Nụ cười đẹp - không còn là mơ ước
Các nghiên cứu tâm lý học cho thấy, không gì có thể gây ấn tượng mạnh và tốt đẹp cho người đối diện trong lần đầu gặp mặt bằng một nụ cười tươi tắn, rạng rỡ.
Tuy nhiên, nhiều người thường ngại ngùng không dám nở nụ cười, thậm chí không thể giao tiếp một cách thoải mái nơi đông người, chỉ vì hàm răng không đẹp, môi không cân đối hay cười hở nướu, ….
Những khiếm khuyết này khiến họ mất dần tự tin trong giao tiếp, gây nhiều rào cản trong cuộc sống và các mối quan hệ. Đối với họ, một nụ cười đẹp với hàm răng đều, trắng sáng là cả một ước mơ.
Đó là lý do vì sao thiết kế thẩm mỹ nụ cười bằng kỹ thuật số ra đời và phát triển nhanh chóng trở thành một công cụ không thể thiếu của nha khoa thẩm mỹ hiện đại giúp nha sĩ chỉnh sửa những khiếm khuyết trên. Do vậy, ngày nay, ước mơ của bệnh nhân có một nụ cười đẹp không còn là điều quá xa vời.
Phần mềm thiết kế nụ cười – cái nhìn trực quan trước điều trị
Thiết kế nụ cười là quá trình điều chỉnh nụ cười cho mỹ thuật hơn với sự trợ giúp của máy tính thông qua phần mềm chẩn đoán, phân tích và lập kế hoạch điều trị bao gồm việc xem xét toàn diện, sự hài hòa về màu sắc, hình dạng răng, nướu, môi, da và toàn bộ khuôn mặt của bệnh nhân.
Kết hợp với các thủ thuật nha khoa cần thiết khác như điều chỉnh nướu, ghép nướu cũng như tẩy trắng răng, răng sứ Veneer, ghép phục hồi khiếm khuyết xương, cấy ghép Implant nha khoa,… nhằm khắc phục các khiếm khuyết đem lại nụ cười đẹp cho bệnh nhân.


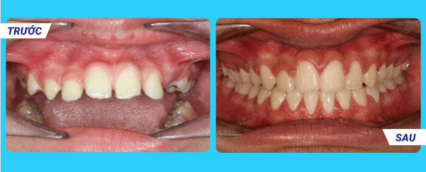
Kết quả và phương pháp có thể thay đổi tùy theo thể trạng mỗi người
Tuy nhiên, trong quá trình tư vấn và lên kế hoạch điều trị, một câu hỏi quan trọng bệnh nhân thường đặt ra là: kết quả sau phẫu thuật sẽ như thế nào? Bác sĩ điều trị sẽ khó mà giải thích và mô tả kế hoạch rõ ràng cho bệnh nhân nếu chỉ thông qua lời nói.
Do đó, bệnh nhân sẽ lo lắng và mơ hồ về kế hoạch điều trị. Do vậy, phần mềm thiết kế nụ cười ra đời là cánh tay đắc lực cho bác sĩ điều trị và cũng là liều thuốc xóa tan lo lắng cho bệnh nhân.
Bởi vì, tất cả các dữ liệu về hình ảnh của bệnh nhân đều được phần mềm phân tích, tính toán giúp bác sĩ dự đoán được kết quả điều trị bằng hình ảnh mà bệnh nhân có thể nhìn thấy được.
Điều này có nghĩa là, bệnh nhân dễ dàng hiểu rõ được kế hoạch điều trị cũng như nhìn thấy được kết quả một cách trực quan nhất trên máy tính trước khi bắt đầu điều trị.

Kết quả và phương pháp có thể thay đổi tùy theo thể trạng mỗi người
Ưu điểm của thiết kế nụ cười
- Dự đoán được kết quả điều trị cụ thể bằng hình ảnh
- Xác định được các vấn đề cần giải quyết nhằm hạn chế những thiếu sót trong quá trình thực hiện
- Dễ dàng thảo luận và lựa chọn phương pháp điều trị tối ưu
- Đáp ứng được mong muốn thẩm mỹ của từng đối tượng bệnh nhân
Xem thêm: Công nghệ quét mặt 3 chiều – Nụ cười ai nhìn cũng yêu

Nha khoa Nhân Tâm trang bị hệ thống máy móc, trang thiết bị hiện đại đáp ứng những tiêu chuẩn quốc tế trong ngành nha khoa
Thấu hiểu được mong muốn của bệnh nhân, Nha khoa Nhân Tâm cũng đã áp dụng thành công công nghệ hiện đại này trong điều trị nha khoa.
Với sự hỗ trợ của phần mềm bản quyền Smile Design Pro, các Bác sĩ tại nha khoa Nhân Tâm luôn đem lại sự hài lòng cho bệnh nhân trong việc xây dựng kế hoạch điều trị toàn diện với kết quả tối ưu cho từng bệnh nhân.
Những yếu tố quyết định thẩm mỹ của một nụ cười đẹp
Có nhiều yếu tố ảnh hưởng đến nụ cười. Do đó, để đem lại nụ cười đẹp cho bệnh nhân, người bác sĩ cần có cái nhìn toàn diện về sự hài hòa của răng, nướu và môi trong một thể thống nhất với hình dáng khuôn mặt, nước da cũng như độ tuổi, giới tính và cả tính cách của bệnh nhân chứ không chỉ đơn giản là thay răng như quan niệm trước đây.
Sự kết hợp hài hòa các yếu tố trên cùng với các chỉ định điều trị nha khoa phù hợp sẽ đem lại kết quả điều trị tối ưu cho bệnh nhân.
*Chụp phim X-Quang hoặc phim 3 chiều CT Cone Beam là một bước quan trọng trong quy trình điều trị phục hồi răng. Vì vậy Khách hàng sẽ được Bác sĩ của nha khoa Nhân Tâm chỉ định đến các cơ sở y tế đủ chức năng để thực hiện trước khi điều trị.




