Đau răng bên phải hàm dưới cảnh báo nhiều bệnh lý răng miệng nghiêm trọng, cần được điều trị khẩn cấp để tránh ảnh hưởng đến chức năng ăn nhai của bệnh nhân.
Nguyên nhân đau răng bên phải hàm dưới
Đau răng bên phải hàm dưới thường do các bệnh lý răng miệng gây ra. Tùy theo tình trạng bệnh lý mà sẽ có mức độ đau nhiều hoặc ít. Các bệnh lý phổ biến gây ra tình trạng đau răng bên phải hàm dưới bao gồm:
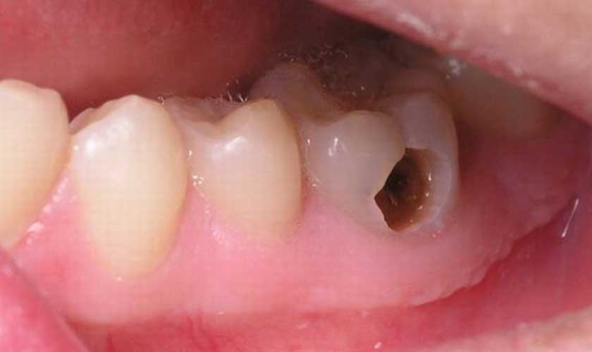
Sâu răng
Sâu răng là tình trạng cấu trúc răng bị tổn thương, mất khoáng hóa dẫn đến hình thành các lỗ sẫm màu trên bề mặt răng do vi khuẩn tấn công.
Sâu răng là một quá trình tiến triển từ sâu men răng 🡪 sâu ngà răng 🡪 sâu tủy răng. Ở giai đoạn sâu men răng, bệnh nhân sẽ không cảm thấy điều gì bất thường ở trên răng. Khi sâu ngà răng, bệnh nhân sẽ cảm thấy ê buốt răng khi có các tác nhân kích thích như thức ăn nóng, lạnh, thức ăn chua… Khi bệnh nhân cảm thấy đau nhức, tức là khả năng sâu đã lan vào tủy răng gây nhiễm trùng tủy.

Sâu răng là nguyên nhân hàng đầu gây đau răng bên phải
Viêm tủy răng
Tủy răng bị nhiễm trùng do sâu răng, mòn răng, chấn thương răng… cũng là nguyên nhân hàng đầu gây đau răng bên phải hàm trên và hàm dưới. Nếu viêm tủy răng nhẹ thì cơn đau sẽ nhẹ và xuất hiện không thường xuyên. Nếu cơn đau thường xuyên và dữ dội, có thể đi kèm các triệu chứng như sưng, co cứng hàm, sốt, nổi hạch… thì báo động tình trạng viêm tủy cấp tính cần được điều trị ngay để tránh biến chứng nguy hiểm.
Viêm nướu, nha chu
Viêm nướu răng và viêm nha chu cũng gây cảm giác khó chịu, đau tức ở khu vực nướu răng bị viêm. Bệnh nhân sẽ cảm thấy đau, tuy nhiên cơn đau không quá dữ dội như khi bị viêm tủy răng. Biểu hiện đi kèm là tình trạng đỏ nướu, sưng nướu, răng bị lung lay, chảy máu chân răng.

Bệnh nhân được thăm khám và chụp phim để kiểm tra tình trạng đau răng
Áp-xe răng
Răng bị viêm tủy nếu không kịp thời điều trị sẽ gây nhiễm trùng lan rộng và gây ra tình trạng áp-xe chân răng, gây đau nhức nghiêm trọng, sốt, mưng mủ và gây nguy cơ nhiễm trùng máu, viêm mô tế bào…
Mọc răng khôn
Nếu đau răng bên phải là vị trí răng khôn thì khả năng răng khôn mọc gây đau nhức, khó chịu. Một người có thể mọc 4 răng khôn, 2 răng khôn hàm trên và 2 răng khôn hàm dưới. Do răng khôn mọc khi xương hàm đã hết chỗ trống nên thường có xu hướng mọc ngầm, mọc lệch gây đau nhức, kéo theo nhiều nguy cơ như viêm nướu trùm, hỏng răng số 7, sâu răng khôn…
Cách điều trị đau răng bên phải hàm dưới
Khi bị đau răng bên phải hàm dưới, bạn cần được thăm khám chuyên sâu để xác định nguyên nhân và tình trạng cụ thể, từ đó Bác sĩ sẽ chỉ định cách điều trị phù hợp.
Điều trị tình trạng đau răng bên phải hàm dưới do sâu răng
Để loại bỏ cơn đau do sâu răng, Bác sĩ sẽ tiến hành nạo bỏ mô răng bị sâu và phục hình bằng phương pháp trám răng thẩm mỹ. Nếu sâu răng lan vào tủy thì cần thực hiện lấy tủy răng bị viêm và phục hình răng sứ sau chữa tủy để bảo vệ răng thật, ngăn ngừa sâu răng.
Điều trị đau răng do viêm tủy răng
Khi tủy răng bị tổn thương, điều cần thiết chính là chữa tủy càng sớm càng tốt. Tủy bị nhiễm trùng sẽ được loại bỏ và Bác sĩ sẽ trám bít ống tủy bằng vật liệu chuyên dụng. Sau khi chữa tủy, răng trở nên yếu và giòn, dễ vỡ nên Bác sĩ sẽ khuyến cáo bạn bọc sứ để bảo vệ răng đã điều trị tủy.

Chữa tủy điều trị viêm tủy răng
Điều trị đau răng do viêm nướu, nha chu
Điều trị viêm nướu dứt điểm bằng cách lấy vôi răng. Nếu bị nha chu, bạn sẽ cần thăm khám và xác định mức độ bệnh và thực hiện điều trị ngay tại nha khoa.
Điều trị đau răng do áp-xe răng
Nếu nguyên nhân đau răng do áp-xe răng, thì Bác sĩ sẽ điều trị áp-xe răng bằng cách dẫn lưu mủ và kê đơn thuốc để tránh tình trạng viêm nhiễm.
Điều trị đau răng do mọc răng khôn
Bác sĩ sẽ khuyên bạn nhổ răng khôn khi răng khôn mọc lệch, mọc không có răng đối diện, răng khôn bị đau, răng khôn bị viêm nướu trùm hay răng khôn bị sâu.

Nhổ răng khôn hiện đại bằng công nghệ siêu âm Piezotome
Đau răng bên phải hàm dưới tiềm ẩn nhiều rủi ro cho sức khỏe răng miệng và sức khỏe toàn thân. Do đó, không nên để tình trạng này kéo dài mà hãy đến thăm khám trực tiếp và điều trị tại các địa chỉ nha khoa TP.HCM uy tín càng nhanh càng tốt nhé!




