Viêm chân răng có mủ là biểu hiện thường thấy khi bạn mắc các bệnh lý như viêm nha chu, viêm tủy, hoại tử tủy răng,… Có nên nặn mủ chân răng tại nhà không? Đáp án là KHÔNG. Vì hành động này sẽ dẫn đến nhiều biến chứng nguy hiểm, nặng nề nhất là nhiễm trùng huyết, bệnh Ludwig's angina đe dọa tính mạng. Khi gặp tình trạng này, bạn cần tới gặp bác sĩ để thăm khám và điều trị phù hợp.
Khái quát về viêm chân răng có mủ
Viêm chân răng có mủ là biểu hiện thường thấy khi bạn mắc các bệnh lý liên quan đến răng miệng. Nguyên nhân khiến ổ mủ xuất hiện tại chân răng bao gồm:
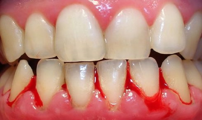
Bệnh nha chu
Vệ sinh răng không hiệu quả, không cạo vôi răng định kỳ là nguyên nhân chủ yếu gây nên viêm nha chu, viêm nướu, hình thành mủ ở chân răng và nướu. Bên cạnh đó, tình trạng thức ăn thừa mắc lại kẽ răng và lên men cũng tạo cơ hội cho vi khuẩn phát triển, gây nên viêm nhiễm.
Khi mắc bệnh lý này, khách hàng không chỉ gặp tình trạng chân răng có mủ mà còn thường xuyên bị chảy máu chân răng. Nếu không điều trị kịp thời, nguy cơ mất răng hàng loạt hoàn toàn có thể xảy ra.

Bệnh nha chu là nguyên nhân dẫn đến viêm chân răng có mủ
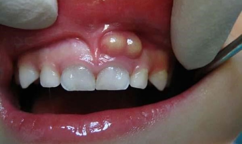
Viêm tủy răng
Sâu răng tiến triển nặng sẽ khiến tủy răng bị viêm hoặc hoại tử và các ổ mủ sẽ hình thành sau đó. Lúc này, bệnh đã ở giai đoạn khá nặng.
Hiện tượng viêm mủ trong thời gian dài sẽ gây áp xe chân răng. Áp xe chân răng là biến chứng nguy hiểm, nếu không có biện pháp chữa trị kịp thời thì rất có thể bạn sẽ phải nhổ bỏ răng.
Áp xe còn có thể lan rộng sang các răng khác, vùng nướu quanh đó và cả xương hàm. Nghiêm trọng nhất là các vi khuẩn trong túi mủ có thể lây lan vào máu, dẫn đến nhiễm trùng huyết đe dọa tính mạng con người.
Có nên nặn mủ chân răng tại nhà không?

Có nên nặn mủ chân răng tại nhà không?
Như đã nói ở phần trên, viêm chân răng có mủ thường xảy ra do tình trạng viêm nha chu hoặc viêm tủy, hoại tử tủy. Nếu không chữa trị triệt để, ổ mủ sẽ tái phát nhiều lần và không thể tự chấm dứt.
Với câu hỏi có nên nặn mủ chân răng tại nhà không? Các chuyên gia khuyên bạn tuyệt đối không nên tự ý nặn mủ chân răng bởi hành động này sẽ khiến cả mủ và máu chảy ra, tạo cơ hội cho vi khuẩn xâm nhập vào máu và theo máu đi đến các cơ quan, bộ phận trong cơ thể, gọi là hiện tượng nhiễm khuẩn huyết. Ngoài ra, bạn còn có thể gặp phải những biến chứng khác bao gồm viêm mô tế bào, bệnh Ludwig's angina khiến đường thở bị tắc nghẽn, gây nguy hiểm đến tính mạng.
Cách chữa trị viêm chân răng có mủ

Thăm khám tại nha khoa khi phát hiện các triệu chứng viêm chân răng có mủ
Để chữa trị dứt điểm viêm chân răng có mủ, bạn cần tới gặp bác sĩ trong thời gian sớm nhất. Dựa vào chuyên môn, kinh nghiệm và các xét nghiệm cần thiết, bác sĩ sẽ giúp bạn chẩn đoán nguyên nhân và đưa ra phương án điều trị phù hợp.
Quá trình điều trị bệnh lý này sẽ dựa trên các nguyên tắc:
- Sử dụng thuốc kháng sinh để cô lập ổ viêm.
- Giảm đau và giảm các triệu chứng sưng tấy, sốt,...
- Loại bỏ ổ viêm bằng việc áp dụng một số thủ thuật.
Một số thủ thuật được sử dụng chủ yếu để xử lý viêm mủ chân răng:
- Lấy dị vật ở nướu nếu có.
- Chích rạch ổ mủ.
- Làm sạch khoang miệng để chữa trị viêm quanh răng.
- Cắt cuống răng khi cần thiết để loại bỏ vùng nhiễm trùng.
- Trường hợp viêm nhiễm nặng không thể phục hồi thì cần nhổ răng.
- Loại bỏ những yếu tố dẫn đến viêm mủ chân răng bằng cách kiểm soát nồng độ đường huyết, chỉnh khớp cắn, loại bỏ các thuốc không phù hợp,…

Nhổ răng là phương án điều trị cần thiết khi tình trạng viêm quá nặng
Như vậy, đáp án cho câu hỏi “Có nên nặn mủ chân răng tại nhà không?” Là KHÔNG. Việc tự ý nặn mủ chân răng có thể khiến bạn phải đối mặt với nhiều biến chứng nguy hiểm. Cách xử trí tốt nhất là bạn nên tới phòng khám răng gần nhất để nhờ sự giúp đỡ của các bác sĩ. Mọi câu hỏi cần giải đáp, bạn hãy liên hệ với Nha khoa Nhân Tâm theo số 1900 56 5678 để được hỗ trợ nhanh nhất nhé.
*Chụp phim X-Quang hoặc phim 3 chiều CT Cone Beam là một bước quan trọng trong quy trình điều trị phục hồi răng. Vì vậy Khách hàng sẽ được Bác sĩ của nha khoa Nhân Tâm chỉ định đến các cơ sở y tế đủ chức năng để thực hiện trước khi điều trị.


