Cao răng là tình trạng khá phổ biến, thường xuất hiện ở những vị trí như chân răng, kẽ răng, dưới nướu răng. Khi cao răng đã chuyển sang màu đen cũng có nghĩa là tình trạng đã trở nên nghiêm trọng.
Cao răng đen có thể dẫn đến nguy cơ tụt lợi, các bệnh về nướu, nha chu, thậm chí dẫn đến mất răng hàng loạt. Để làm sạch cao răng hiệu quả mà nhanh chóng, bạn nên tìm đến nha khoa uy tín để thực hiện lấy cao răng.
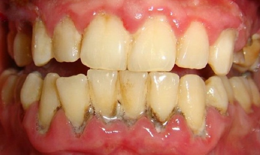
Cao răng đen là gì?
Cao răng hay còn gọi là vôi răng, là những mảng bám lâu ngày bị vôi hóa tại các vị trí như chân răng, kẽ răng, thậm chí bên dưới nướu, được hình thành từ những vi khuẩn tích tụ trong các mảnh vụn thức ăn còn sót lại.

Cao răng đen là tình trạng cao răng tiến triển nặng
Khi mới hình thành, cao răng sẽ có màu vàng ngà. Nhưng nếu không được loại bỏ trong thời gian dài, gặp thêm nhiều yếu tố khác thì chúng sẽ dần chuyển sang màu xanh và cuối cùng là màu đen. Cao răng đen không chỉ gây mất thẩm mỹ, khiến nhiều người mất đi sự tự tin trong giao tiếp, mà còn là nguyên nhân hàng đầu dẫn đến các bệnh lý răng miệng nguy hiểm.
Các mối nguy hại tiềm ẩn do cao răng đen gây ra
Khi cao răng chuyển sang màu đen có nghĩa là tình trạng đã khá năng. Nếu lúc này không làm sạch kịp thời sẽ gây nên những hậu quả khôn lường. Trong đó có thể kể đến như:
Viêm nướu, viêm nha chu
Cao răng đen, dày và cứng chứa rất nhiều vi khuẩn có hại cho răng và nướu, gây viêm nướu. Viêm nướu sẽ dần tiến triển thành viêm nha chu. Tình trạng này không chỉ gây đau nhức, ảnh hưởng đến ăn uống mà còn khiến răng bị lung lay, thậm chí dẫn đến mất răng.
Tụt nướu
Cao răng đen sẽ dẫn làm đứt gãy mô liên kết giữa răng và nướu, từ đó dẫn đến hiện tượng tụt nướu. Tụt nướu khiến cổ chân răng bị hở, nguy cơ mòn chân răng, làm cho người bệnh cảm thấy đau nhức, ê buốt răng trong thời gian dài.

Tụt nướu do cao răng gây ra
Hôi miệng
Vi khuẩn tích tụ và không được loại bỏ sẽ khiến miệng xuất hiện mùi hôi khó chịu. Điều này sẽ khiến người bệnh cảm thấy tự ti, ảnh hưởng nhiều đến giao tiếp và công việc thường ngày.
>>> Xem thêm: Vôi răng tự tróc có được không? Những điều cần lưu ý
Cách làm sạch cao răng đen đơn giản tại nhà
Có rất nhiều cách để làm sạch những mảng bám tối màu trên răng tại nhà. Những phương pháp này đã có từ rất lâu và được nhiều người tin tưởng áp dụng vì tính hiệu quả, đơn giản, dễ thực hiện.
Dùng chanh làm sạch mảng bám trên răng
Chanh là một nguyên liệu phổ biến trong các công thức làm sạch và làm trắng răng. Nếu răng bị bám dính những mảng đen, bạn có thể thử áp dụng chanh theo cách sau:
- Vắt nước cốt 1 quả chanh tươi.
- Dùng bàn chải đánh răng thấm vào nước cốt chanh và chải nhẹ nhàng lên bề mặt răng, nhất là những vị trí có nhiều mảng bám.
- Cuối cùng súc miệng lại với nước sạch.

Chanh giúp làm sạch răng hiệu quả
Lưu ý: Vì trong chanh có tính axit cao nên bạn chỉ nên áp dụng 1 - 2 lần/tuần để tránh làm mòn men răng, khiến răng bị ê buốt.
Làm sạch mảng bám trên răng bằng muối
Muối cũng là nguyên liệu hiệu quả trong việc loại bỏ cao răng đen trên răng. Muối không chỉ có tác dụng làm sạch, loại bỏ vi khuẩn có hại trong khoang miệng mà còn giúp phòng tránh các bệnh lý về răng miệng.

Muối giúp làm sạch và phòng tránh các bệnh về răng miệng hiệu quả
Cách thực hiện:
- Làm ướt bàn chải đánh răng, thấm bàn chải vào muối. Hoặc bạn cũng có thể trộn muối với một ít nước cốt chanh để tăng tính hiệu quả.
- Chải trên răng trong khoảng 2 - 3 phút để làm sạch răng.
- Súc miệng lại với nước sạch.
Cách tẩy vết đen trên răng bằng baking soda
Baking soda không chỉ là nguyên liệu làm bánh mà còn có công dụng làm sạch các vết đen trên răng vô cùng hiệu quả, đồng thời còn giúp cải thiện màu sắc của răng.

Baking soda giúp làm sạch các vết đen trên răng vô cùng hiệu quả
Làm sạch mảng bám trên răng bằng baking soda có rất nhiều cách. Cách đơn giản nhất đó là sử dụng bột baking soda để chải trực tiếp trên răng. Hoặc bạn có thể trộn một ít baking soda cùng với nước cốt chanh sao cho tạo thành hỗn hợp dạng sệt. Lấy hỗn hợp này để chải răng giống như sử dụng kem đánh răng. Sau đó súc miệng lại với nước sạch.
Những hạn chế của phương pháp loại bỏ cao răng tại nhà
Những cách loại bỏ cao răng đen tại nhà trên thường không mang lại hiệu quả cao. Bởi cao răng rất cứng chắc, khó có thể loại bỏ bằng cách chải răng thông thường. Nếu có thì chỉ loại bỏ được một phần nhỏ ở những vị trí dễ thấy.
Bên cạnh đó, với những nguyên liệu có tính bào mòn cao, nếu như bạn không am hiểu mà quá lạm dụng những nguyên liệu này có thể gây tổn thương đến men răng, nướu, khiến răng bị bào mòn, nướu bị viêm, thậm chí còn rất nhiều biến chứng nguy hiểm khác.

Khi sử dụng các cách loại bỏ mảng bám răng tại nhà phải thật cẩn thận
Trong trường hợp cao răng đen nặng, cách tốt nhất là bạn nên tìm đến nha khoa uy tín. Các bác sĩ sẽ sử dụng dụng cụ chuyên dụng để loại bỏ triệt để cao răng ở mọi vị trí, giúp răng sạch sẽ, khỏe mạnh.
Cách làm sạch cao răng đen tại nha khoa hiệu quả
Nếu muốn làm sạch cao răng đen hiệu quả, nhanh chóng và đảm bảo an toàn cho sức khỏe răng miệng, việc lấy cao răng tại nha khoa được xem là lựa chọn tối ưu nhất.
Cao răng, đặc biệt là khi cao răng đã chuyển sang màu đen, sẽ rất cứng chắc, việc làm sạch bằng nguyên liệu tự nhiên sẽ rất khó. Nhiều trường hợp cao răng nằm sâu bên dưới nướu thì cách làm sạch tại nhà sẽ không loại bỏ được hết. Chỉ khi sử dụng các dụng cụ nha khoa chuyên dụng, việc loại bỏ cao răng đen mới thật sự hiệu quả.

Phương pháp lấy cao răng tại nha khoa
Hiện nay, Nha khoa Nhân Tâm đang áp dụng phương pháp lấy cao răng đen bằng máy siêu âm công nghệ mới. Máy này sẽ tạo ra các bước sóng siêu âm, giúp phá vỡ các liên kết cao răng, từ đó loại bỏ cao răng nhanh chóng, hiệu quả mà không hề gây đau nhức hay ê buốt, không gây chảy máu, không làm ảnh hưởng đến nướu và men răng.
Với công nghệ lấy cao răng bằng sóng siêu âm, cao răng nằm sâu bên dưới nướu cũng được làm sạch triệt để. Quy trình lấy cao răng chỉ mất khoảng 15 - 20 phút là hoàn thành, những người có nhiều cao răng thì có thể lâu hơn, nhưng sẽ không quá 30 phút.
Biện pháp ngăn ngừa cao răng đen
Để ngăn ngừa cao răng đen hình thành, bạn nên chú ý vào việc chăm sóc răng miệng hàng ngày. Dưới đây là một số lưu ý:
- Thực hiện chải răng ít nhất 2 lần/ngày bằng bàn chải lông mềm với kem đánh răng có chứa fluor. Nên đánh răng theo chiều dọc hoặc vòng xoắn ốc để không làm mòn men răng.
- Sử dụng kết hợp chỉ nha khoa, máy tăm nước, nước súc miệng,... để làm sạch kẽ răng và làm sạch khoang miệng toàn diện.

Chăm sóc răng miệng kỹ lưỡng để ngăn ngừa cao răng đen
- Hạn chế ăn vặt và uống nước ngọt có gas, các thực phẩm đậm màu, nhất là trước khi đi ngủ.
- Ăn nhiều rau xanh, trái cây, thực phẩm chứa nhiều chất xơ để giúp làm sạch răng miệng.
- Từ bỏ thói quen hút thuốc lá, uống rượu bia.
- Thực hiện thăm khám, lấy cao răng định kỳ tại nha khoa 6 tháng/lần.
Với việc chăm sóc răng miệng đúng cách và đều đặn, bạn có thể hạn chế được sự hình thành của cao răng đen và giữ cho hàm răng luôn khỏe mạnh, trắng sáng. Nếu bạn đang phân vân không biết nha khoa nào tốt để lấy cao răng, hãy tham khảo ngay Nha khoa Nhân Tâm - Địa chỉ chăm sóc răng miệng uy tín hàng đầu tại TP.HCM nhé.




