Sau khi cạo vôi răng bao lâu mới được ăn? Bác sĩ cho biết, bạn có thể ăn uống ngay sau khi cạo vôi răng. Tuy nhiên, để bảo vệ sức khỏe răng miệng, bạn nên ăn uống hợp lý, kiêng cữ một số thực phẩm cứng, dai, dính, quá nóng hay quá lạnh. Đồng thời cần chăm sóc răng theo chỉ dẫn của Bác sĩ để hạn chế vôi răng hình thành, cho răng chắc khỏe hơn.
Lợi ích của việc cạo vôi răng
Trước khi giải đáp sau khi cạo vôi răng bao lâu mới ăn được thì Nhân Tâm sẽ giúp bạn làm rõ những lợi ích của việc cạo vôi răng.
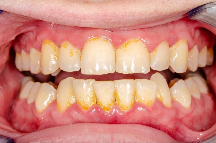
Vôi răng là mảng bám dày và cứng, có màu vàng hoặc nâu bám trên bề mặt răng và kẽ nướu, được hình thành do các thành phần có trong nước bọt phản ứng với mảng bám thức ăn thừa tạo ra hiện tượng vôi hóa.
Vôi răng là môi trường lý tưởng cho các vi khuẩn có hại sinh sôi và phát triển, tăng nguy cơ mắc các bệnh về răng miệng như sâu răng, viêm nướu, viêm nha chu, mất răng, hôi miệng…

Vôi răng làm tăng nguy cơ mắc các bệnh lý răng miệng và gây đổi màu răng
Bên cạnh đó, vôi răng bám còn làm đổi màu răng, khiến hàm răng trở nên ố vàng kém duyên, gây tâm lý tự ti, ngại cười, ngại giao tiếp.
Vôi răng không thể được loại bỏ bằng cách vệ sinh răng miệng tại nhà mà cần được cạo vôi răng chuyên nghiệp tại phòng khám nha khoa uy tín. Việc cạo vôi răng có ý nghĩa giúp làm sạch răng, tiêu diệt vi khuẩn, ngăn ngừa bệnh lý về răng, từ đó giúp răng chắc khỏe.
Bên cạnh đó, sau khi cạo vôi răng, răng sẽ trở nên trắng sáng hơn, nụ cười sẽ trở nên rạng rỡ và tự tin hơn.
Sau khi cạo vôi răng bao lâu mới được ăn?
Tiếp theo, Nha khoa Nhân Tâm mời bạn tìm hiểu về cách cạo vôi răng và sau khi cạo vôi răng bao lâu mới được ăn.
Cạo vôi răng là quá trình loại bỏ vôi răng bằng các dụng cụ và công nghệ nha khoa chuyên dụng.

Công nghệ cạo vôi răng siêu âm an toàn, không đau
Xem thêm: Quy trình thực hiện cạo vôi răng siêu âm
Tại Nha khoa Nhân Tâm, quy trình cạo vôi răng được thực hiện bởi Bác sĩ có tay nghề cao, ứng dụng công nghệ siêu âm với tần số thích hợp, nhẹ nhàng loại bỏ vôi răng trên bề mặt răng và sâu bên dưới nướu mà không gây chảy máu hay ê buốt răng, đảm bảo an toàn khi thực hiện.
Thời gian cạo vôi răng chỉ mất khoảng 15-30 phút tùy theo mức độ vôi răng của Khách hàng. Sau khi cạo vôi răng, Khách hàng sẽ được đánh bóng răng để giúp răng sáng và bóng hơn, đồng thời được hướng dẫn chăm sóc kỹ lưỡng để bảo vệ răng miệng tốt nhất.

Cạo vôi răng chuyên nghiệp tại Nha khoa Nhân Tâm
Vậy thì sau khi cạo vôi răng bao lâu mới được ăn? Bạn có thể ăn uống bình thường ngay sau khi cạo vôi răng. Tuy nhiên, nên ăn những thức ăn mềm, tránh những thực phẩm quá dai cứng hay quá nóng lạnh. Bên cạnh đó, bạn nên chú ý chăm sóc, vệ sinh răng miệng kỹ lưỡng để tránh vôi răng tái bám.
Chăm sóc răng sau khi cạo vôi răng
Sau khi cạo vôi răng thì bạn cần lưu ý chăm sóc răng đúng cách như sau:
- Tránh ăn những thực phẩm quá dai cứng, dễ bám dính vì chúng sẽ khiến răng hoạt động mạnh và dễ bị nứt, mẻ răng
- Tránh ăn thực phẩm quá nóng hoặc quá lạnh vì nhiệt độ có thể khiến răng nhạy cảm hơn, dễ bị ê buốt
- Hạn chế thực phẩm giàu đường hoặc giàu axit vì dễ làm mòn men răng, tạo điều kiện cho vi khuẩn tấn công gây sâu răng…
- Uống đủ nước để đảm bảo miệng không bị khô
- Tăng cường thực phẩm tốt cho răng như thịt, cá, trứng, sữa, rau xanh…

Tăng cường thực phẩm tốt cho răng giúp bảo vệ răng chắc khỏe
- Đánh răng bằng bàn chải lông mềm 2 lần/ ngày theo hướng dẫn của nha sĩ, súc miệng ngay sau khi ăn để hạn chế thực phẩm thừa bám trên răng.
- Sử dụng kem đánh răng phù hợp, nên dùng chỉ nha khoa và nước súc miệng để hỗ trợ loại bỏ thức ăn thừa và tiêu diệt vi khuẩn Thăm khám nha khoa và cạo vôi răng định kỳ 6 tháng/ lần để theo dõi sức khỏe răng miệng, loại bỏ vôi răng giúp răng khỏe, đẹp.
Chúng tôi vừa tư vấn cho bạn sau khi cạo vôi răng bao lâu mới được ăn và cách chăm sóc sau khi cạo vôi răng. Để đặt lịch cạo vôi răng siêu âm cùng chuyên gia, bạn vui lòng liên hệ Hotline 1900 56 5678. Chúc bạn luôn sở hữu hàm răng chắc khỏe và nụ cười rạng rỡ.




