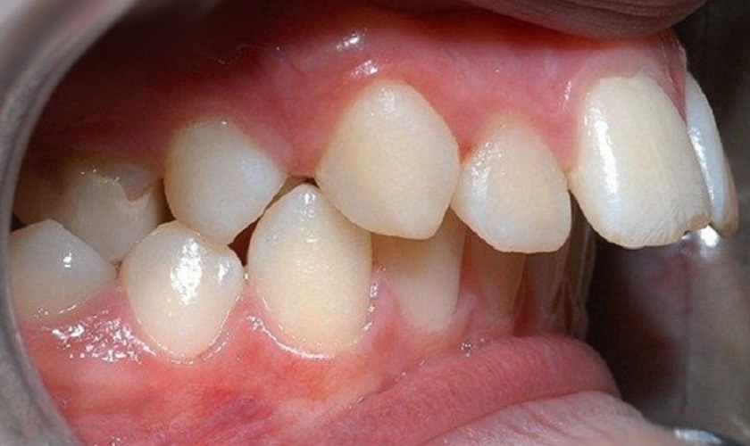
Hô do cả hàm và răng
Đây là một hiện tượng hô khá nghiêm trọng. Ở những người này xuất hiện cả tình trạng răng mọc lệch và xương hàm trên phát triển quá mức.
Khi gặp khiếm khuyết này, môi trên thường khó che phủ hết răng, làm ảnh hưởng nghiêm trọng đến tính thẩm mỹ, người mắc cảm thấy tự ti, sống trầm lặng, khép kín hơn.

Tình trạng hô do cả hàm và răng
Để xác định tình trạng hô của bạn là hô do hàm hay do răng một cách chính xác nhất, bạn cần tới phòng khám nha khoa để bác sĩ thăm khám, đo đạc, chụp X – quang hàm và thực hiện các phương pháp chuyên sâu khác, có như vậy mới đánh giá được mức độ hô và nguyên nhân gây hô. Từ đó lập kế hoạch điều trị thích hợp.
Xem thêm: Kỹ thuật và thời điểm cần điều trị nội nha như thế nào?
Phương pháp điều trị hô trong từng trường hợp
Điều trị hô do răng
Tùy vào mức độ, tình trạng răng và nhu cầu bản thân mà người bị hô do răng có thể lựa chọn phương án khắc phục như sau:
1. Bọc răng sứ

Bọc răng sứ có thể giúp bạn cải thiện hô do răng mức độ nhẹ
Bọc răng sứ thẩm mỹ sẽ phù hợp với những người hô răng mức độ nhẹ. Khi thực hiện, bác sĩ sẽ mài đi một phần men răng mỏng, sau đó bọc mão sứ với màu sắc, hình dáng tương tự răng thật ra bên ngoài, giúp răng trắng sáng và đều đặn hơn.
2. Niềng răng
Niềng răng là kỹ thuật nắn chỉnh các răng bị chìa ra trước, mọc sai vị trí, giúp răng ngăn ngắn, thẳng hàng, thẩm mỹ hơn và đưa khớp cắn về lại trạng thái cân đối bằng lực kéo tạo ra từ mắc cài, dây cung hoặc khay niềng trong suốt.
Điều trị hô do hàm
Nếu nguyên nhân gây hô là sự phát triển xương hàm quá mức thì bác sĩ sẽ chỉ định bạn phẫu thuật hàm hoặc kết hợp cả phẫu thuật hàm và niềng răng.
Trường hợp các răng vẫn mọc đều đặn theo đúng hướng, chỉ có xương hàm phát triển bất thường thì bạn chỉ cần tiến hành phẫu thuật hàm, thu gọn xương hàm trên để tạo sự cân đối, hài hòa so với xương hàm dưới.
Trường hợp xuất hiện bất thường cả ở xương và răng thì bác sĩ có thể chỉ định phẫu thuật hàm kết hợp niềng răng. Tùy theo tình trạng cụ thể của mỗi khách hàng mà bác sĩ sẽ tư vấn chỉnh nha trước hoặc phẫu thuật hàm trước để đạt được kết quả tốt nhất.

Cần phẫu thuật hàm với các trường hợp hô do hàm
Như vậy, để phân biệt đúng tình trạng của mình là hô do hàm hay do răng và nắm được cách khắc phục phù hợp, bạn nên tới một phòng khám nha khoa uy tín thăm khám, thực hiện các biện pháp chẩn đoán hình ảnh và nhận tư vấn từ bác sĩ chuyên khoa.
Hãy liên hệ qua tổng đài 1900 56 5678 hoặc tới trực tiếp phòng khám của Nha khoa Nhân Tâm để được thăm khám, tư vấn miễn phí với các chuyên gia nhé.
*Chụp phim X-Quang hoặc phim 3 chiều CT Cone Beam là một bước quan trọng trong quy trình điều trị phục hồi răng. Vì vậy Khách hàng sẽ được Bác sĩ của nha khoa Nhân Tâm chỉ định đến các cơ sở y tế đủ chức năng để thực hiện trước khi điều trị.



