Sâu răng phá vỡ cấu trúc răng và gây ra những biến chứng khôn lường đối với sức khỏe răng miệng của chúng ta. Khi bị sâu răng, nhiều người tìm đến cách trám răng tại nhà để điều trị các triệu chứng đau nhức, viêm nhiễm do sâu răng gây ra. Thực tế, cách trám răng tại nhà vẫn còn tiềm ẩn nhiều rủi ro.
Khi nào cần trám răng sâu?
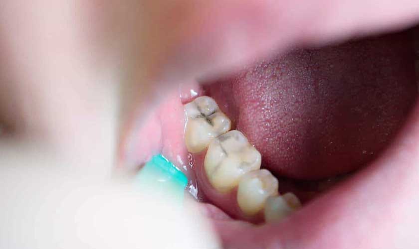
Sâu răng là tình trạng cấu trúc răng bị phá vỡ do vi khuẩn tấn công gây ra các lỗ hổng trên bề mặt răng. Tiến trình của bệnh sâu răng trải qua 3 giai đoạn từ sâu men răng, đến sâu ngà răng và sâu vào tủy răng.
Khi sâu lan vào tủy răng, nếu không được điều trị kịp thời sẽ gây ra nhiều biến chứng nguy hiểm do nhiễm trùng tủy răng gây ra như áp-xe, viêm mô tế bào, mất răng, nhiễm trùng máu… Do đó rất nhiều khách hàng sâu răng nóng lòng tìm các cách trám răng tại nhà hoặc đến trám răng tại nhà khoa.

Trám răng sâu
Phương pháp trám răng sâu được thực hiện khi tình trạng sâu răng chưa nghiêm trọng, gồm sâu men răng, sâu ngà răng hoặc sâu tủy răng mức độ nhẹ. Sâu răng nếu không được trám bít lỗ sâu, sẽ gây ra những hậu quả như:
1. Đau nhức răng
Ở giai đoạn sâu men răng, khách hàng sẽ không cảm thấy đau nhức hay bất kỳ khó chịu nào. Do đó giai đoạn này sâu răng khó được phát hiện.
Nếu không kịp thời trám răng sâu, khi sâu răng sẽ ăn vào ngà răng và cuối cùng là tủy răng, gây ra các triệu chứng ê buốt, đau nhức răng, sưng mặt, viêm nhiễm… ảnh hưởng đến chức năng ăn nhai và thẩm mỹ, giảm chất lượng cuộc sống, thậm chí nguy hiểm đến tính mạng.

Sâu răng gây tình trạng đau nhức, hôi miệng và những biến chứng khác
2. Hôi miệng
Khi sâu răng phát triển, vi khuẩn sẽ ngày càng sinh sôi trong khoang miệng, khiến cho hơi thở bốc mùi khó chịu. Điều này khiến cho khách hàng trở nên tự ti khi giao tiếp.
Xem thêm: Khi nào cần sử dụng chất trám răng tạm thời
3. Phá hủy răng và cấu trúc xung quanh răng
Sâu răng sẽ làm tổn thương cấu trúc men răng, ngà răng, tủy răng, làm mất độ khoáng hóa của răng, đồng thời còn tạo điều khiển cho vi khuẩn tấn công nướu răng, xương hàm… gây ra các bệnh lý răng miệng khác.
4. Tốn chi phí điều trị
Sâu răng càng được phát hiện và điều trị sớm thì sẽ càng giảm nhiều chi phí điều trị. Nếu sâu răng mức độ nhẹ, chúng ta không cần tốn nhiều tiền để trám răng. Ngược lại nếu để sâu lan vào tủy răng, sẽ tốn thêm chi phí điều trị tủy, phục hình răng sứ sau chữa tủy, thậm chí nếu phải nhổ răng sâu thì sẽ tốn kém chi phí để phục hình lại răng bị mất…
Chữa sâu răng bằng cách trám răng tại nhà
Chữa sâu răng bằng cách trám răng tại nhà có hiệu quả và an toàn không là vấn đề được nhiều người quan tâm.
Hiện nay, trên thị trường có bán các bộ trám răng tại nhà để khách hàng lựa chọn. Khách hàng sâu răng có thể tìm mua và thực hiện trám răng theo chỉ dẫn của nhà sản xuất.
Tuy nhiên, các bác sĩ chuyên nghiệp cũng khuyến cáo khách hàng không nên thực hiện cách trám răng này vì tiềm ẩn nhiều rủi ro. Đây chỉ là biện pháp tạm thời nếu khách hàng chưa thể thăm khám và điều trị tại các bệnh viện răng hàm mặt hoặc phòng khám nha khoa.

Trám răng tại nhà chỉ là phương pháp tạm thời, không mang lại hiệu quả lâu dài
Những rủi ro mà khách hàng thực hiện cách trám răng tại nhà có thể gặp bao gồm:
- Khách hàng không thể đánh giá được tình trạng sâu răng của bản thân đang tiến triển ở giai đoạn nào. Nếu sâu răng ở mức độ nghiêm trọng, thì trám răng không phải là phương pháp điều trị tối ưu nhất, nên sẽ không điều trị triệt để bệnh lý.
- Trám răng tại nhà chỉ tạm thời lấp các lỗ hổng do sâu răng, không thể làm sạch những mô răng bị sâu hay phần tủy răng bị nhiễm trùng. Do đó, vi khuẩn vẫn có thể tồn tại và tiếp tục tấn công răng, gây sâu răng nặng hơn.
- Vật liệu trám răng tại nhà thường không đảm bảo chất lượng như kỹ thuật trám răng chuyên nghiệp tại nha khoa, do đó, khách hàng sẽ dễ bị bong tróc miếng trám trong quá trình ăn nhai.
- Khách hàng sẽ không được đảm bảo an toàn khi tự trám răng tại nhà do không có kiến thức chuyên môn và kỹ thuật. Bên cạnh đó, miếng trám có thể gây kích ứng cho cơ thể nếu không may mua phải hàng kém chất lượng.
- Khi tự trám răng, bạn rất dễ gặp phải trường hợp cộm vướng, khó chịu khi ăn nhai cho miếng trám không vừa khít hoặc không được bằng phẳng.
Trám răng thẩm mỹ tại nha khoa
Như vậy, bạn chỉ nên dùng cách trám răng tại nhà để trám tạm thời các lỗ sâu răng. Cách tốt nhất để điều trị triệt để bệnh sâu răng chính là tìm hiểu nha khoa nào tốt và lựa chọn địa chỉ uy tín để thăm khám và điều trị.
Nha khoa Nhân Tâm là trung tâm nha khoa hàng đầu tại TP.HCM. Chúng tôi cung cấp dịch vụ trám răng thẩm mỹ được thực hiện bởi đội ngũ Bác sĩ giỏi chuyên môn và dày dạn kinh nghiệm.

Khách hàng điều trị tại Nha khoa Nhân Tâm
Bên cạnh đó, công nghệ trám răng Laser hiện đại sẽ giúp tăng độ bền chắc và tuổi thọ của vật liệu trám, ngăn chặn hiệu quả vi khuẩn gây sâu răng.
Vật liệu trám răng cao cấp với khả năng chịu lực tốt, không bị bong tróc trong quá trình sử dụng, cải thiện chức năng ăn nhai hoàn hảo, đồng thời có màu sắc tự nhiên tương đồng với màu răng thật, nâng cao thẩm mỹ cho khách hàng.
Quy trình trám răng khép kín và vô trùng, loại bỏ hoàn toàn lây nhiễm chéo. Bảo hành chu đáo, hậu mãi hấp dẫn, giúp Khách hàng hài lòng với dịch vụ.
Những thông tin trên đây đã cung cấp kiến thức cơ bản cho mọi người về cách trám răng tại nhà để chữa sâu răng. Nếu còn bất kỳ thắc mắc nào cần được giải đáp, bạn có thể liên hệ Hotline 1900 56 5678 để kết nối với đội ngũ chuyên gia tại Nha khoa Nhân Tâm.




