Có nên nhổ răng thừa không?
Hầu hết trường hợp răng mọc thừa nào cũng cần phải tiến hành nhổ bỏ. Với những chiếc răng thừa nhưng không tạo thế 3 răng, không dây ảnh hưởng đến hoạt động ăn nhai thì không cần phải nhổ bỏ, hoặc nếu như việc nhổ răng thừa gây hại cho sức khỏe răng miệng thì cũng không được bác sĩ khuyến khích nhổ bỏ.
Có một số trường hợp bạn cần thiết phải nhổ răng thừa sau đây:
- Răng thừa mọc lệch lạc, không đúng với khuôn hàm, lộ hẳn ra ngoài so với các răng khác, không có chức năng ăn nhai và gây mất thẩm mỹ khuôn hàm.
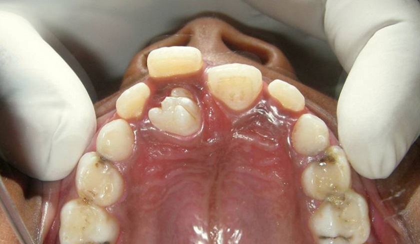
- Răng mọc thừa phát sinh nhiều bệnh lý về răng miệng khi răng tạo thế răng ba chân (gồm 2 răng hàm bình thường và 1 răng thừa) hình thành các rãnh khiến cho thức ăn mắc vào, bàn chải không thể làm sạch hết được mảng bám. Do đó tạo thành môi trường thuận lợi cho vi khuẩn phát triển, lúc này cần phải nhổ răng thừa để giúp cho hàm răng chắc khỏe và thẩm mỹ hơn.

Răng mọc thừa tạo thế răng ba chân
- Răng dư thừa mọc chèn ép, lấn chiếm các vị trí mọc của răng chính trên cung hàm, làm thay đổi hoàn toàn cấu trúc khuôn hàm, khiến hàm răng bị sai lệch, lâu ngày dẫn đến sai khớp cắn, hàm bị lệch.
- Răng thừa mọc sâu bên trong xương ổ răng, nằm sát ống thần kinh, có thể gây chèn ép lên hệ thống dây thần kinh và phát sinh nhiều ảnh hưởng nguy hiểm khác.
- Nhổ răng thừa để hỗ trợ cho việc chỉnh nha nhằm tạo khoảng trống và dịch chuyển các răng bên cạnh về đúng với vị trí trên cung hàm theo như chỉ định của bác sĩ.
Tình trạng răng mọc thừa là gì?
Răng thừa có thể xuất hiện ở bất kì vị trí nào, hình thành nên nhiều kẽ hở khiến thức ăn dễ mắc vào, tạo điều kiện cho vi khuẩn có hại tác động trực tiếp đến răng nướu, dễ phát sinh các bệnh lý răng miệng, ảnh hưởng đến các răng xung quanh.
Răng mọc thừa phổ biến nhất là ở gần vị trí răng vĩnh viễn và răng cửa trước hàm trên. Vị trí các răng thừa mọc nhiều thứ hai chính là bốn chiếc răng hàm.
Tại sao lại xảy ra tình trạng răng mọc thừa thì chưa được lý giải. Đang tồn tại khá nhiều lý thuyết khác nhau cho các loại răng thừa khác nhau:

Có nhiều lý thuyết cho tình trạng răng mọc thừa
- Một lý thuyết cho rằng răng thừa được tạo ra như là kết quả của sự phân đôi mầm răng.
- Lý thuyết khác, được nhắc đến nhiều trong các tài liệu y học, là lý thuyết hiếu động thái quá. Thuyết này cho rằng răng dư thừa được hình thành là kết quả của sự hiếu động thái quá theo cục bộ, độc lập, mạnh mẽ của tính di truyền ngà răng.
Tính di truyền cũng có thể đóng một vai trò khá quan trọng trong sự xuất hiện bất thường này, như răng mọc thừa phổ biến hơn ở những trẻ em có người thân bị ảnh hưởng.
Nhổ răng thừa có nguy hiểm không?
Nhổ răng thừa có nguy hiểm không, có gây ảnh hưởng đến dây thần kinh không? chắc hẳn là lo lắng chung của rất nhiều khách hàng khi được chỉ định nhổ răng dư thừa. Thực tế bạn hoàn toàn không cần phải quá lo lắng về vấn đề này nếu thực hiện ở một nha khoa uy tín với bác sĩ tay nghề cao và thiết bị hỗ trợ hiện đại. Các bác sĩ sẽ kiểm soát tốt những thao tác trong quá trình điều trị, giúp cho các dây thần kinh nằm yên ổn dưới xương hàm mà không bị ảnh hưởng.

Nhổ răng thừa tại Nha khoa Nhân Tâm uy tín, chất lượng
Tại Nha khoa Nhân Tâm, trước khi đưa ra chỉ định nhổ răng thừa, bác sĩ sẽ tiến hành xem xét thận trọng mối liên hệ giữa răng thừa với các răng trên cung hàm, cũng như sự liên kết với các dây thần kinh. Khi bác sĩ đã nắm rõ được tình trạng răng miệng của khách hàng, việc thực hiện nhổ răng dư thừa sẽ được đảm bảo chính xác tuyệt đối và an toàn.
Với kinh nghiệm chuyên môn nhiều năm của mình, bác sĩ Nha khoa Nhân Tâm có thể tự tin khẳng định rằng việc nhổ răng dư hoàn toàn không đau nhức. Tại đây sở hữu công nghệ nhổ răng siêu âm Piezotome hiện đại, nhổ răng không tác động đến mô nướu quanh răng nên hạn chế được tối đa cảm giác đau nhức và giúp nhanh lành thương hơn.
Sau khi nhổ răng xong, bạn có thể sẽ có cảm giác ê nhức nhẹ nhưng bác sĩ sẽ kê cho bạn một số loại thuốc kháng sinh có tác dụng giảm đau, sưng và kháng viêm hiệu quả.
Nếu bạn đang gặp phải các vấn đề cần nhổ răng thừa gây ảnh hưởng đến ăn uống, sinh hoạt thường ngày thì hãy liên hệ ngay với Nha khoa Nhân Tâm để được bác sĩ chuyên khoa thăm khám, tư vấn và đưa ra các phương án điều trị tối ưu nhất.



