Cạo vôi răng có tác dụng gì là mối quan tâm hàng đầu của nhiều người. Cạo vôi răng là một quy trình chăm sóc răng miệng quan trọng, giúp loại bỏ mảng bám và vi khuẩn cứng đầu, ngăn ngừa sự hình thành của bệnh lý răng miệng, tăng cường thẩm mỹ răng miệng và tự tin khi cười.
Tuy quy trình này có thể tốn thời gian và công sức, nhưng lợi ích mà nó mang lại là đáng giá. Để đạt được kết quả tốt nhất, hãy chọn nha khoa uy tín để thực hiện quy trình cạo vôi răng, đồng thời hãy tuân thủ các lời khuyên và hướng dẫn chăm sóc sau cạo vôi từ bác sĩ nha khoa.
Cạo vôi răng có tác dụng gì?
Các chuyên gia nha khoa khuyến cáo, để chăm sóc và bảo vệ sức khỏe răng miệng được tốt nhất, chúng ta cần phải thực hiện cạo vôi răng định kỳ 6 tháng/lần hoặc theo chỉ định của bác sĩ.
Vậy cạo vôi răng có tác dụng gì? Có cần thiết phải cạo vôi răng định kỳ hay không? Dưới đây là một số lợi ích mà cạo vôi răng mang lại mà bạn có thể tham khảo:
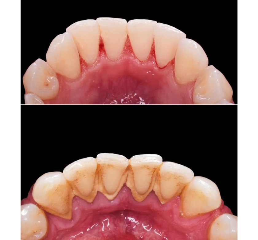
Loại bỏ mảng bám và vi khuẩn
Mặc dù bạn có vệ sinh răng miệng đúng cách hàng ngày, vẫn có thể có mảng bám và vi khuẩn tích tụ lâu ngày trên bề mặt răng cũng như bên dưới nướu. Cạo vôi răng giúp loại bỏ những mảng cứng đầu này, giúp răng sáng bóng và chắc khỏe hơn.
Ngăn ngừa sự hình thành của sâu răng
Vi khuẩn tích tụ lâu ngày trên răng có thể gây ra sự hình thành của sâu răng, gây tổn thương đến răng. Thông qua cạo vôi răng, bạn sẽ giảm thiểu được nguy cơ sâu răng và bảo vệ răng khỏi các vấn đề về sức khỏe miệng.
Phòng ngừa bệnh nha chu
Mảng bám có thể làm cho nướu trở nên viêm nhiễm, gây ra bệnh nha chu và làm hỏng cấu trúc răng. Bằng cách loại bỏ mảng bám thông qua cạo vôi răng, bạn sẽ ngăn ngừa và kiểm soát bệnh nha chu hiệu quả.

Cạo vôi răng giúp loại bỏ mảng bám, vi khuẩn trên răng hiệu quả
Xem thêm: Cạo vôi răng có làm trắng răng không?
Tăng cường thẩm mỹ răng miệng
Cạo vôi răng có tác dụng gì thì không thể không kể đến tác dụng tăng cường thẩm mỹ và sự tự tin. Sau quá trình cạo vôi răng, răng sẽ trở nên sáng bóng và trắng hơn, giúp tăng cường thẩm mỹ răng miệng và tăng sự tự tin khi cười hay giao tiếp với người khác.
Tăng hiệu quả chăm sóc răng miệng
Răng sạch sẽ sau quá trình cạo vôi sẽ giúp cho việc vệ sinh răng miệng hàng ngày hiệu quả hơn, loại bỏ mảng bám và vi khuẩn dễ dàng hơn, giúp ngăn ngừa sự hình thành của mảng bám.
Loại bỏ hôi miệng, giúp hơi thở thơm mát
Vôi răng tích tụ trên răng kết hợp với vụn thức ăn sẽ tạo ra vi khuẩn gây mùi, khiến hơi thở có mùi hôi tanh khó chịu. Cạo vôi răng sẽ giúp bạn chấm dứt tình trạng này, mang lại một hơi thở thơm mát.
Những điều cần lưu ý khi cạo vôi răng
Khi thực hiện quy trình cạo vôi răng, bên cạnh vấn đề cạo vôi răng có tác dụng gì, bạn cần lưu ý đến những điều sau để đảm bảo quy trình diễn ra hiệu quả và an toàn.
- Chọn nha khoa uy tín và chuyên nghiệp: Việc chọn một nha khoa có uy tín, có giấy phép hoạt động và đông đảo khách hàng tin tưởng lựa chọn là rất quan trọng. Hãy tìm hiểu về danh tiếng và kinh nghiệm của bác sĩ cũng như cơ sở y tế trước khi quyết định thực hiện cạo vôi răng. Một nha khoa đáng tin cậy sẽ đảm bảo quy trình diễn ra an toàn và chất lượng.
- Tư vấn trước quy trình: Trước khi thực hiện cạo vôi răng, hãy tìm hiểu kỹ về quy trình và tham khảo ý kiến của bác sĩ nha khoa. Bác sĩ sẽ kiểm tra tình trạng răng miệng của bạn và tư vấn về cạo vôi răng có tác dụng gì cũng như những rủi ro có thể xảy ra trong quá trình cạo vôi.
- Kiểm tra sức khỏe tổng thể: Trước khi thực hiện bất kỳ quy trình nào liên quan đến răng miệng, hãy kiểm tra sức khỏe tổng thể của bạn. Nếu bạn có bất kỳ vấn đề về tim mạch, tiểu đường hay bất kỳ bệnh lý nào khác, hãy thông báo cho bác sĩ để họ có thể tùy chỉnh quy trình cho phù hợp.

Cần lựa chọn nha khoa uy tín để thực hiện cạo vôi răng
- Xác định tần suất cạo vôi: Bác sĩ nha khoa sẽ xác định tần suất cần thiết để cạo vôi răng dựa trên tình trạng răng miệng của bạn. Đối với một số người, cạo vôi răng có thể cần được thực hiện thường xuyên hơn, trong khi đối với người khác có thể ít thường xuyên hơn. Tuân thủ lịch trình cạo vôi theo chỉ định của bác sĩ sẽ giúp duy trì sức khỏe răng miệng tốt.
- Chăm sóc sau cạo vôi răng: Sau khi hoàn thành quy trình cạo vôi, hãy tuân thủ hướng dẫn chăm sóc răng miệng từ bác sĩ. Hạn chế ăn uống các thực phẩm và đồ uống có màu sẫm trong một khoảng thời gian sau khi cạo vôi để tránh bám mảng bám. Đồng thời, đến bác sĩ định kỳ để kiểm tra và duy trì sức khỏe răng miệng tốt.
Như vậy, cạo vôi răng có tác dụng gì đã được giải đáp ở trên. Với những lợi ích mà cạo vôi răng mang lại, bạn hãy thường xuyên cạo vôi răng tại các nha khoa uy tín để giúp hàm răng luôn chắc khỏe và nụ cười luôn tươi tắn rạng rỡ. Nếu cần tư vấn thêm thông tin, đừng ngần ngại liên hệ ngay đến Nha khoa Nhân Tâm theo số Hotline: 1900 56 5678.



