Cạo vôi răng lâu không? Nếu bạn là một người bận rộn thì hoàn toàn có thể yên tâm vì cạo vôi răng không tốn nhiều thời gian. Chỉ cần 15-30 phút thôi là bạn đã có thể loại sạch mảng bám vôi răng và vi khuẩn để bảo vệ sức khỏe răng miệng cho chính bạn.
Cạo vôi răng lâu không, hết bao nhiêu thời gian?
Cạo vôi răng lâu không là câu hỏi được nhiều Khách hàng gửi về cho Nha khoa Nhân Tâm.
Ngày này, việc thăm khám, chăm sóc và điều trị răng miệng đã dễ dàng và tiết kiệm thời gian hơn rất nhiều nhờ vào việc ứng dụng công nghệ nha khoa kỹ thuật số.
Với dịch vụ cạo vôi răng, Nha khoa Nhân Tâm ứng dụng công nghệ cạo vôi răng siêu âm. Thời gian cạo vôi răng chỉ diễn ra khoảng 15-30 phút tùy theo mức độ vôi răng ít hay nhiều.
Bên cạnh đó, công nghệ siêu âm còn giúp Bác sĩ lấy vôi răng một cách nhẹ nhàng, không gây khó chịu hay chảy máu cho bệnh nhân. Sóng siêu âm với đầu rung siêu nhỏ có thể loại sạch vôi răng và vi khuẩn trên bề mặt răng, kẽ răng và ngay cả sâu bên dưới nướu.

Công nghệ cạo vôi răng siêu âm sở hữu nhiều ưu điểm vượt trội
Quy trình cạo vôi răng gồm những bước nào?
Chúng tôi đã giải đáp thắc mắc cạo vôi răng lâu không ở phần trên. Tiếp theo chúng ta sẽ cùng tìm hiểu quy trình cạo vôi răng gồm những bước nào nhé.
Để cạo vôi răng, bạn sẽ cần trải qua quy trình như sau:
Bước 1: Thăm khám và tư vấn
Đầu tiên Bác sĩ cần thăm khám răng miệng để kiểm tra mức độ vôi răng nhiều hay ít, từ đó Bác sĩ có thể căn chỉnh bước sóng siêu âm phù hợp với tình trạng khách hàng, đảm bảo hiệu quả và an toàn.
Khách hàng sẽ được tư vấn tình trạng vô răng, quy trình thực hiện và chi phí cạo vôi răng.

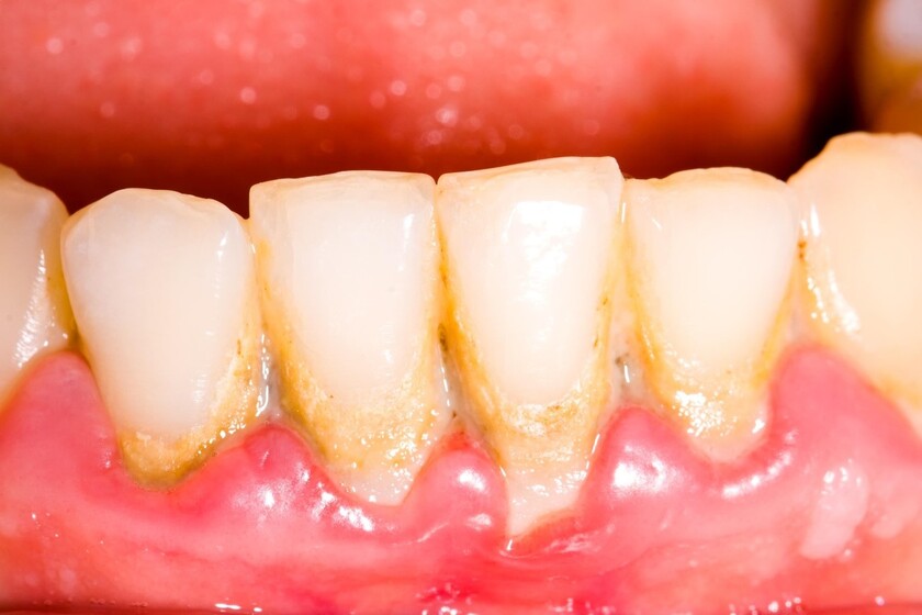
Mức độ vôi răng ảnh hưởng đến thời gian cạo vôi răng
Xem thêm: Cạo vôi răng có hại không, có bị ê buốt răng không?
Bước 2: Vệ sinh và vô khuẩn
Khách hàng được hướng dẫn vệ sinh răng miệng và súc miệng bằng dung dịch sát khuẩn để tránh trường hợp vi khuẩn xâm nhập trong quá trình cạo vôi răng.
Bước 3: Cạo vôi răng siêu âm
Tiếp theo, Bác sĩ sẽ tiến hành cạo vôi răng bằng máy siêu âm hiện đại. Thiết kế đầu cạo siêu mỏng kết hợp với năng lượng rung từ sóng siêu âm sẽ giúp vôi răng nhanh chóng bị loại ra khỏi răng và kẽ nướu một cách nhẹ nhàng.

Cạo vôi răng siêu âm tại Nha khoa Nhân Tâm
Bước 4: Đánh bóng răng
Sau khi lấy hết vôi răng, Bác sĩ sẽ đánh bóng răng bằng chất đánh bóng cuyên dụng để giúp răng trở nên sáng bóng hơn, ngoài việc giữ nụ cười thẩm mỹ thì đánh bóng răng còn giúp hạn chế mảng bám và vôi răng, phòng ngừa các bệnh lý răng miệng.
Bước 5: Hướng dẫn chăm sóc răng miệng đúng cách
Khách hàng được hướng dẫn súc miệng sạch sẽ sau khi cạo vôi răng, kiểm tra kết quả thực hiện. Cuối cùng Bác sĩ sẽ tư vấn cho Khách hàng cách chăm sóc răng đúng cách hằng ngày để tăng cường sức khỏe răng miệng.
Cạo vôi răng ở đâu uy tín?
Cạo vôi răng tuy là kỹ thuật đơn giản nhưng nếu sai cách thì có thể làm tổn hại men răng và nướu, gây ra tình trạng chảy máu và ê buốt răng. Do đó, bên cạnh quan tâm cạo vôi răng lâu không thì Khách hàng cần ưu tiên chọn địa chỉ cạo vôi răng uy tín.
Nha khoa Nhân Tâm - Địa chỉ nha khoa quận 10 là trung tâm nha khoa tiêu chuẩn 5 sao tại Việt Nam đi đầu trong việc ứng dụng trang thiết bị - công nghệ hiện đại nhất trong thăm khám và điều trị.

Nha khoa Nhân Tâm cung cấp dịch vụ nha khoa chất lượng cao hàng đầu tại Việt Nam
Chúng tôi cung cấp dịch vụ cạo vôi răng chất lượng cao với nhiều lợi ích cho Khách hàng như:
Sử dụng công nghệ siêu âm thế hệ mới nhất giúp cạo vôi răng an toàn, nhanh chóng và không gây biến chứng Đội ngũ Bác sĩ chuyên môn cao, tận tâm điều trị và tận tình chăm sóc, luôn sẵn sàng lắng nghe và tự vấn rõ ràng những thắc mắc của Khách hàng. Có đội ngũ chăm sóc Khách hàng theo dõi kết quả sau điều trị. Không gian thoáng mát, hiện đại, tiện nghi Đầu tư hệ thống vô trùng tiêu chuẩn Châu Âu giúp loại bỏ hoàn toàn lây nhiễm chéo.
Như vậy, Nha khoa Nhân Tâm có thể khẳng định cho bạn cạo vôi răng lâu không chính là không lâu, bạn chỉ cần bỏ ra 15-30 phút là có thể cạo vôi răng, diệt vi khuẩn, bảo vệ sức khỏe răng miệng. Đừng ngần ngại đến với Nhân Tâm để được cạo vôi răng nhanh chóng, an toàn và không đau, bạn nhé!




