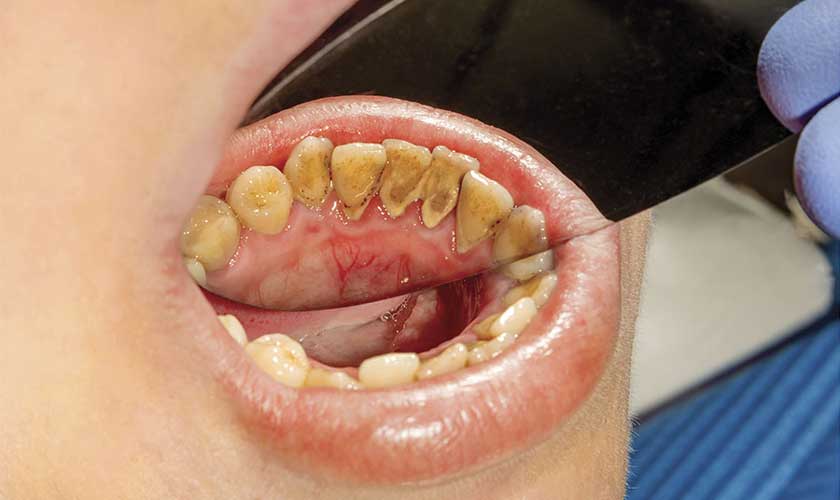
Vôi răng là những mảng bám thức ăn thừa đọng lại trong kẽ răng, nướu, bị đông cứng bởi các khoáng chất có trong nước bọt. Vôi răng có màu vàng sẫm và không thể loại bỏ bằng cách vệ sinh răng miệng thông thường, ảnh hưởng đến thẩm mỹ cũng như sức khỏe răng miệng.
Cạo vôi răng có làm trắng răng không là câu hỏi nhiều Khách hàng đặt ra khi đến Nhân Tâm. Trên thực tế, cạo vôi răng loại bỏ vôi răng giúp cho hàm răng trắng sáng hơn, nhưng không thể làm trắng răng thẩm mỹ như mong muốn của Khách hàng mà cần các phương pháp làm trắng răng chuyên dụng như tẩy trắng răng hoặc làm răng sứ.
Cạo vôi răng có làm trắng răng không?
Khi chúng ta tiêu thụ thực phẩm sẽ còn sót một lượng thức ăn thừa bám lại trên răng và kẽ nướu, mà đôi khi chúng ta không thể làm sạch được chỉ với bàn chải đánh răng. Lượng thức ăn thừa này sẽ bị vôi hóa bởi các thành phần khoáng chất có trong nước bọt, trở nên đông cứng và bám chặt quanh chân răng, gọi là vôi răng.

Vôi răng ảnh hưởng lớn đến thẩm mỹ và sức khỏe răng miệng
Vôi răng có màu vàng hoặc nâu, gây mất thẩm mỹ và cũng là nguyên nhân hàng đầu gây ra các bệnh lý răng miệng như viêm nướu, viêm nha chu, sâu răng, hôi miệng… Do đó, nhiều Khách hàng luôn chú trọng cạo vôi răng định kỳ để có một hàm răng chắc khỏe.
Hầu hết các Khách hàng khi đến cạo vôi răng tại Nhân Tâm đều thắc mắc không biết cạo vôi răng có làm trắng răng không. Thực tế, cạo vôi răng loại bỏ được lớp vôi răng sậm màu và sau khi cạo vôi, Khách hàng sẽ được đánh bóng răng nên sẽ giúp răng trắng và sáng hơn.
Do đó, nếu răng bạn bị vàng do vôi răng thì việc cạo vôi răng hoàn toàn có thể giúp bạn làm trắng răng và mang lại cho bạn nụ cười duyên dáng. Tuy nhiên, trong trường hợp răng bạn bị ố vàng do bẩm sinh, do nhiễm màu thực phẩm, do nhiễm kháng sinh, nhiễm Fluor… thì việc cạo vôi răng vẫn không thể loại bỏ được màu vàng trên răng. Lúc này, nếu muốn loại bỏ hàm răng ố vàng thì bạn cần đến những dịch vụ chuyên sâu như tẩy trắng răng hay làm răng sứ tùy theo nhu cầu cũng như nguyên nhân gây vàng răng.
Cạo vôi răng được thực hiện như thế nào?
Sau khi tìm hiểu vấn đề cạo vôi răng có làm trắng răng không và nhận được tư vấn từ Nha khoa Nhân Tâm thì chắc nhiều bạn cũng quan tâm đến việc cạo vôi răng được thực hiện như thế nào đúng không nào?
Tại Nha khoa Nhân Tâm, bạn sẽ được cạo vôi răng với công nghệ siêu âm thế hệ mới, hiện đại nhất hiện nay.

Cạo vôi răng siêu âm
Có thể nói, công nghệ cạo vôi răng siêu âm chính là trợ thủ đắc lực của Bác sĩ trong việc giúp Bác sĩ loại bỏ các mảng bám vôi răng cứng đầu, trả lại cho Khách hàng hàm răng sạch, sáng, bóng và hơi thở thơm mát.
Máy siêu âm sẽ tạo ra các bước sóng siêu âm với tần số thích hợp, kết hợp lực từ tia nước giúp phá vỡ các liên kết vôi răng, làm sạch mọi ngóc ngách của răng và sâu trong kẽ nướu. Máy tạo ra độ rung giúp cuốn trôi vôi răng một cách nhẹ nhàng, không xâm lấn, không gây đau hay ê buốt cho Khách hàng trong suốt thời gian thực hiện.
Chỉ mất khoảng 15-30 phút, tùy mức độ vôi răng là bạn đã sở hữu hàm răng sạch sẽ và nụ cười tươi tắn. Chi phí lấy vôi răng siêu âm cũng phù hợp với túi tiền của mọi người. Cạo vôi răng tuy là một bước đơn giản nhưng lại vô cùng hiệu quả trong việc phòng ngừa các bệnh lý răng miệng và giúp bạn tiết kiệm chi phí điều trị nha khoa trong tương lai.

Khách hàng điều trị tại Nha khoa Nhân Tâm
Như vậy, chúng ta có thể thấy vôi răng ảnh hưởng lớn đến thẩm mỹ cũng như sức khỏe răng miệng của chúng ta. Vì vậy việc cạo vôi răng đóng vai trò quan trọng để có một hàm răng khỏe, đẹp. Tuy nhiên để tránh những trải nghiệm tệ khi cạo vôi răng như chảy máu, đau, ê buốt răng, hỏng men răng,... khi cạo vôi răng thì bạn cũng cần chú ý lựa chọn thật kỹ địa chỉ thực hiện nhé.
Trên đây là lời giải đáp chi tiết cho vấn đề cạo vôi răng có làm trắng răng không. Là Nha khoa nhận được nhiều đề xuất khi Khách hàng tìm kiếm review nha khoa tốt, Nha khoa Nhân Tâm tự hào mang đến cho bạn chất lượng dịch vụ và chất lượng phục vụ hàng đầu tại TP.HCM.



