Cạo vôi răng có hại không là điều ai cũng băn khoăn khi muốn cạo vôi răng. Đã có nhiều cảnh báo về tác hại nghiêm trọng của vôi răng và cạo vôi răng là biện pháp tốt nhất để loại bỏ chúng.
Cạo vôi răng đúng kỹ thuật sẽ giúp bạn bảo vệ tốt sức khỏe răng miệng và hoàn toàn không gây hại cho răng.
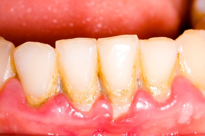
Tác hại của vôi răng
Vôi răng còn được gọi là cao răng, là lớp mảng bám cứng và bám chặt vào bề mặt răng, kẽ răng và sâu bên dưới nướu.
Vôi răng là kết quả của quá trình mảng bám thức ăn thừa bị vôi hóa bởi vi khuẩn và các thành phần chất khoáng có trong nước bọt.
Theo thời gian, vôi răng sẽ đóng dày thành mảng ở thân răng và nướu răng. Chúng có màu vàng, nâu hoặc đen gây mất thẩm mỹ, đồng thời phá hoại cấu trúc răng và các mô xung quanh răng, đe dọa sức khỏe răng miệng và sức khỏe toàn thân.

Vôi răng đe dọa sức khỏe răng miệng và sức khỏe toàn thân
Những tác hại của vôi răng bao gồm:
- Gây đổi màu răng khiến nụ cười kém duyên.
- Gây hôi miệng.
- Phá hủy cấu trúc răng và các mô xung quanh răng, tăng nguy cơ sâu răng, viêm nướu, viêm nha chu, mất răng…
- Ê buốt răng, chảy máu chân răng, tụt nướu.
- Vi khuẩn trú ngụ trong vôi răng có thể gây ra các bệnh ở miệng, viêm họng, viêm amidan, viêm hô hấp, bệnh tim mạch, tiểu đường…
Cạo vôi răng có hại không, có bị ê buốt răng không?
Cạo vôi răng có hại không, có bị ê buốt răng không? Theo các chuyên gia răng – hàm - mặt, cạo vôi răng định kỳ 3-6 tháng/ lần là biện pháp cần thiết để bảo vệ sức khỏe răng miệng.
Vôi răng không thể bị loại bỏ bằng các vật dụng đánh răng thông thường mà cần quá trình cạo vôi răng chuyên nghiệp tại nha khoa.
Bác sĩ sẽ kiểm tra tình trạng vôi răng và sức khỏe răng miệng, và thực hiện cạo vôi răng với dụng cụ chuyên dụng. Hiện nay, cạo vôi răng bằng máy siêu âm đang là công nghệ cạo vôi răng hiện đại nhất được các trung tâm nha khoa chất lượng cao sử dụng.

Cạo vôi răng định kỳ giúp bảo vệ răng chắc khỏe và thẩm mỹ
Trên thực tế, cạo vôi răng là phương pháp đơn giản và hoàn toàn an toàn nếu được thực hiện đúng kỹ thuật. Cạo vôi răng không gây hại cho răng, không làm ê buốt răng.
Ngược lại, cạo vôi răng còn mang lại nhiều lợi ích như:
- Làm sạch mảng bám vôi răng ra khỏi răng và nướu, bảo vệ răng và nướu luôn chắc khỏe.
- Tiêu diệt vi khuẩn, ngăn ngừa các bệnh lý răng miệng và các bệnh lý toàn thân khác.
- Cho hơi thở thơm mát, răng luôn trắng sáng, nụ cười rạng rỡ tự tin.
Những lưu ý sau khi cạo vôi răng
Thời gian đầu sau khi lấy vôi răng, mô nướu và răng còn khá nhạy cảm. Vì vậy bạn cần lưu ý thực hiện những hướng dẫn của Bác sĩ:
- Không nên ăn thực phẩm quá nóng hoặc quá lạnh để tránh gây kích ứng làm ê buốt răng.
- Không hút thuốc, sử dụng nước uống có cồn hoặc có ga, hạn chế thực phẩm nhiều màu hoặc giàu axit.
- Hạn chế thực phẩm nhiều đường, thực phẩm dai cứng, dễ bám dính.
- Xây dựng chế độ ăn uống đầy đủ dinh dưỡng, tăng cường thực phẩm tốt cho răng như sữa, thịt, cá, trứng, rau xanh…
- Đánh răng đúng cách với bàn chải lông mềm, sử dụng thêm bàn chải kẽ hoặc chỉ nha khoa để loại bỏ thức ăn thừa, dùng nước súc miệng để tiêu diệt vi khuẩn.
- Khám răng và cạo vôi răng định kỳ 3-6 tháng/ lần để bảo vệ tốt sức khỏe răng miệng. Nên lựa chọn các địa chỉ nha khoa uy tín, hiện đại để thực hiện.

Công nghệ cạo vôi răng siêu âm giúp lấy vôi răng nhanh chóng, nhẹ nhàng, an toàn và không đau
Nha khoa nào tốt để cạo vôi răng? Nha khoa Nhân Tâm là trung tâm nha khoa đạt tiêu chuẩn 5 sao tại Việt Nam với đội ngũ Bác sĩ chuyên nghiệp và tận tâm, cơ sở vật chất hiện đại và tiện nghi, quy trình thăm khám và điều trị được kiểm định nghiêm ngặt, không gian thoáng mát, hệ thống vô trùng tuyệt đối, dịch vụ chăm sóc chu đáo, hậu mãi hấp dẫn…
Lựa chọn dịch vụ cạo vôi răng tại Nhân Tâm, bạn sẽ không còn phải lo lắng cạo vôi răng có hại không vì chúng tôi ứng dụng công nghệ siêu răng giúp cạo vôi răng nhanh chóng, không đau, an toàn và không biến chứng. Nếu có nhu cầu tư vấn, bạn vui lòng liên hệ Hotline 1900 56 5678. Chúc bạn nhiều sức khỏe và niềm vui!





