Cách làm răng sứ - Quy trình thực hiện
Cách làm răng sứ sẽ được thực hiện lần lượt các bước như sau:
Bước 1: Mài răng
Để răng sứ sau khi phục hình phù hợp hoàn toàn với răng thật và khớp với nướu, hàm thì bắt buộc phải tiến hành mài răng. Quá trình mài răng sẽ chỉ diễn ra sau khi khách hàng được tiêm thuốc tê, giúp tránh được các cảm giác ê buốt trong khi mài. Mài răng phải đảm bảo sự chuẩn xác về tỉ lệ mài (dưới 2 mm), đường mài phải thực sự chuẩn xác, tránh xâm lấn quá nhiều đến các cấu trúc răng, tránh va chạm với phần tủy răng. Vì thế bước mài răng này đòi hỏi bác sĩ cần có chuyên môn và tay nghề cao.
Bước 2: Lấy dấu răng
Sau khi hoàn thành mài răng, các bác sĩ sẽ tiến hành lấy dấu răng của khách hàng. Trước kia khách hàng sẽ phải cắn thật mạnh lên thạch cao được chuẩn bị sẵn. Hiện nay, thách cao đã được thay thế bằng lấy dấu răng thông qua cao su. Các bước này yêu cầu tính chuẩn xác cao để răng sứ được chế tạo theo đúng với dấu hàm có độ chính xác cao.
Bước 3: Chế tạo răng sứ

Phục hình răng sứ được thực hiện trong phòng Labo
Ở bước phục hình của quy trình làm răng sứ, các kĩ thuật viên sẽ thực hiện phục hình răng sứ của khách hàng trong phòng Labo. Quá trình này sẽ phải mất từ 1 đến 2 ngày, tùy thuộc vào số lượng răng cần phục hình. Trong thời gian đợi răng sứ được hoàn thành, khách hàng sẽ được lắp tạm răng giả bằng nhựa để có thể sinh hoạt hằng ngày bình thường và cũng như độ thẩm mỹ cho hàm răng.
Bước 4: Lắp răng, theo dõi
Răng sứ phục hình xong sẽ được bác sĩ gắn tạm thời lên răng thật để quan sát và theo dõi độ tương thích của răng khách hàng. Nếu màu răng chưa được phù hợp, thì phải thực hiện tem màu lại. Nếu khách hàng bị hiện tượng cộm, vênh, Bác sĩ và kĩ thuật viên sẽ chỉnh sửa lại răng sứ, đến khi độ khớp của răng sứ và răng thật hoàn hảo nhất, đảm bảo chuẩn xác khớp cắn cho khách hàng thì răng sứ sẽ được tiến hành gắn cố định bằng xi măng dùng trong y tế.
Vậy là quá trình làm răng sứ được hoàn thành với 4 bước chính. Hi vọng bạn đã nắm được quy trình làm răng sứ như thế nào thông qua miêu tả cụ thể về các bước bọc răng sứ trong quy trình được nêu trên.
Cách làm răng sứ đối với mỗi phương pháp
Đã nắm được quá trình làm răng sứ như thế nào, nhưng bạn đã biết hết tất cả các phương pháp bọc sứ trên thị trường hiện nay? Có 3 phương pháp làm răng sứ phổ biến nhất mà bạn nên tham khảo qua:

Cách làm răng sứ của 3 phương pháp chính
Bọc mão sứ
Cách làm răng sứ này phù hợp với những trường hợp răng bị khiếm khuyết đơn lẻ. Ví dụ như răng bị thương tổn, bị vỡ quá nhiều, bác sĩ sẽ thực hiện mài răng thật thành trụ răng và chụp mão sứ lên trên để tránh các va chạm trực tiếp vào răng thật, giúp răng thật được bảo vệ tốt hơn.
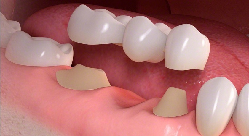
Làm cầu răng sứ
Khách hàng bị mất răng, tuy vẫn còn răng ở hai bên nhưng lại không có điều kiện thực hiện cấy ghép Implant, bác sĩ sẽ tiến hành làm cầu răng sứ với 2 trụ răng ở bên cạnh răng đã mất.
Dán sứ veneer
Dán sứ veneer là phương pháp phù hợp cho nhóm răng cửa, trường hợp khách hàng không muốn bị mài quá nhiều như phương pháp bọc sứ và tình trạng cung răng cho phép thì đây là phương pháp nên được ưu tiên lựa chọn.
Xem thêm: Răng sứ có mấy loại? Đặc điểm của từng loại ra sao?
Các trường hợp cần làm răng sứ
Khi răng ở tình trạng khiếm khuyết bẩm sinh hoặc do tai nạn gây ra khiến bạn mất đi tự tin trong giao tiếp, phương pháp nhanh nhất cũng như tối ưu nhất giúp bạn có được hàm răng đẹp toàn diện đó là làm răng sứ. Các trường hợp cần làm răng sứ như sau:

Các trường hợp nên làm răng sứ bạn nên biết
- Răng quá thưa hoặc quá dày, có xu hướng mọc lệch lạc.
- Răng xỉn màu nhưng không thể thực hiện tẩy trắng được.
- Răng bị vỡ hoặc gãy do tai nạn gây ra.
- Răng hô, móm nhẹ.
- Kích cỡ răng quá to hoặc quá nhỏ, không đều nhau.
Kích cỡ răng quá to hoặc quá nhỏ, không đều nhau.
Quy trình phụ hình răng sứ tại Nha khoa Nhân Tâm được thực hiện qua 4 bước chuẩn với nha khoa Quốc tế. Ngoài ra, Nha khoa Nhân Tâm còn có đầy đủ các dịch vụ răng sứ đa dạng với nhiều loại răng sứ khác nhau và nhiều phương pháp bọc sứ khác nhau.
Cách làm răng sứ như thế nào chắc chắn bạn đã hiểu rõ hơn về dịch vụ làm sứ chuẩn quốc tế qua bài viết trên. Hiểu được quy trình và các phương pháp bọc sứ phù hợp với từng trường hợp của răng sẽ giúp bạn dễ dàng hơn khi lựa chọn dịch vụ bọc răng sứ thẩm mỹ phù hợp cho mình tại cơ sở nha khoa gần đây uy tín.
*Chụp phim X-Quang hoặc phim 3 chiều CT Cone Beam là một bước quan trọng trong quy trình điều trị phục hồi răng. Vì vậy Khách hàng sẽ được Bác sĩ của nha khoa Nhân Tâm chỉ định đến các cơ sở y tế đủ chức năng để thực hiện trước khi điều trị.




