Bọc răng sứ hiện đang là dịch vụ được khá nhiều người ưa chuộng, giúp khắc phục các khuyết điểm như: răng bị gãy, mẻ, thưa, không đều, sậm màu,… Với thủ thuật này, bác sĩ sẽ mài đi một phần răng thật và bọc một mão sứ lên trên, bảo đảm chức năng nhai và mang lại thẩm mỹ cao cho hàm răng.
Giá bọc răng sứ rất đa dạng, tùy thuộc vào các yếu tố như: số lượng răng sứ cần bọc, tình trạng răng miệng của mỗi người, chất liệu răng sứ cũng như chất lượng dịch vụ của nha khoa. Tại Nha khoa Nhân Tâm, chi phí răng sứ dao động từ 2,8 triệu – 7 triệu/ 1 răng, tùy vào loại sứ mà bạn lựa chọn. Mức giá này hoàn toàn tương xứng với kết quả mà bạn nhận được.
Những yếu tố ảnh hưởng đến chi phí bọc răng sứ
Để giải đáp câu hỏi “Bọc răng sứ giá bao nhiêu?”, các chuyên gia hàng đầu cho biết: Không thể đưa ra một con số cụ thể cho giá bọc răng sứ, bởi mức chi phí này còn phụ thuộc vào rất nhiều yếu tố, trong đó có thể kể đến như:
Tình trạng răng miệng
Tùy thuộc vào tình trạng răng miệng của từng khách hàng mà giá bọc răng sứ sẽ khác nhau. Nếu khách hàng mắc phải các bệnh lý như: sâu răng, viêm nướu, viêm tủy răng,… thì cần phải điều trị triệt để các bệnh lý này trước khi bọc sứ. Do đó, bên cạnh chi phí răng sứ sẽ mất thêm khoảng chi phí này. Ngoài ra, số lượng răng cần bọc sứ càng nhiều thì chi phí sẽ càng cao và ngược lại.
Loại vật liệu sứ được sử dụng
Hiện nay có rất nhiều loại vật liệu sứ, đây cũng là yếu tố ảnh hưởng đến giá bọc răng sứ. Mỗi loại vật liệu sứ sẽ có những ưu nhược điểm khác nhau và giá thành vì thế cũng có sự chênh lệch. Tùy thuộc vào nhu cầu cũng như điều kiện kinh tế của bản thân mà bạn có thể lựa chọn loại răng sứ phù hợp.

Giá bọc răng sứ còn tùy thuộc vào loại sứ mà bạn lựa chọn
Thông thường, nếu bạn phục hình sứ cho răng cửa thì nên lựa chọn các loại răng sứ toàn sứ để đảm bảo tính thẩm mỹ cho răng, tuổi thọ lâu dài với thời gian. Còn đối với những răng nằm ở bên trong, khi cười không nhìn thấy, không cần đòi hỏi thẩm mỹ cao thì có thể lựa chọn các loại răng sứ kim loại thường hay titan để tiết kiệm chi phí.
Địa chỉ nha khoa chọn làm sứ
Nhu cầu thẩm mỹ răng ngày càng cao, kéo theo sự ra đời của hàng loạt nha khoa cung cấp dịch vụ bọc răng sứ. Hiện nay, bạn có thể dễ dàng tìm thấy một nha khoa bọc răng sứ với giá rẻ bất ngờ. Tuy nhiên, bạn đừng quá quan tâm đến vấn đề chi phí mà bỏ qua yếu tố chất lượng. Hãy tìm hiểu thật kỹ và lựa chọn cho mình địa chỉ phòng khám nha khoa uy tín, ở đó có các bác sĩ chuyên khoa giàu kinh nghiệm, công nghệ hiện đại, quy trình chuẩn y khoa quốc tế để đảm bảo mang lại kết quả bọc răng sứ tốt nhất.
Xem thêm: Trồng răng sứ giá bao nhiêu tại Nha Khoa Nhân Tâm
Bảng giá bọc răng sứ tại Nha khoa Nhân Tâm
Nha khoa Nhân Tâm được biết đến là một trong những trung tâm nha khoa uy tín hàng đầu tại TP.HCM. Nơi đây cung cấp đa dạng các dịch vụ nha khoa, trong đó dịch vụ bọc răng sứ được xem là thế mạnh vượt trội.
Khi thực hiện bọc răng sứ tại Nha khoa Nhân Tâm, bạn sẽ được bác sĩ thăm khám tổng quát tình trạng răng miệng, tư vấn phương pháp điều trị tốt nhất cũng như bảng giá bọc răng sứ cụ thể để bạn có thể tham khảo và đưa ra sự lựa chọn phù hợp nhất với mình.
Từ bảng giá bọc răng sứ tại Nha khoa Nhân Tâm trên, bạn có thể thấy giá răng sứ dao động trong khoảng 2,8 triệu – 7 triệu/ 1 răng, tùy thuộc vào loại sứ mà bạn lựa chọn. Mức giá này hoàn toàn tương xứng với kết quả mà bạn nhận được bởi những lý do như sau:
Đội ngũ bác sĩ giỏi, chuyên sâu trong lĩnh vực răng sứ thẩm mỹ, đã từng có thời gian tu nghiệp ở nước ngoài và nhiều năm kinh nghiệm trong nghề. Hơn hết, các bác sĩ luôn đề cao y đức, đặc biệt tận tâm trong công việc, đem lại sự hài lòng tuyệt đối và kết quả điều trị hoàn hảo cho khách hàng.

Nha khoa Nhân Tâm quy tụ đội ngũ bác sĩ giỏi, chuyên sâu trong lĩnh vực răng sứ thẩm mỹ
Ứng dụng công nghệ kỹ thuật số trong việc phục hình răng sứ từ khâu thiết kế, chế tác đến khâu phục hình sứ. Từ đó giúp răng sứ chuẩn xác, tinh tế, sắc sảo đến từng chi tiết, đồng thời rút ngắn thời gian điều trị cho các khách hàng.
Nha khoa Nhân Tâm là một trong số ít những nha khoa có Labo chế tạo răng sứ riêng. Nhờ đó bác sĩ có thể dễ dàng trao đổi với kỹ thuật viên để đem lại răng sứ có form và màu sắc như ý muốn của khách hàng, với mức giá tiết kiệm nhất và rút ngắn thời gian vì không phải qua bất kỳ một trung gian nào.
Phòng vô trùng được xây dựng theo quy trình khép kín, tuân thủ nghiêm ngặt tiêu chuẩn của Bộ Y tế, loại bỏ hoàn toàn khả năng lây nhiễm chéo. Bên cạnh đó, mỗi khách hàng là một phòng điều trị riêng biệt và một bộ dụng cụ riêng, bảo đảm an toàn và sự riêng tư cho khách hàng.
Chính sách bảo hành lâu dài, hỗ trợ trả góp với lãi suất 0%. Đặc biệt, đội ngũ nhân viên chuyên nghiệp, tận tình sẽ luôn hỗ trợ kịp thời bất cứ khi nào khách hàng cần.


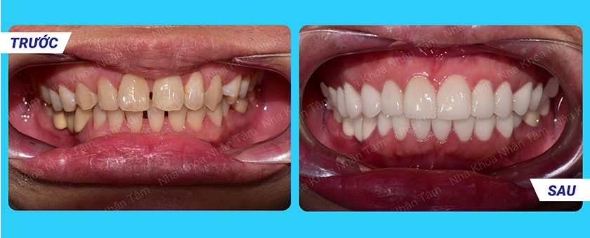
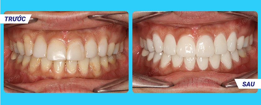
Khách hàng bọc răng sứ tại Nha khoa Nhân Tâm
Trên đây chúng tôi đã phân tích một số yếu tố ảnh hưởng đến giá bọc răng sứ và cho bạn biết bảng giá bọc răng sứ tại Nha khoa Nhân Tâm hiện nay là bao nhiêu. Để có được chi phí chính xác cho trường hợp của mình, bạn cần đến gặp trực tiếp bác sĩ để thăm khám và tư vấn cụ thể.




