Cạo vôi răng định kỳ là việc làm cần thiết để giữ răng miệng luôn sạch, đẹp và khỏe. Theo khuyến cáo của bác sĩ bạn nên khám nha khoa và cạo vôi răng 6 tháng/lần chứ không nên đợi đến khi vôi răng tích tụ nhiều mới đi lấy.
Tình trạng vôi răng tích tụ lâu ngày có thể dẫn đến nhiều bệnh lý răng miệng như sâu răng, viêm nướu, hôi miệng, viêm nha chu,… Bạn cũng cần chú ý lựa chọn cơ sở nha khoa uy tín khi cạo vôi răng để đảm bảo an toàn, hiệu quả và tránh ê buốt răng.
Vôi răng là gì?
Vôi răng là một lớp cứng màu vàng hoặc nâu bám trên răng và bên dưới nướu. Vôi răng được hình thành từ các mảng bám thức ăn, vi khuẩn và khoáng chất trong nước bọt.
Mảng bám thức ăn là một lớp màng dính bám trên bề mặt răng, được hình thành từ các mảnh vụn thức ăn, vi khuẩn và nước bọt. Nếu không được loại bỏ, mảng bám sẽ cứng lại thành vôi răng.
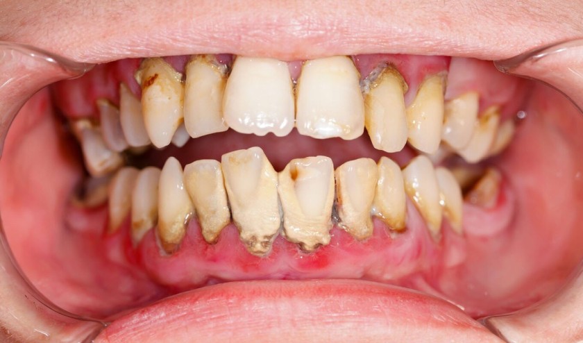
Tác hại của vôi răng
Vôi răng có thể gây ra nhiều tác hại cho răng miệng, bao gồm:
- Thay đổi màu sắc răng: Mảng bám và vôi răng có thể khiến răng bị ố vàng, xỉn màu.
- Hôi miệng: Mảng bám và vôi răng có thể tạo ra mùi hôi khó chịu, ảnh hưởng đến giao tiếp hằng ngày.
- Gây sâu răng: Vôi răng là nơi trú ngụ của vi khuẩn, tạo điều kiện cho vi khuẩn phát triển, phá huỷ mô răng và gây sâu răng.
- Gây viêm nướu: Vôi răng có thể kích thích nướu, gây viêm nướu. Viêm nướu là một bệnh lý răng miệng phổ biến, gây sưng đỏ, đau nhức và chảy máu nướu.
- Gây viêm nha chu: Nếu viêm nướu không được điều trị kịp thời, có thể dẫn đến viêm nha chu. Đây là một bệnh lý răng miệng nghiêm trọng, có thể gây tổn thương xương và mô nướu xung quanh răng, dẫn đến mất răng.

Vôi răng tích tụ nhiều gây mất thẩm mỹ và dẫn đến nhiều bệnh lý răng miệng
Cạo vôi răng định kỳ là việc làm cần thiết
Cạo vôi răng là một thủ thuật nha khoa giúp loại bỏ vôi răng và mảng bám trên răng.
Cạo vôi răng được thực hiện bởi bác sĩ hoặc các kỹ thuật viên nha khoa, sử dụng dụng cụ chuyên dụng để loại bỏ vôi răng và mảng bám trên răng và nướu.
Cạo vôi răng định kỳ giúp:
- Loại bỏ mảng bám và vôi răng, ngăn ngừa các bệnh lý răng miệng.
- Giúp răng trắng sáng, khỏe mạnh.
- Giữ hơi thở thơm mát.
- Tạo cảm giác thoải mái, dễ chịu khi ăn uống.
- Theo khuyến cáo của các chuyên gia nha khoa, bạn nên cạo vôi răng định kỳ 6 tháng/lần.

Nên thực hiện cạo vôi răng định kỳ sau mỗi 6 tháng
Tuy nhiên, đối với những người có nguy cơ cao mắc bệnh răng miệng, chẳng hạn như người hút thuốc lá, người có thói quen ăn uống nhiều đồ ăn và thức uống có màu, người mắc các bệnh lý răng miệng,... thì nên cạo vôi răng định kỳ 3 – 4 tháng/lần.
Bài viết hữu ích: Dụng cụ cạo vôi răng tại nhà – Cách dùng và lưu ý
Lưu ý khi thực hiện cạo vôi răng
Để cạo vôi răng an toàn và hiệu quả, bạn nên lựa chọn các cơ sở nha khoa uy tín, có đội ngũ bác sĩ chuyên môn giỏi.
Ngoài ra, bạn cũng cần lưu ý những điều sau khi cạo vôi răng:
- Không ăn uống trong vòng 30 phút sau khi cạo vôi răng.
- Súc miệng bằng nước muối sinh lý hoặc nước súc miệng sau mỗi bữa ăn.
- Đánh răng ít nhất 2 lần/ngày, dùng chỉ nha khoa và nước súc miệng để loại bỏ các mảng bám và thức ăn thừa trên răng.
- Hạn chế ăn uống các thực phẩm và thức uống có màu.
- Tránh hút thuốc lá.
- Thăm khám định kỳ để được bác sĩ nha khoa kiểm tra và tư vấn cách chăm sóc răng miệng tốt nhất.

Cạo vôi răng siêu âm nhẹ nhàng, hiệu quả và an toàn tại Nha khoa Nhân Tâm
Cạo vôi răng định kỳ là một biện pháp quan trọng giúp bảo vệ sức khỏe răng miệng và mang lại hàm răng trắng sáng, khỏe mạnh. Bạn nên chủ động thăm khám định kỳ tại nha khoa để được bác sĩ kiểm tra và tư vấn cách chăm sóc răng miệng tốt nhất.
Tại khu vực TPHCM, Nha khoa Nhân Tâm là địa chỉ chăm sóc và điều trị răng miệng của đông đảo người dân với hơn 25 năm kinh nghiệm. Bạn có thể liên hệ với Nhân Tâm qua hotline, fanpage hoặc đến trực tiếp phòng khám đẻ được khám và tư vấn miễn phí.


