Trong giải pháp Phần mềm Smile Design Pro (SDP), đầu tiên bạn sẽ được ghi nhận hình ảnh nụ cười dưới nhiều góc độ khác nhau cùng với một số phim X-quang đặc biệt giúp đánh giá và lập kế hoạch tại một studio nha khoa chuyên nghiệp bởi một đội ngũ kỹ thuật viên hình ảnh được huấn luyện và đào tạo với công nghệ SDP.
Thiết kế nụ cười là gì?
Thiết kế nụ cười hiểu một cách đơn giản là quy trình cải thiện nụ cười thông qua các bước như: Chữa nướu, lợi, tẩy trắng răng, chỉnh nha, trồng răng hay chỉnh hàm để có được nụ cười hài hòa và cân xứng với đường nét khuôn mặt.
Quy trình thiết kế nụ cười là sự kết hợp chặt chẽ giữa những kỹ thuật chăm sóc răng miệng với những ứng dụng công nghệ chỉnh nha, thông qua các phần mềm chuẩn đoán để có được kết quả cũng như định hướng các bước khắc phục khuyết điểm và đem lại nụ cười đẹp nhất bệnh nhân.
Xem thêm: Niềng răng quy trình chuẩn diễn ra thế nào?
Những tiêu chí cần biết khi thực hiện thiết kế nụ cười
Để có được kết quả thiết kế nụ cười tốt nhất thì các chuyên gia khuyên bạn nên lưu ý những điểm sau đây trước khi thực hiện quy trình này tại một nha khoa bất kỳ.
Nướu răng
Nướu răng ảnh hưởng trực tiếp đến độ dài và tính thẩm mỹ của hàm răng. Chẳng hạn nếu nướu răng tràn xuống răng quá sâu sẽ khiến răng bạn trông ngắn và già hơn.
Nướu thâm hay đỏ là tình trạng nướu đang bị tổn thương hoặc đang mắc bệnh. Vì vậy khi thiết kế nụ cười cần để ý màu sắc nướu phải hồng hào, khi cười không bị hở lợi sẽ giúp bạn có nụ cười đẹp và tự nhiên hơn.

Nướu răng có ảnh hưởng đến độ dài và thẩm mỹ của hàm răng
Chiều dài và dáng răng
Theo thời gian và thói quen ăn uống, sinh hoạt răng của bạn sẽ bị mòn và trông ngắn hơn. Vì vậy nếu bạn đang sở hữu một dáng răng dài, đều và trắng đẹp thì chắc chắn trông bạn sẽ trẻ trung hơn.
Mặt khác, dáng răng phù hợp với gương mặt còn thể hiện tính cách và đặc điểm cá nhân.
Thông thường để cải thiện dáng răng thì các bác sĩ sẽ khuyên bạn nên dán sứ, bọc sứ hoặc trồng răng Implant.
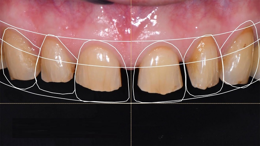
Tỷ lệ răng
Để biết được tỷ lệ răng của mình có phù hợp hay không, bạn hãy lấy 2 răng cửa làm chuẩn. Đây là vị trí răng chính giữa hàm, có chiều dài và kích thước to nhất. Tiếp tục gióng theo các vị trí răng còn lại, chiều cao và kích thước càng đều thì tỷ lệ răng càng đạt chuẩn.
Để biết được tỷ lệ chính xác tốt nhất bạn nên tìm đến các nha khoa để được kiểm tra và tư vấn trực tiếp từ những chuyên gia nha khoa có chuyên môn và giàu kinh nghiệm.
Màu sắc răng
Răng ngả vàng, ố, sậm sẽ làm giảm đi tính thẩm mỹ của hàm răng. Chính vì vậy, trong thiết kế nụ cười, màu răng trắng sáng, đều màu và phù hợp với làn da là yếu tố vô cùng quan trọng.
Xu hướng hiện tại răng càng trắng, càng đều sẽ khiến bạn trông càng trẻ trung và hợp thời hơn.
Đường cười
Yếu tố quan trọng nhất trong thiết kế nụ cười chính là đường cười đem lại vẻ đẹp hài hòa khuôn mặt của bệnh nhân, giúp họ cảm thấy tự tin nhất khi cười cũng như trong giao tiếp.
Đường cười lý tưởng là đường cong của môi dưới khi cười. Nếu đường cười quá ngắn sẽ tạo ra những khoảng trống, đường cười quá dài lại khiến nụ cười thô và vướng hơn.

Đường cười là yếu tố quan trọng nhất trong thiết kế nụ cười
Công nghệ thiết kế nụ cười nào tốt nhất ?
Công nghệ thiết kế nụ cười ngày càng trở nên phổ biến và trở thành nhu cầu thẩm mỹ răng miệng không thể thiếu của rất nhiều người. Nhưng giữa vô vàn công nghệ ngày nay thì bạn lại không biết nên chọn công nghệ nào là tốt và phù hợp với mình nhất.
Theo kết quả điều tra và đánh giá tại các nha khoa, cũng như trung tâm răng hàm mặt của tổ chức Y tế thế giới thì công nghệ thiết kế nụ cười SDP đang là công nghệ được nhiều người áp dụng và đem lại kết quả cải thiện nụ cười tốt nhất.
Công nghệ SDP là tên viết tắt của công nghệ Smile Design Pro – cải thiện nụ cười theo mong muốn của bạn. Điểm nhấn của công nghệ SDP là bạn được lựa chọn nụ cười duyên dáng theo ý muốn của bản thân và được trải nghiệm nó trước khi đưa ra quyết định thực hiện.

Công nghệ Thiết kế nụ cười - Bước tiến vượt bậc trong nha khoa
Nha khoa Nhân Tâm tự hào là địa chỉ hội tụ đội ngũ bác sĩ giỏi, có trên 25 năm kinh nghiệm, ứng dụng công nghệ thiết kế nụ cười đẹp, hiện đại, tân tiến cùng không gian phòng khám tiện nghi, đảm bảo thực hiện trong điều kiện vô trùng, giúp bạn nhanh chóng có được nụ cười duyên dáng và rạng rỡ.



